巨大垂体瘤案例分享
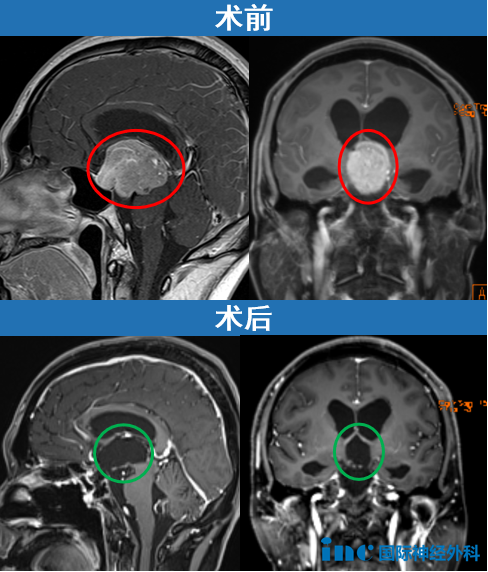
一位62岁女性患者,与垂体瘤抗争长达35年,曾因垂体瘤复发接受放射治疗。此次因出现复视症状随访,发现已经发展巨大的垂体瘤。

进行开颅手术,术后影像片子显示肿瘤切除干净。

Jefferson(20世纪40年代)对巨大垂体瘤进行了描述,并报道了鞍上扩展非常大的患者术后死亡率为35%。巨大垂体腺瘤定义为在任何方向上最大直径大于4 cm,或估计肿瘤体积大于或等于10cm³的肿瘤。巨大垂体腺瘤占所有垂体腺瘤的5-15%,占所有颅内肿瘤的0.5%,巨大垂体腺瘤常见的症状包括视觉障碍、内分泌功能障碍和由质量效应引起的神经压迫综合征,功能性垂体腺瘤可以进行医学治疗,即使它们的体积很大,但非功能性垂体瘤(不产生催乳素肿瘤)需要手术。
上述案例来自于INC国际神经外科医生集团旗下组织世界神经外科顾问团(WANG)成员William T.Couldwell教授在INC神经外科学术交流年会上展开关于“巨大垂体瘤手术的细微差别”的学术演讲。
巨大垂体腺瘤手术切除难点:
巨大(最大直径≥4 cm)垂体大腺瘤是复杂的肿瘤,需要切除以减压视神经、缓解肿块效应和改善症状。由于缺乏手术的可及性,病变的横向范围,以及海绵窦的侵犯,管理提出了一个重大的挑战。

Couldwell教授演讲中展示的部分巨大垂体瘤
目前巨大垂体瘤的主要治疗方式为手术,目的在于最大限度切除肿瘤、改善神经功能障碍以及保留正常垂体功能。巨大垂体腺瘤术前根据影像学及临床表现,个体化选择合适的入路,是成功切除肿瘤的关键。经蝶入路、经颅入路和联合入路是切除肿瘤的可行方法。
垂体瘤从鞍内起源,但是如果肿瘤巨大向颅内突破了鞍隔孔,向颅内广泛地发展,包绕了颅内的血管,特别是大脑中动脉、大脑前动脉、大脑后动脉及其一些重要的细小分支血管。这些血管被包绕,这种情况下通常会选择经颅入路进行肿瘤切除。经颅垂体腺瘤切除术根据垂体瘤生长方向的位置可以分为三种入路途径,经额入路、经硬脑膜外入路和经翼点入路。
对于单经颅入路,Couldwell教授也总结了其优劣势。
优势在于手术的视野大,对病灶充分暴露,操作空间相比经蝶入路的手术方式大,对于保护颅底的各个重要结构有很大意义,移除鞍上神经释放视神经;缺点在于鞍内区域的远距离可视化;需要大脑收缩。

而对于巨大垂体瘤什么时候需要开颅手术,Couldwell教授对经颅入路适应症如下:

经颅途径仍用于切除1-4%的垂体大腺瘤;经蝶入路的直接可视化和可接近性受到限制;鞍膈肌收缩;鞍旁延伸或不可触及的鞍上延伸远离中线纤维致密性肿瘤伴大鞍上延伸;活动性鼻窦感染邻近动脉瘤的患者;扩张的鞍内颈动脉;脑部侵犯;海绵窦侵犯引起的病变。
巨大垂体瘤一定要开颅吗?
2025年6月,35岁的江先生发现鞍区及鞍上的巨大垂体瘤引发阻塞性脑积水。巨大肿瘤早已压迫到脑干、第三脑室及导水管。“手术风险太大,难度这么高,你们还是去其他地方看看吧……”
不放弃之下,他们迎来转机。没有开颅,INC福教授在北京天坛医院最终通过经鼻内镜手术成功切除了这个巨大的垂体瘤。

2个月后,他已逐渐回归正常生活。“现在挺好的,一切都好,所以非常感谢福教授!”随访视频中,江先生一家幸福美满,脸上洋溢着幸福。
点击阅读:“你可以去打球了!”中年遭遇巨大垂体瘤,在天坛医院不开颅成功“挖”瘤
为了优化和规范巨大垂体瘤的手术管理,欧洲神经外科学会(EANS)颅底委员会成员和该领域的一些国际专家组成的特别工作组就这些疑难肿瘤的手术管理制定了共识声明和建议——《Surgical management of giant pituitary neuroendocrine tumors:Meta-analysis and consensus statement on behalf of the EANS skull base section》(巨大垂体神经内分泌肿瘤的外科治疗:代表EANS颅底部门的荟萃分析和共识声明),INC福洛里希教授就是其中一员。

该研究综述对该主题进行了系统的文献综述和荟萃分析,2000年1月至2020年1月之间发表的文章,涉及1263名巨大垂体瘤患者。平均肿瘤直径为5.0±0.5厘米。50.5%的病例,肿瘤为Knosp级或4级或术中证实侵犯海绵窦。
- 文章标题:“你的垂体瘤又复发了。” 医生顿了顿,“这一次情况更棘手,需要开颅。”
- 更新时间:2025-10-09 15:50:09
400-029-0925




