- 孕期恶心呕吐严重,一直以为是“孕期正常反应”,忍受不住折磨的叶女士确诊为垂体瘤……
- 正值壮年的职场高管刘先生最近抱怨总是头痛,看东西越来越模糊,也被确诊为垂体瘤……
- 20岁的花季少女自觉模样越来越丑,手脚也越来越大,去居然也是垂体瘤搞的鬼……
垂体为颅脑内一椭圆形小体,位于大脑底部的蝶鞍内,重约0.5-0.6克,虽小却功能强大,可以分泌多种内分泌激素,参与正常生命活动,被称为人体“内分泌腺”。垂体位于蝶骨的垂体窝(蝶鞍),腺体前下方面向蝶窦,前上方面向视交叉,侧面面向海绵窦,并通过漏斗部(垂体柄)与下丘脑相连。

一次手术切不干净?看国际专家如何巧用“双镜合击”——经鼻内镜+眉弓微创双路夹击,让大型垂体瘤无处可逃!
一次手术无法全切,看专家如何“上下夹击”实现全切
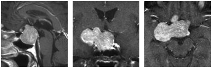
56岁患者出现了明显的视力下降和视野受限的问题,同时伴有垂体功能不足。影像检查发现一个大型无功能性垂体瘤。

磁共振成像(MRI)检查揭示了一个位于右侧、紧靠垂体区域的大型垂体腺瘤,并且该肿瘤在注射对比剂后呈现吸收现象。
术中操作:肿瘤不仅向上延伸至大脑的中线区域,而且还扩展到了右侧的颞叶,对周围的脑组织和神经结构造成了潜在的威胁。在经过细致的评估和审慎的考虑之后,施罗德教授决定采取分两阶段进行的手术策略。
第一阶段,经鼻内镜入路切除位于中线区域的肿瘤组织。术后第一阶段恢复期间,Keith的视力障碍已显著缓解,证实手术在解除肿瘤对视觉通路的压迫方面是有效的。这表明为患者带来了积极的预后信号,也为二期手术方案的制定奠定了良好基础。
第二阶段,通过右侧眉毛切口,切除了位于垂体区域右侧的肿瘤部分。术中协同采用显微镜与神经内镜,前者提供立体视野,后者则深入术野盲区,通过双镜联合技术,减少了脑组织的牵拉,精准分离了黏连的肿瘤组织。

内镜下的成像清晰地显示了在真空吸引和刮匙工具的配合下,肿瘤被逐步切除的过程。在该过程中,可以观察到典型的白色、易于溶解的垂体组织。
术后情况:术后MRI显示,肿瘤已完全切除,没有留下任何残余。施罗德教授成功地维护了垂体柄的完整性,并且保全了垂体柄附近狭窄区域内正常的垂体组织。

术后6个月随访时,Keith右侧眉毛区域的瘢痕几乎不可见,证明眉弓切口的美容效果极佳。她对此也十分满意。

巨大垂体瘤开颅还是内镜?

巨大(最大直径≥ 4 cm)垂体腺瘤是复杂的肿瘤,需要切除以减压视神经、缓解肿块效应和改善症状。缺乏手术的可及性,病变的横向范围,以及海绵窦的侵犯,都向围手术期管理提出了重大的挑战。
目前巨大垂体瘤的主要治疗方式为手术,目的在于尽大程度切除肿瘤、改善神经功能障碍以及保留正常垂体功能。巨大垂体腺瘤术前根据影像学及临床表现,个体化选择合适的入路,是成功切除肿瘤的关键。经蝶入路、经颅入路和联合入路是切除肿瘤的可行方法。
INC国际神经外科医生集团旗下世界神经外科顾问团(WANG)成员,世界神经外科学会联合会(WFNS)内镜委员会前主席Henry W.S. Schroeder(施罗德)教授与世界神经外科联合会(WFNS)颅底手术委员会前主席Sebastien Froelich教授(塞巴斯蒂安·福洛里希,“福教授”),联合其他国际神外教授共同发表了《Surgical management of giant pituitary neuroendocrine tumors: Meta-analysis and consensus statement on behalf of the EANS skull base section》(巨大垂体神经内分泌肿瘤的外科治疗:代表EANS颅底部门的荟萃分析和共识声明)。

福教授等人分析了每项研究中使用的不同手术技术,分为:内镜经鼻入路(40.3%的病例使用)、显微镜下经鼻蝶入路(34%的病例使用)、经颅入路(18.7%的病例使用)和联合入路(7%的病例使用鼻内入路和经颅入路)。

巨大垂体瘤经颅手术的适应症是什么?
自内镜引入以来,经验的增加和技术的改进使得扩展内窥镜鼻内入路得到了更广泛的应用,甚至对于垂体肿瘤的第三脑室和额下延伸,从而限制了经颅入路在特定病例中的使用。
然而,在一些独特的和精心选择的病例中,经颅技术仍然有效,它们可以用作单独的方法或与经蝶方法结合使用。选择最佳手术方法的灵活性至关重要,应考虑肿瘤的形态和范围、其侵袭性和一致性,以及实现手术治愈的可能性。
目前,经颅方法是0.5-4%垂体腺瘤病例的一种选择。
经颅治疗巨大垂体瘤的适应症为:
- 肿瘤向多室延伸,可能侵犯蛛网膜下腔并环绕Willis环动脉
- 池部环绕视神经或动眼神经的肿瘤
- 肿瘤侧向延伸至床突上颈内动脉并侵犯颞窝
- 具有大的额下延伸的肿瘤
在某些情况下,如果肿瘤已经扩展了动眼神经三角(这是这些肿瘤实现这种横向扩展的共同途径),则在有经验的手中可以使用EEA处理向ICA横向扩展的肿瘤。
在一些特定病例中,可以采用鼻内和经颅联合方法,以结合两种方法的优势。根据病变的一致性,我们建议采用鼻内入路处理大部分病变,而经颅入路将处理扩展内镜鼻内入路无法到达的肿瘤部分。肿瘤延伸至海绵窦内侧并进入基底池并包裹神经血管结构时,可通过经颅颅底入路(如有需要,经海绵窦)切除,该入路应根据肿瘤的延伸范围进行调整。
- 文章标题:脑瘤太大无法一次切除?眉毛切口+鼻腔入路“上下夹击”全切垂体瘤
- 更新时间:2025-08-11 15:25:37
400-029-0925



