INC国际神经外科医生集团旗下组织世界神经外科顾问团(WANG)成员、世界神经外科学院前院长William T.Couldwell教授发表研究《Incidental pituitary adenomas》,以下是研究简述。


研究目的
偶然发现的垂体瘤在临床影像学检查中十分常见,但其自然病程尚不明确。随着影像学检查手段的广泛应用,偶然发现的垂体瘤的检出数量亦同步上升。通常指因其他临床指征接受影像学检查时意外发现的、既往未被怀疑的垂体区病灶。
William T.Couldwell教授通过检索PubMed数据库,并对所有相关文献的参考文献进行追溯,纳入报道偶然发现的垂体及鞍区病变、无功能性垂体腺瘤等发病率、自然病程、检查流程、治疗方式与随访策略的研究。
自然病程
尽管已有多个研究试图阐明偶然发现的垂体瘤的自然病程,但所得数据稀少且整体质量欠佳。现有证据表明其进展为垂体卒中(0.6/100人年)、视野缺损(0.6/100人年)及内分泌功能障碍(0.8/100人年)的风险较低。较大病灶的卒中风险可能更高。
2011年,Fernández-Balsells等对现有文献进行系统回顾与荟萃分析,以期获得与偶然发现的垂体瘤进展相关的预后因素。共纳入11项以单中心为主的研究,平均随访时间2.3–8年。头痛是最常见的症状,也是行MRI检查的主要指征。
女性患者中总体检出率更高。所有偶然发现的垂体瘤的年事件发生率为5.8/100人年,其中大腺瘤的发生率显著高于偶然发现的垂体微腺瘤(12.53 vs 3.32)。垂体卒中(0.6/100人年)、视野缺损恶化(0.6/100人年)及内分泌功能障碍新发(0.8/100人年)的发生率均较低。Couldwell教授指出,尽管进行了全面的文献检索,但现有文献数量有限,对预测偶然发现的垂体瘤自然史的帮助不大。此外,部分研究未区分无功能垂体腺瘤与偶然发现的垂体瘤,导致难以精确计算特定发病率。未来研究需扩大样本量、采用前瞻性设计、明确纳入排除标准并统一随访方案。
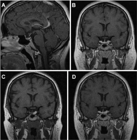
一项重要研究报道,在42例无症状垂体大腺瘤患者为期5年的随访中,近10%发生垂体卒中。这一风险在对意外发现的大肿瘤患者进行咨询时需特别强调。值得注意的是,微腺瘤同样可能发生卒中(图1),其实际发生率可能高于现有认知,但具体数据未知。Couldwell教授在随访意外发现的微腺瘤时,也会告知患者存在这一低概率风险。

图1,一名27岁女性患者的磁共振成像(MRI)资料,该患者因垂体微腺瘤接受William T.Couldwell教授的随访监测,后续发生垂体卒中。
A、B:初次就诊时获得的矢状位与冠状位T1加权增强MRI,显示垂体左侧部一小腺瘤。
C、D:随后复查的冠状位T1加权平扫及增强MRI,可见原肿瘤区域出现出血信号,提示腺瘤内卒中。
研究结论
偶然发现的垂体瘤在普通人群中并不少见。随着现代影像技术的广泛应用,临床医生越来越多地遇到这些意外发现的垂体病变。首要步骤是通过详细病史、体格检查及全套激素测定,排除功能性腺瘤。其次,必须评估病变是否产生显著占位效应:若肿瘤毗邻视路,应行内分泌功能评估(排查垂体前叶功能减退)及正规视野检查(排查视功能缺损)。
尽管此类病变的自然病程尚未完全阐明,大多数偶然发现的垂体瘤可采取保守治疗。密切的临床与影像学随访至关重要,因为部分病变(主要是偶然发现的垂体大腺瘤)存在潜在增大风险,并可能诱发垂体卒中。
依据已发表的循证指南,总结的手术指征包括:
功能性腺瘤(泌乳素瘤除外);
导致视野缺损的病变;
紧邻视交叉的大型占位;
继发垂体前叶功能减退的大腺瘤;
随访证实体积持续增大的病变。
- 文章标题:INC国际大咖之Couldwell教授 | 偶然发现的垂体瘤手术还是观察?
- 更新时间:2025-10-14 10:55:44
400-029-0925




