当一场意外夺走了普通人的视觉,后天失明者就如此诞生。从此眼睛像是被蒙上了数层纱只能感受一团模糊的光,“妈妈,为什么我看不见了?”直到某天,连那一团光都消失了。“妈妈你在哪?”失明对他们来说像电影放了一半突然黑场脑海里残存着国际的底片。只能在日后在长期的黑暗里回忆五彩斑斓的景象……
眼睛是心灵的窗户,如果眼睛视力有损伤,对人的打击较大,甚至是毁灭性的。
而侵袭性垂体瘤就是这样能致人后天失明的脑肿瘤,侵袭性垂体瘤是什么?该怎么治?有相关案例交流吗?一键收藏本文,搞懂侵袭性垂体瘤
什么是侵袭性垂体瘤?
垂体瘤(pituitary adenoma,PA)是常见的颅内良性肿瘤之一,发病率约占颅内肿瘤的15%。
临床研究发现部分Knosp分级为3或4级的垂体瘤表现出侵袭性的特点。肿瘤生长常侵犯邻近的组织,如硬膜、颅底骨质、包裹颈内动脉、压迫视神经等;侵袭性垂体瘤手术全切率低,放射治疗和药物治疗效果不佳,肿瘤易复发,是目前临床治疗上最为困难的神经外科疾病之一。


▲表1,垂体腺瘤改良Knosp分级▲

▲表2,进袭性垂体腺瘤的影像标志▲
侵袭性垂体瘤可以用内镜治疗吗?
除了传统的显微镜开颅手术,随着神经外科的发展和医疗设备的不断更新,神经外科手术逐步走向微创模式,多数脑垂体瘤可以选择神经内镜经鼻入路切除垂体瘤,手术损伤大大减小,流血量降低,术后恢复更快,手术效果更佳,垂体瘤被全部切除成为可能。
神经内镜技术对视力保护的优势
经鼻神经内镜技术通过中鼻甲外侧经筛入路完成手术,鼻中隔和中鼻甲、蝶窦都可以完整保留,对鼻腔的生理功能几乎没有影响,病人术后三天就可以出院。神经内镜不怕深、不怕窄,可抵近观察、视野清晰,与神经导航技术结合,有着巨大的优势。
视神经管位于筛迷路的后方,毗邻颈内动脉,如果术中在内镜下迷路,会出现生命危险,因此,结合神经内镜和神经导航,便可取长补短。
然而鼻腔是一个狭长的通道,器械在内容易相互影响,影响技术的发挥。进入蝶窦以后,双手操作的自由度会明显好转。
很多专家需要指定的助手扶镜,才能获得良好的视野显露,确定手术的顺利进行。助手需要完全领会主刀的意图,手持稳定性要好,同时愿意为主刀扶镜做出一部分牺牲。助手和主刀之间往往需要相互配合很长的时间,才能磨合比较好。
国际颅底手术教授、神经内镜高手——INC福洛里希教授发明的神经内镜“筷子技术”就是一个比较好的解决方法!
在鼻腔阶段、制作粘膜瓣阶段、开放蝶窦阶段、鞍底阶段,筷子技术可以很好地发挥双手、三个器械的操作。在进入硬膜下后我们大多转为二人三手操作,这样操作的稳定性比较好。

随着对筷子技术掌控能力的提升,进入硬膜下的机会越来越多,可以到二人四手,甚至二人五手的操作,发挥了内镜下切除肿瘤更多的优势,有时候在某些特定的场合发挥意想不到的作用。同时培养年轻医生早期使用筷子技术上手也更快。

福教授神经内镜“筷子手术”演示
侵袭性垂体瘤实例交流——16岁女孩术后8年复发、面临失明,还能再次手术、好转视力吗?
16岁女孩罹患巨大侵袭性垂体瘤压迫眼动脉、视神经等重要部位,视力下降、药石无灵。“良性”肿瘤为何如此严重?内镜手术切除病变后,视力好转!然8年后,病魔再次来袭。肿瘤复发,视力渐渐丧失。再次手术还能够顺利无虞,恢复视力吗?
16岁女孩视力下降,检查竟是巨大垂体瘤!
16岁的小葵,由于看不清书本、看不清同学的面容……好像“近视”了,并且右眼视力越发严重,眼科检查右眼视力只有0.1。什么概念呢?视力只有0.1说明眼睛视力差,只能看到视力表一行较大的。不仅如此,小葵还出现了无法缓解的头痛、月经不调等问题。
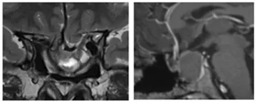
咨询到神经外科后,经过核磁共振检查后原来小葵脑子里长了一个垂体泌乳素瘤(图1)!小葵之所以会出现严重的视力下降,就是因为肿瘤已经压迫到了视神经,而随着肿瘤的持续增长,小葵很可能远远失去视力……

图1:初始病灶
药物治疗失败,一次手术解一时之患
从临床角度来看,与其他垂体肿瘤相比,泌乳素瘤作为一线治疗,单独药物治疗效果良好。一开始治疗,小葵选择了药物,每日服用卡麦角林。然而在卡麦角林治疗作用下,肿瘤体积没有明显变化,药物治疗宣告失败。
随后小葵进行了手术治疗,并行了内镜下鼻内窥镜切除术,手术切除部分肿瘤,大脑组织压迫得以缓解,部分视力得到好转。然而由于肿瘤并未全部切除,医生建议小葵行伽马刀治疗,伽玛刀医生认为小葵行的肿瘤残余压迫视神经不适合伽马刀治疗,随时面临复发的风险。
8年逃不过复发“魔咒”,突发中风、继发空碟鞍综合征
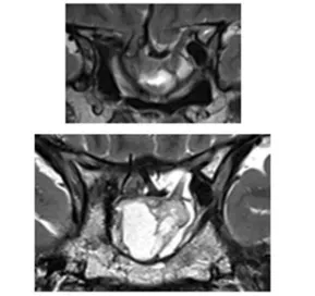
8年后,小葵出现渐进性视力丧失、上睑下垂,且突发脑出血住院,检查发现肿瘤复发,再次进行了手术。然而这次手术还是出现残留。4个月后,患者因视力持续受损而转至神经外科。MRI显示肿瘤残余,继发性空蝶鞍综合征伴有鞍区前交通动脉复合体的下移位(图2)。继发性空蝶鞍综合征伴是因鞍隔缺损或垂体萎缩,蛛网膜下腔在脑脊液压力冲击下突入鞍内,致蝶鞍扩大,垂体受压而产生的一系列临床表现,如蝶鞍扩大,视力减退、视野缺损等表现。

上睑下垂

图:影像显示一开始肿瘤切除8年后复发,并伴有脑出血和鞍底下陷

图2:术前MRI显示二次手术后肿瘤残余、患者出现继发性空蝶鞍综合征的影像学特征
继发性空蝶鞍综合征是个问题……
医生说,除了肿瘤残余的问题,继发性空蝶鞍综合征也是一个相对复杂的疾病,其引起的垂体功能低下和视力下降是长期慢性的过程。在此过程中,垂体、视交叉受压变细、变薄、向后下方移位;供血的细小血管也会牵拉延长变细。关于空蝶鞍综合征的手术技巧报道较少,现有文献报道中,空蝶鞍综合征术后发生并发症机率较高。由于视神经通路和交叉被肿瘤拉伸的时间较长,并伴有粘连,可能导致病变切除后裂开的鞍膈肌和交叉向下移位。因此,由于术后瘢痕组织的发育而引起的回缩可逐渐增加牵拉的程度,这也解释了术后数月或数年内经常发生的延迟视力损害。

开颅手术、经鼻手术、硬膜外复位、硬膜下复位,治疗方式繁多。如复位速度过快,程度过多,可能出现视交叉快速移位,小血管撕裂,造成视力快速下降等不可逆的严重并发症(文献报道可出现颅内出血、视力快速下降)。
小葵深知这种疾病的危害,而自己的病情又是这么复杂,总归要想尽办法给自己多一次机会。通过查阅论文、书籍……,得知在这类手术领域,法国有一位颅底手术教授有着多种独到的治疗优势,他即是当前WFNS颅底手术委员会主席Sebastien Froelich教授,同时也是国际神经外科医生集团INC国际神经外科顾问团的成员。在国际神经内镜手术领域,他是数一数二的引领开拓者,更高效率的“筷子手法”就是他发明的。
黑暗中的“希望亮光”
“一步是经鼻内镜入路行视交叉“固定”术。二步需切除肿瘤,并重建鞍底。防止肿瘤复发的同时,缓解目前视力下降的困境。”到了Lariboisiere医院,福洛里希教授耐心解释了他的治疗方案。
手术过程:由于视神经脑池段和视神经管段间明显粘粘扭结,所以先行经鼻内镜视交叉分离和固定保护(图3)。视神经管近端磨除骨质,然后切除残余肿瘤。使用人工硬脑膜关颅,水密缝合,防治脑脊液漏。通过横膈膜观察视蛛网膜池的视神经,并使用腹部脂肪向鞍内填充,使用鼻中隔骨和钛网重建鞍底。


图3:(e,f,g,h)显示前交通动脉复合体的鞍内疝(e),右侧视神经管钻孔骨质磨除(f),硬膜外剥离鞍内肿瘤(g),然后硬膜内切除肿瘤(h)。
术后一年,MRI显示肿瘤全切、脂肪填充空蝶鞍(图4)。术后左侧视野好转,视力稳定在0.3,右侧视力从0.03好转到1.0、如正常视力。

图4:术后一年MRI
脑瘤手术的重要性
可爱的姑娘小葵垂体瘤术后8年复发、二次手术仍未切干净,甚至可能面临失明。幸得Froelich教授三次的成功手术,小葵才得以视力恢复。治疗选择对于脑瘤患者来说至关重要。治疗过程中,每一个选择都会对预后造成直接的影响,是一开始手术重要,既要确定患者的顺利,又要大水平地切除病变。一台成功的手术可以避免一些手术并发症或者其他“补偿性”放化疗。而且一开始手术做得好不仅能达到良好的术后效果,减轻患者的身体负担,还能为后续的治疗打下一个好的基础。
侵袭性垂体瘤应该如何治疗?
进袭性垂体瘤应及早发现,并专门制定治疗方案概述。在大多数情况下,我们倾向于考虑早期重复手术,目的在最大限度地顺利切除肿瘤,以对无功能腺瘤长期保护视力和对功能性腺瘤达到生化缓解。在可能的情况下,目的是保持正常的垂体功能,避免放疗,以减少长期垂体功能减退的发生率和降低辐射暴露。患者对术后再手术的耐受性往往比对传统的分割放射治疗的好。在大多数无功能腺瘤中,复发率较低,复发间隔相对较长,可以在一次观察到明显复发后再进行手术。
考虑到功能性腺瘤非手术治疗的低治愈率(泌乳素瘤除外),再次手术提供了好的内分泌缓解机会。残留肿瘤应通过薄层MRI和(功能性)PET成像来确定手术靶区,并在必要时使用扩大入路来达到缓解。如果再次手术失小或者在成像上没有残留肿瘤的证据,可以考虑SRS。
总之,脑瘤一经发现,就要尽早就医,即使是长的位置不好,手术风险很高,也总能找到合适的医生来主刀。国际上新疗法、新技术也是层出不穷,大家要坚定信心,尽为自己争取更好的生活质量。
参考资料:Sébastien Froelich.Chiasmapexy for secondary empty sella syndrome:diagnostic and therapeutic considerations.Pituitary.2021 Apr;24(2):292-301.
- 文章标题:巨大垂体瘤耐药又术后复发、面临失明,还能再手术、拯救视力吗?
- 更新时间:2025-12-04 11:55:10
400-029-0925


