“有人说:脑垂体瘤手术很简单,手术做完就能高枕无忧,再也不用担心复发!——事实真的如此吗?”
相关研究显示:由于解剖学的限制,手术全切难,在这些患者中,进展或复发往往是不可避免的。垂体术后5-10年复发的总风险在30%-50%之间。不完全切除有很高的复发率;这取决于残留病变的体积,15%的鞍内残留肿瘤在5年内生长,相比之下,51%的鞍外残留肿瘤在5年内生长。
总的来说,无论采用何种手术方式,再次手术的全切除率(GTR)都低于第一次手术,术后再手术的全切除率为46.6%-53.5%,而第一次的全切除率为69%-71%——第一次手术至关重要。
《Clinical Endocrinology (Oxf)》 杂志刊载了英国University Hospital of Wales报告了这一研究结果。

垂体腺瘤(PAs)是良性病变,经鼻蝶窦手术是治疗垂体腺瘤的主要方法,通过积极治疗,部分垂体瘤是不会复发的。然而,如果垂体瘤的病情比较复杂,和周围组织关系紧密,部分垂体腺瘤表现出侵袭性行为,一旦手术达不到全切从而导致复发。垂体功能障碍、侵袭相关风险以及其他并发症对复发性垂体腺瘤患者的生活质量产生了显著影响。

案例1:巨大垂体瘤复发全切后,3年未复发
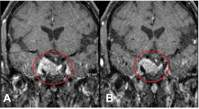
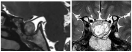
Estelle在检查中被诊断出巨大无功能性垂体腺瘤。她曾在其他医院接受显微镜下经蝶窦入路肿瘤切除手术。术后,针对右侧海绵窦内小残余肿瘤的进展,接受了5040 Gy的分割放疗。
然而,完成放疗一年后,Estelle出现了右侧动眼神经麻痹的症状,MRI检查揭示她的右侧海绵窦内肿瘤复发并有所进展。

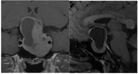
术前肿瘤持续生长进入海绵窦
INC福教授为Estelle采用标准经鼻经蝶窦入路内镜手术,随后通过移除海绵窦颈内动脉前段上的骨质进行外侧扩展术野。

内镜下经内侧三角入路
术后,Estelle动眼神经麻痹症状得到缓解,恢复过程平稳。患者维持术前药物治疗方案。病理学检查确认病变为垂体腺瘤,未见恶变特征。
经过三年随访,影像学检查未发现肿瘤复发或生长。

案例2:巨大侵袭性垂体瘤一再复发,怎么办?
年仅8岁的Eva罹患巨大侵袭性垂体瘤,她的视力急速下降,右眼视力一度下降到0.03.意味着在1米处才能看到正常视力者在60米处看到的物体。与之而来的是无法缓解的头痛,以及月经不调等症状……
Eva最初选择了药物,每日服用卡麦角林。然而在卡麦角林治疗作用下,肿瘤体积没有明显变化,药物治疗宣告失败。首次手术并未实现完全切除,在8年后,病魔再度来袭,Eva的垂体瘤复发了,她进行了二次手术,但仍有残留。四个月后,Eva转至神经外科进行治疗。她的第三次手术还能够安全无虞,恢复视力吗?

图1:初始病灶

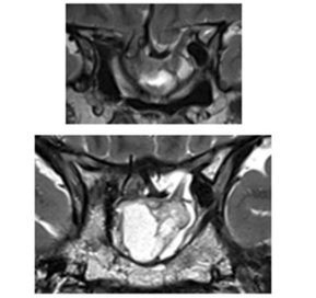
图:影像显示第一次肿瘤切除8年后复发,并伴有脑出血和鞍底下陷

第二次手术后MRI,显示肿瘤残余,继发性空蝶鞍综合征伴有鞍区前交通动脉复合体的下移位。
在法国巴黎的Lariboisiere大学医院,福洛里希教授制定了治疗方案。“第一步是经鼻内镜入路行视交叉“固定”术。第二步需切除肿瘤,并重建鞍底。防止肿瘤复发的同时,缓解目前视力下降的困境。”
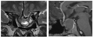
术后一年,MRI显示肿瘤全切、脂肪填充空蝶鞍。术后左侧视野改善,视力稳定在0.3.右侧视力从0.03改善到1.0、如正常视力。

术后一年MRI
INC国际垂体瘤手术大咖

1. 术后残留是影响复发的主要因素
术后残留是垂体腺瘤(PA)复发的主要因素。位于鞍外的残留腺瘤复发风险是局限于鞍内的残留腺瘤复发风险的3.7倍。对于存在鞍外或鞍内残留的患者,术后10年的复发率显著高于术后5年的复发率(鞍内:58.3%对比15.4%;鞍外:76.9%对比51.4%)。因此,对于存在鞍外残留的患者,应采取更为积极的治疗策略。
一项调查表明,接受全切除术(GTR)的患者复发率为24%,而存在手术残留的患者中肿瘤再生长率为47% 。此外,术后5年、10年和15年的总体复发率分别为25%、43%和61%。既往的研究也一致认为,手术无残留与复发风险的降低密切相关。实际上,术后存在腺瘤残留的患者中有32%在术后2.2 - 6.3年内出现复发,而无腺瘤残留的患者中仅有8%在术后5.0 - 6.5年内出现复发。
- 完整切除术的解剖学限制因素
能否完全切除肿瘤取决于多种因素,包括肿瘤的一致性和侵袭性。许多放射影像学特征是手术结果不佳的标志,如多叶的巨大腺瘤、骨质侵袭和海绵窦受累。对功能性和无功能性腺瘤(图1)两者,改良Knosp分级是一个用来预测肿瘤切除率的有用的工具,它描述了腺瘤与颈动脉的关系。
图1.垂体腺瘤改良Knosp分级

侵袭性垂体腺瘤
已证明,大多数垂体腺瘤表现出良性特征,多年来复发率缓慢,其自然史受手术切除的解剖学限制因素所支配。然而,有一些腺瘤亚型表现出快速复发和对治疗的抵抗耐药性。许多中心认为Ki-67 为7% -10%更与临床相关,可预测进袭性行为。在目前的分类中,虽然Ki-67仍然是进袭性行为的重要标志,但没有定义阈值,肿瘤侵袭(海绵窦或斜坡侵袭)的额外证据也应被视为临床进袭性行为的标志(表2)。
表2.进袭性垂体腺瘤的影像标志

免疫组织学亚型
2021年第5版《世界卫生组织(WHO)中枢神经系统肿瘤分类》(CNS5)对垂体肿瘤的分类进行了修订,指出某些表现出更具侵袭性行为且复发风险更高的垂体腺瘤(PAs)特殊亚型。这些特殊亚型包括:
- Crooke细胞腺瘤
- 静默性促肾上腺皮质激素细胞
- 男性的泌乳激素细胞
- 多激素PIT+腺瘤
- 稀疏颗粒性生长激素细胞
肿瘤大小
腺瘤体积较大可能会降低腺瘤全切除的概率,从而影响预后和复发率。Hofstetter等人研究了腺瘤大小对切除程度的影响,观察到体积大于10cm³的垂体腺瘤(PAs)更有可能出现术后残留。
2. 垂体瘤复发后该怎么治疗?术后再手术的重要意义
垂体术后在手术是具有挑战性的,解剖结构可能会被疤痕组织扭曲。原手术路径和术区瘢痕形成,重要神经血管与肿瘤粘连,肿瘤组织和垂体的界面有时难以分辨清楚,导致再次手术的难度明显高于初次手术,尤其是经蝶窦入路手术,再次手术会导致颈内动脉损伤的风险也明显增加。
根据相关研究,术后再手术后的视力下降的风险更高,先前的放射治疗可以使局部组织去血管化,导致对颅底重建,以防止术后脑脊液漏的选择有限。此外,肿瘤残留通常所在解剖位置不利,但在经验丰富的垂体中心,许多这样的腺瘤可以在考虑其他治疗方案之前,使用扩大的内镜方法手术切除。这就强调了需要有专门的垂体外科医生的三级卓越垂体中心。
总的来说,无论采用何种手术方式,复发后再次手术的全切除率(GTR)都低于第一次手术。
- 文章标题:垂体瘤复发的几率多大?30%-50%的患者5-10年内复发,为何会这样?
- 更新时间:2025-06-16 15:20:19
400-029-0925




