脑垂体是一个小的腺体,附着在大脑的底部(鼻子后面),在一个叫做垂体窝的区域。脑垂体主要负责各种激素的分泌,如生长激素、促甲状腺激素、催乳素等等,而垂体瘤则是指长在脑垂体上的肿瘤,其会影响垂体的正常功能,导致各种症状出现。垂体瘤按组织结构分类,可分为弥漫型、窦样型、乳头型及混合型。那么,如何确定是混合型垂体瘤?

如何确定是混合型垂体瘤?
如何确定是混合型垂体瘤?混合型垂体瘤的表现以一种激素为主,如生长激素和泌乳素细胞混合腺瘤,血液GH和PRL均增高,有轻度肢端肥大,月经紊乱,泌乳。在国外,有多种前沿检查方式来确定垂体瘤的类型,以下检查方法在国外都是比较常用的:
1、神经系统检查。评估病人的中枢神经系统可能包括测试一个人的反射、运动和感觉技能、平衡和协调以及精神状态。
2、实验室测试。医生可能会建议进行验血,以便测量血液中某些激素的含量。这些测试可能需要重复几次,以便医生能够了解激素是如何随着时间的推移产生的,或确认激素水平始终是异常的。有时,在进行血液测量之前,可能会给患者服用药物或激素;这叫做激发性测试。
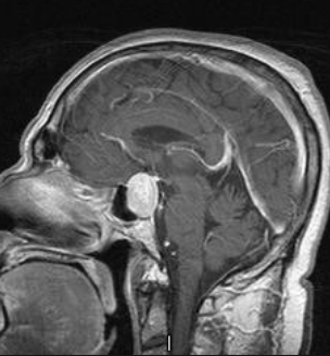
3、磁共振成像(MRI)。MRI可以用来测量肿瘤的大小。一种叫做钆的不同染料会在扫描前使用,以产生更清晰的图像。MRI比下面描述的计算机断层扫描(CT)更能诊断大多数垂体肿瘤。因此,MRI现在是国际标准的诊断测试。
4、计算机断层扫描(CT或CAT)。CT扫描从不同角度拍摄人体内部的x光照片。计算机将这些图像合成为详细的三维图像,显示任何异常或肿瘤。
5、活组织检查。活检是在显微镜下取出少量组织进行检查。其他检查可以提示肿瘤存在,但只有活组织检查才能作出明确诊断。活检通常是作为切除垂体瘤手术的一部分。除促脂素和促黑素激素外,病理学家应检查垂体肿瘤的样本,以确定除促脂素和促黑素激素外的每一种激素的分泌情况,以便对肿瘤进行正确分类。
国外怎么治疗垂体瘤?
国外怎么治疗垂体瘤?在中国,对于垂体瘤的治疗主要是手术、放疗、化疗等这三种传统方式,而国外除了手术、放疗、化疗,还有多种新疗法、新药来治疗垂体瘤,如靶向治疗、激素替代治疗、临床试验等。国外除了对于垂体瘤治疗的新研究较多,在手术、放疗、化疗等方面,也是和国内有所不同的,国外放疗和化疗方式是多样的,比如放疗除了传统的伽马刀,还拥有前沿的光子放疗、重离子放疗、质子放疗等。由于放疗、化疗都主要是手术后的辅助治疗,所以就主要讲讲国内外的垂体瘤手术治疗:
手术切除
在国内外,垂体瘤手术主要分为开颅手术和神经内镜经鼻入路手术,开颅手术治疗垂体瘤由于创伤大、风险高,在国内的大型神经外科医院已经较少使用。国内外都主要是采用神经内镜经鼻入路来切除垂体瘤,但从使用技术表面上看大类技术都差不多,但国内外对技术的理解可能存在很大的差别。西方发达国家,由于在神经外科历史上长的多,对技术的理解和应用肯定是更深层次的;而国内多是学习西方国家的技术。以前国内医院多少派遣医生到海外进行学习深造,现在也常常邀请国际神经外科医生来华教授,比如国际神经内镜联合会主席Henry W.S. Schroeder教授,就经常作为特邀讲师指导国内神经外科专家开展垂体瘤、脑膜瘤等神经内镜手术技术培训,普及神经内镜手术在国内的应用。
当然还有一些新的不同技术,国内还鲜少有人擅长,比如神经外科,国际神经外科联合会(WFNS)颅底手术委员会主席法国的Sebastien Froelich教授发明的“筷子手法”,可以轻松流畅的进行内镜经蝶手术,手术节奏感强,术野干净清晰,手术顺利。

Froelich教授在2019国际神经外科顾问团年度峰会发表演讲
在12月21日,国际神经外科年轻一代教授Sebastien Froelich教授,作为INC国际神经外科医生集团旗下组织顾问团成员,将在苏州参加由首都医科大学附属北京天坛医院、苏州市医学会共同主办的“2019中国颅底大会”。同时还将面向国内垂体瘤、脊索瘤、脑膜瘤、胶质瘤、听神经瘤等患者,开放5名面对面咨询的名额,这是国内脑肿瘤患者不出国门便能面对面咨询国际名医的绝佳机会,不容错过。
- 文章标题:如何确定是混合型垂体瘤?国外怎么治疗?
- 更新时间:2019-12-06 15:36:24
400-029-0925




