18岁花季少女突发闭经,脑内竟藏巨大危机!
起初,米拉只是月经迟迟不来,本以为只是内分泌失调,谁知医生却建议她前往神经外科检查。核磁共振结果令人震惊——她的脑垂体正被一个不断膨胀的肿瘤挤压偏移!更可怕的是,血液检查显示她的催乳素水平疯狂飙升,确诊为泌乳素瘤。

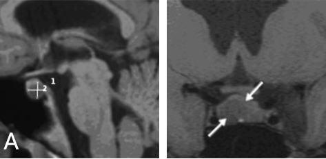
核磁共振成像显示垂体窝中有一个小肿瘤,将正常垂体向左侧移位。
泌乳素瘤是一种常见的垂体神经内分泌肿瘤(PitNET),源于产生泌乳素(PRL)的细胞,引发高泌乳素血症导致性腺功能低下和不孕。它最常发生在年轻女性,常与溢乳和闭经有关。泌乳素微腺瘤(最大直径<10毫米)是最常见的泌乳素瘤类型,很少发展成泌乳素大腺瘤(直径≥10毫米)。巨大泌乳素瘤(巨大泌乳素瘤>40 mm)非常少见。垂体泌乳素瘤的治疗包括多巴胺受体激动剂、手术等。
尽管米拉立即接受了巴胺受体激动剂(DA)治疗,但肿瘤不仅毫无退缩之意,反而越长越大,威胁着她的视力、激素平衡……
INC国际神经外科医生集团旗下组织世界神经外科顾问团(WANG)成员、世界神经外科学会联合会(WFNS)内镜委员会前主席Henry W.S. Schroeder(施罗德)教授决定采用内镜经鼻手术,成功切除了肿瘤。术后一年的核磁共振成像显示,泌乳素瘤已完全切除,垂体功能正常。内分泌检查显示泌乳素水平恢复正常,其余激素的表现也十分正常,青春之花重新绽放!

术后核磁共振成像显示肿瘤已完全切除。泌乳素水平趋于正常。垂体正常工作,无需补充激素。
泌乳素瘤治疗中的争议
对于治疗泌乳素瘤,在大多数患者中多巴胺激动剂(DAs)对降低PRL水平和缩小肿瘤大小是有效的。部分阐明了部分DA耐药患者和DA耐药分子机制。DA的副作用包括心脏瓣膜改变和冲动控制障碍。虽然手术治疗是侵袭性的,但最近的分析表明,长期缓解率高于药物治疗。
争议一:多巴胺受体激动剂的耐药性?
对多巴胺受体激动剂(DA)治疗的耐药性的定义已提出了不同的武断的(arbitrary)概念。目前许多专家采用了Molitch建议的定义,其中包括使用常用的最大的药物剂量,未能使PRL水平正常化,且未能使泌乳素大腺瘤的大小缩小≥50%。服用溴隐亭(BCR)的患者中,约有四分之一未能达到泌乳素水平正常化;服用卡麦角林 (CAB)的患者中,也有10-15%未能达到泌乳素水平正常化。使用溴隐亭的大约三分之一的患者,未能使泌乳素腺瘤的体积缩小至少50%; 而使用卡麦角林的患者中有10-15%,未能使泌乳素腺瘤的体积缩小至少50% 。
外科手术是治疗耐药的泌乳素瘤的首选方法,以便能够迅速缓解由肿瘤肿块引起的症状。如果肿瘤可以切除,且已有有经验的神经外科医生,患者可以进行经蝶窦手术。也有证据表明,减瘤手术能改善多巴胺受体激动剂的反应。
争议二:手术治疗泌乳素瘤的作用
经蝶窦手术(TSS)是泌乳素微腺瘤和大多数泌乳素大腺瘤外科手术的黄金标准,然而,对经蝶窦入路无法手术的肿瘤必须开颅手术,目前这样的病例非常罕见。
经蝶窦手术手术的新增加的适应症是泌乳素瘤的并发症,特别是症状性卒中的治疗和脑脊液漏的外科修复。后者可能是由于肿瘤侵袭蝶窦或多巴胺收受体激动剂治疗引起的肿瘤迅速收缩而自发发生。在最近的一篇综述中,90%以上的脑脊液漏病例与多巴胺受体激动剂的使用有关,从开始用药到诊断为脑脊液鼻漏平均时间为3.3个月。然而,这种并发症也可能发生在长期治疗期间。
最重要的泌乳素瘤治疗成功的决定因素是神经外科医生的经验、血清PRL水平的适度升高(< 200 ng/mL)、肿瘤大小和侵袭性。
德国、美国、西班牙、意大利、荷兰、巴西、发过、日本、以色列、英国、澳大利亚36位学者联合撰写的《Diagnosis and management of prolactin-secreting pituitary adenomas: a Pituitary Society international Consensus Statement 垂体泌乳素腺瘤的诊断和治疗:垂体学会国际共识声明》指出尽管治疗耐药抵抗性很少见,但仍需要额外的治疗方案来应对治疗这些患者的临床挑战。
外科手术适应症
1.对于微小泌乳素瘤和界限清楚的大型泌乳素瘤(Knosp 0级和1级),手术切除治愈机会很高,具有成本效益,并且可以避免长期服用多巴胺激动剂(证据等级:强)。
2.对于因鞍区肿块或卒中导致视力迅速下降的患者,应建议手术治疗(证据等级:弱)。
3.对长期多巴胺受体激动剂治疗不耐受或耐药的患者可以接受手术(证据等级:弱)。
4.年轻女性可能倾向于选择手术治疗,以避免长期接受多巴胺受体激动剂治疗(证据等级:弱)。
5.对于有妊娠需求的患者,建议进行泌乳素大腺瘤手术以降低妊娠期间出现的症状性肿块增大风险(证据等级:弱)。
6.如果出现自发性脑脊液鼻漏,应进行手术修复(证据等级:强)。

争议三:妊娠和生育的对泌乳素瘤管理
考虑到妊娠和生育的对泌乳素瘤管理。对于希望怀孕的患者,如果有可能治愈,可以考虑由经验丰富的外科医生进行手术。在接受多巴胺激动剂治疗的患者中,应使用机械避孕,直到MRI上观察到肿块缩小。在妊娠期间,应密切关注患者肿块增大的迹象;应不加钆对比剂作平扫MRI。不应检测血清泌乳素水平。如果肿块增大,如果之前已停止使用多巴胺激动剂,应重新使用,和、或如果有绝对必要,在孕中期考虑手术。
近20年来,神经内镜下经鼻切除颅底肿瘤手术有了突飞猛进的发展。但如何在尽可能全切肿瘤的同时,又做到可靠的术中颅底重建,从而降低硬脑膜缺损导致的脑脊液漏、颅内感染风险以及降低鼻窦并发症风险,仍是经鼻颅底手术技术的重点及难点。
为何会出现这种情况,又该如何预防?这些严重的并发症,就像火灾一样,早期有效的“灭火”,远比延迟或耽误时机的“灭火”,会避免更多更严重的“灾难”发生。然而对于技术高超的神经外科医生,这种性质的并发症已经大大减少,可以有效规避这样的情况发生,一旦在“大火冲天”的时候,也是无能为力!点击阅读:微创经鼻内镜手术≠无损伤,失去嗅觉、鼻腔结构破坏、大出血…居然会有这些并发症
参考资料:
1.doi: 10.20945/2359-3997000000032.
2.doi:10.1038/s41574-023-00886-5
- 文章标题:药物无效、脑瘤又长!垂体瘤治疗为何陷入两难?
- 更新时间:2025-07-14 12:11:30
400-029-0925




