几乎全部的垂体肿瘤都是良性的——它们不是癌症——然而,许多仍然需要治疗。任何视力问题都不太可能进一步恶化,更有可能的是治疗后你的视力有所好转。
如果诊断出脑垂体疾病,则进行治疗
一旦你有了你的验血结果,你的扫描(如果需要)和返回去看内分泌学家,你的治疗(如果需要)将开始。这可能包括以下任何内容:
•脑垂体瘤激素疗法
有时会给予药物和/或替代激素内分泌学家会定期验血来监测你的水平。
•脑垂体瘤外科手术
内分泌学家与神经外科医生(通常在同一家医院或附近)一起工作。神经外科医生会和你讨论他将要做的手术类型,他希望你住院多长时间以及之后的恢复期。你将能够在这个时候讨论你的任何问题或恐惧。
•脑垂体瘤放射疗法
这可以在手术后进行,也可以在手术后进行,如果有必要的话,也可以在手术后进行。这是在专家中心(离你家较近)进行的手术,可以用来补充手术。接受放射治疗并不意味着你的脑垂体肿瘤是恶性的(或癌变的)。
脑垂体瘤为什么需要手术?
如果你的脑垂体肿瘤明显增大,它可能压迫位于脑垂体上方的视神经(对眼睛)。这会影响您的视力,并可能导致以下任何症状:
•它可能会减少你的整体视野,从而缩小你视野中的特定区域。这通常会影响周边(侧面),让你看起来像是在看隧道。它通常影响一只眼睛多于另一只。这在技术上被称为双眼偏盲。
•它会降低你看到细节的能力,从而影响视力。这被称为视力下降。当你看阅读图表时,你会发现这一点,毫无疑问,你会在几乎每个医生的手术中看到这一点,也许在你去过的内分泌诊所中也是如此。
大肿瘤会导致复视,但很少。
激素紊乱
大量的垂体腺瘤被发现是因为它们导致一种特定激素的过量产生。相反,另一组垂体腺瘤不能产生一种或多种激素。
三种常见的过度生成腺瘤是:
•催乳素分泌肿瘤(催乳素瘤),产生催乳素激素。
•库欣病:这是由促肾上腺皮质激素过度分泌引起的,促肾上腺皮质激素反过来又释放皮质醇(人体的天然糖皮质激素)。
•生长激素分泌腺瘤:生长激素分泌过多会导致肢端肥大症。
还有一些其他产生激素的肿瘤,但这些少见。
不能产生一种或多种激素的垂体腺瘤被称为无功能垂体腺瘤。这种情况导致激素缺乏的症状。他们通常被诊断为晚期,因为他们不会产生激素过多的不同症状。
其他功能
当肿瘤的大小增加对视觉以外的功能产生影响时,也可以发现肿瘤。例如,偶尔(也很少)肿瘤会很大,导致大脑内部液体循环受阻,导致脑积水。
大小
当垂体肿瘤小(小于1厘米)时,它们被称为微腺瘤。大肿瘤(超过1厘米)被称为大腺瘤。大肿瘤也可以阻止垂体其他部分正常分泌激素,导致激素缺乏症状。有时它们更难控制。
偶然发现
当病人因其他原因进行扫描时,有时会发现脑垂体肿瘤。随着患者接受其他疾病的扫描,这种情况越来越普遍。例如,可以进行计算机断层扫描或核磁共振扫描来调查头痛、头晕、听力损失或其他症状,这可能导致发现与这些症状完全无关的垂体肿瘤。偶然发现肿瘤的患者只有在肿瘤达到大小或发现肿瘤随时间增大时才需要手术。
外科疗法
全部的外科手术都有一些相关的风险和潜在的并发症。外科医生的选择对成功切除肿瘤的可能性至关重要,有经验的垂体外科医生效果较好。住院时间取决于手术的类型。
一些单位喜欢在手术后很快将病人送回给咨询的内分泌学家进行更详细的检查。其他单位将病人出院回家,并将病人作为门诊病人转介给内分泌学家。
手术会有什么效果?
手术的目的是尽可能顺利地切除肿瘤,而不损伤该区域脆弱的神经和血管。在某些情况下,外科手术可以切除全部小的肿瘤,但是完全切除大肿瘤可能很困难,并且肿瘤的不可触及区域将会留在原处。对于许多患者来说,恢复激素平衡是他们治疗的一个重要部分。
进行什么样的手术?经鼻内镜微创手术
神经内镜下经鼻-蝶窦垂体瘤切除术是在显微外科手术的基础上发展起来的,神经影像学(CT/MR)的进步,使得中小垂体瘤能够早期发现。虽然神经内镜系统大多应用于脑室内病变的治疗,但经过器械改进和临床经验积累,目前也可应用内镜单独(NE)手术或内镜辅助显微外科手术(NAM)经鼻-蝶窦行垂体瘤切除术。该手术方法的主要优点是创伤小,内镜通过鼻腔进入,不需要分离鼻中隔。Jho等(1997)报告了48例在内镜辅助下进行显微外科手术。
目前内镜切除垂体瘤已不必去除鼻甲,纯显微外科手术比较,内镜或内镜辅助显微外科手术具有以下优点:
1、利用鼻腔孔道暴露鞍底,不需要剥离鼻中隔粘膜;
2、术后病人不适减少,住院天数缩短;
3、在内镜亮度好和视角宽的情况下,术中容易辨别肿瘤与正常组织的分界;
4、为创伤小、顺利、合适的手术方法。

神经内镜下切除垂体瘤可适用于体积中小的鞍内肿瘤、经蝶窦显微外科术后复发者等,一般对于甲介型蝶窦,需骨钻磨除蝶窦底部者或切除困难的较大垂体瘤不适用。
在神经外科领域内,对于神经内镜触及颅底这块复杂的区域,鲜少有人比这位法国巴黎Lariboisière大学医院神经外科教授兼主席Sebastien Froelich教授更有发言权。
早在2010年,Sebastien Froelich教授团队就曾使用神经内镜经单鼻孔入路成功夹闭颅内前交通动脉瘤,这在神经外科领域内属于提出。其后,他带领手术团队了神经内镜“筷子”手法,解决手术过程中的配合问题。因其才华杜绝、手眼合一的技术手法,加上其在神经内镜领域的突出贡献,他受邀到多地指导实地技术培训。

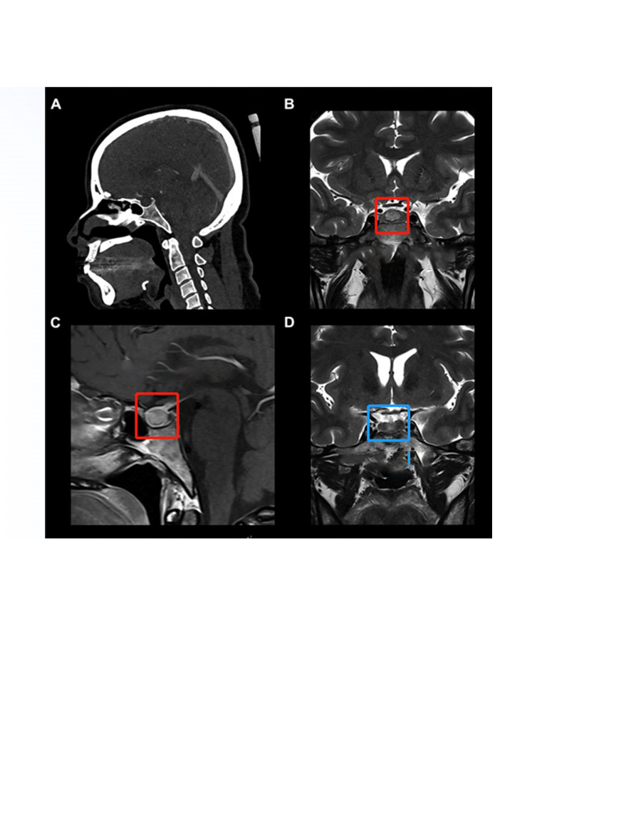
一名37岁的法国女性被发现有位于蝶鞍中央的9mm垂体瘤后,同样选择的也是神经内镜经鼻单鼻孔切除术,医生采用的是当前热门神经内镜“筷子手法”使肿瘤得以完整切除,目前正在进行相关内分泌治疗,手术后3年垂体瘤没有复发的迹象,无其他并发症。
SebastienFroelich教授是INC国际神经外科顾问团(WANG)成员之一,国内脊索瘤、脑膜瘤、垂体瘤、颅咽管瘤、胶质瘤等脑肿瘤患者在INC处通过国际远程咨询,不用出国就能得到国际神经外科教授的亲自远程咨询。
- 文章标题:脑垂体瘤为什么需要手术?
- 更新时间:2021-03-23 15:42:45
400-029-0925




