脑脊液是由侧脑室中的脉络丛产生的无色透明液体,充满各脑室、蛛网膜下腔和脊髓中央管内。脑脊液能够营养脑细胞,运走脑组织的代谢产物,调节中枢神经系统的酸碱平衡;同时缓冲脑组织和脊髓的压力,有着保护和支持脑组织、脊髓的作用。
比如经鼻内镜手术切除垂体瘤过程中,如果垂体上方的蛛网膜层鞍隔破损脑脊液会经漏口顺着鼻腔流出,导致术后出现脑脊液鼻漏。如果修补不及时,颅腔通过鼻腔与外界相通,一旦引发致残或致命的颅内感染并发症,后果不堪设想。
垂体瘤手术脑脊液漏可预测吗?
术前磁共振成像中垂体肿瘤与脑脊液之间鞍隔屏障的类型可能预测经鼻垂体手术中脑脊液漏的发生。INC国际神经外科医生集团旗下组织世界神经外科顾问团(WANG)成员,Sebastien Froelich教授(塞巴斯蒂安·福洛里希,“福教授”)针对内镜垂体手术中鞍隔屏障概念与脑脊液漏率进行研究。

垂体肿瘤与鞍上脑脊液之间的界面由三层结构构成:蛛网膜组织(唯一恒定结构)、鞍隔硬脑膜及垂体腺(图1a)。基于此解剖基础,福教授前期研究通过脑磁共振成像定义了两种鞍隔屏障亚型:薄弱型与强韧型,后续研究进一步提出了混合型屏障的概念(图1b-d)。

图1垂体窝顶壁解剖结构及鞍隔屏障分型示意图。
a无肿瘤状态下的正常解剖结构;b强韧型鞍隔屏障:垂体腺和/或硬脑膜位于肿瘤与脑脊液之间。图示案例为单纯由垂体腺构成的强韧型屏障;c混合型鞍隔屏障:肿瘤部分区域直接接触蛛网膜下腔,部分区域接触垂体腺;d薄弱型鞍隔屏障:肿瘤与鞍隔顶壁全界面直接接触蛛网膜下腔。
回顾性研究表明,术前MRI显示的鞍隔屏障类型与内镜下经鼻垂体腺瘤切除术中脑脊液漏风险存在关联。自该概念提出以来,多项研究证实了其预测价值。然而,既往研究受限于回顾性设计和样本量不足的局限性。
这项国际多中心研究在4个月内纳入了经完全内镜下经鼻手术治疗的垂体腺瘤患者。自变量为术前MRI显示的鞍隔屏障亚型(强韧型、混合型或薄弱型),因变量为术中脑脊液漏的发生情况。主要目的是确定特定类型鞍隔屏障与术中脑脊液漏风险之间的关联性,并采用适当的统计学方法进行数据分析。
研究期间,310例患者接受了内镜下经鼻垂体肿瘤切除术。术前影像显示:73例(23.55%)为薄弱型鞍隔屏障,75例(24.19%)为混合型,162例(52.26%)为强韧型。总体术中脑脊液漏发生率为69例(22.26%)。强韧型鞍隔屏障与术中脑脊液漏风险显著降低相关(RR=0.08,95%CI 0.03-0.19,p<0.0001),而薄弱型屏障则与较高的脑脊液漏风险相关(RR=8.54,95%CI 5.4-13.5,p<0.0001)。以下为相关案例示范。
1强韧型鞍隔屏障案例

图2:75岁女性无功能大腺瘤患者。a、b术前MRI:黄色箭头指示厚度大于1毫米的强化屏障区。c、d术前MRI:黄色标记线标示强韧屏障位置。e、f术中图像:可见由垂体腺构成的屏障结构。

图3:67岁女性无功能大腺瘤患者。a、b术前MRI:黄色箭头指示厚度大于1毫米的强化屏障区。c、d术前MRI:黄色标记线标示强韧屏障位置。e、f术中图像:可见由硬脑膜构成的屏障结构。

图4:47岁男性生长激素腺瘤患者。a、b术前MRI:黄色箭头指示厚度大于1毫米的强化屏障区。c、d术前MRI:黄色标记线标示强韧屏障位置。e、f术中图像:可见由垂体腺构成的屏障结构。
2混合型鞍隔屏障案例

图5:56岁女性ACTH腺瘤患者。a、b术前MRI:黄色箭头指示厚度大于1毫米的强化屏障区,红色箭头指示厚度小于1毫米的薄弱屏障区。c、d术前MRI:黄色标记线标示强韧屏障区域,红色标记线标示薄弱屏障区域。e术中图像:可见由垂体腺与蛛网膜共同构成的混合屏障结构。
3薄弱型鞍隔屏障案例

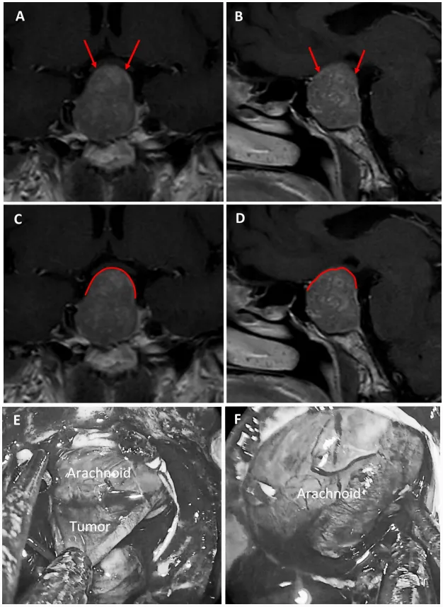
图6:59岁女性泌乳素腺瘤患者。a、b术前MRI:红色箭头指示厚度小于1毫米的强化屏障区。c、d术前MRI:红色标记线标示薄弱屏障位置。e、f术中图像:可见由蛛网膜构成的屏障结构。

图7:69岁女性生长激素腺瘤患者。a、b术前MRI:黄色箭头指示厚度小于1毫米的强化屏障区。c、d术前MRI:红色标记线标示薄弱屏障位置。e、f术中图像:可见由蛛网膜构成的屏障结构。
总结
基于鞍隔屏障概念的术前MRI评估可预测垂体手术患者的术中脑脊液漏风险。薄弱型鞍隔屏障患者术中脑脊液漏风险较高,而MRI显示强韧型屏障则可降低该风险。研究建议将鞍隔屏障分型概念纳入术前风险评估体系,用于预测术中脑脊液漏风险。未来开发包含鞍隔屏障参数在内的预测评分量表,对评估垂体瘤手术的脑脊液漏风险具有重要临床价值。
- 文章标题:术前影像如何预见垂体瘤手术中的脑脊液漏?6个真实案例分享
- 更新时间:2025-10-31 11:07:22
400-029-0925




