大脑发出的求救信号你接受到吗?
我这辈子都忘不了那种感觉:好像有人从太阳穴两边给你悄悄拉上了黑色的帘子,你的世界就剩下正中间一小块儿是亮的。走路撞人,骑车差点被撞,我那会儿一根筋地以为眼睛完了。
结果?检查单啪啪打脸。医生指着片子说,是脑子里长东西了——我整个人都是懵的。
那瘤子就蹲在大脑鞍区,在我们眉心往里大概四五厘米的位置,存在着一个“弹丸之地”——这就是鞍区,这里集结着很多“大咖”,其中就有影响内分泌功能的垂体、决定认知能力和术后内分泌状态的下丘脑,以及与视力息息相关的视神经......
值得庆幸的是,最后肿瘤被完整切掉了,结果还是良性的。

注:这是一个发表于2003年的垂体瘤案例
眼前的世界越来越窄
回想起手术三个月前,我的大脑早已发出求救信号。
但说实话,这真的不能全怪我疏忽——最初的症状实在太隐蔽了,几乎没显著影响我的日常生活。
正常人的视野像一扇宽阔的窗,面朝前方站立时,不用转头,两侧的景物也自然落在余光里。可我却渐渐发现,自己的“余光”正在消失。
更准确地说,不是模糊,而是“看不见”两侧。我的有效视野收窄成一条笔直的隧道,正前方的一切清晰如常,可隧道之外的世界,却仿佛被无声地抹去了。不刻意转动头部,根本无法感知侧旁的存在。

偏盲患者眼中的世界

视野缺损图示
起初觉得似乎不妨碍生活,可现实并非如此:
“走在路上,我会冷不丁撞到侧面走来的人;骑自行车更是险象环生——好几次差点撞上侧方的车辆,就因为完全看不见逼近的影子。我仿佛丧失了某种本能般的视觉感知。”——偏盲可能会出现这些情况
完了,我眼睛肯定出问题了。
最坏的结果,我的脑子出问题了
但现实更残酷,不是眼睛的问题,而是脑子出了问题。
检查发现一个“鞍上占位”,尽管常规体格检查和双眼视力都显示正常,但眼底检查发现了双侧视盘水肿,Goldmann视野计明确提示“双颞侧偏盲”。医生尽量通俗地解释:我颅内长了一个肿瘤。
此外,内分泌学检查示血清泌乳素(PRL)升高至 158.6 ng/mL。泌乳素?我一个大男生,还有泌乳素,实在理解不了。

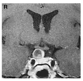
CT和MR检查结果显示,我的右侧鞍上区有一个约2厘米的病灶。这个肿瘤不仅紧贴着垂体柄,还向上突入了第三脑室的底部(图1)。医生初步判断,这可能是颅咽管瘤或垂体腺瘤。

图1:入院时磁共振成像:可见一囊性病灶与垂体柄紧贴,囊壁及内部实性部分呈轻度强化;蝶鞍内垂体形态正常,鞍隔呈低信号带位于肿瘤与垂体之间,二者之间未见连续性。
听到这个诊断,真的吓到我了。之前眼睛出问题,我查过不少资料,也暗自设想过各种可能,却始终不愿相信——最终等来的,真的是最坏的一种结果。
大脑鞍区结构错综复杂,汇集了脑垂体、颈动脉、视交叉神经和诸多重要神经簇。而我的肿瘤,恰恰就长在这个要害位置,这也正是导致我双眼颞侧偏盲的真正原因。
一台开颅手术,如何找回我消失的视野
诊断既已明确,手术。由于肿瘤位置深在、毗邻众多要害结构,医生决定尽快施行开颅肿瘤切除术。它就像一枚生长在神经丛林深处的“地雷”,若任其增大,对视神经的压迫将不可逆转,终将引向黑暗。
手术日终于到来。当我被缓缓推入手术室,无影灯在头顶亮起,麻醉剂悄无声息地流入静脉……最后残存的意识里,我只觉自己正坠入温暖的深海,将一切——包括清醒、恐惧,乃至整个大脑——全然托付给了那双看不见的手。

手术采用右侧额颞开颅。进入鞍上区后,见肿瘤位于右侧颈内动脉内侧、视神经下方(图 2A)。磨除前床突并切开视神经管后,将肿瘤与颈内动脉分离。穿刺囊腔抽出透亮、似脑脊液样液体。肿瘤实性部分为轴外病变,呈红褐色,质地富有弹性。肿瘤位于蛛网膜下腔,与垂体柄轻度粘连,但易于分离。肿瘤全切除后,垂体柄及鞍隔保持完整(图 2B)。
图2.A:肿瘤切除前术中照片。肿瘤(T)位于右侧颈内动脉(C)内侧、右侧视神经(O)下方。B:肿瘤切除后术中照片。垂体柄(箭头所示)及鞍隔(星号所示)保持完整。
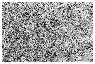
最终病理诊断为泌乳素分泌型垂体腺瘤。

图3:组织切片显微照片(HE染色,×200)。典型窦隙状(sinusoidal)垂体腺瘤结构清晰可见。
不幸中的万幸,病理结果显示肿瘤为良性垂体瘤。
垂体瘤导致双颞侧偏盲的原因?
垂体瘤导致双颞侧偏盲的原因,核心在于肿瘤压迫视觉通路的关键结构——视交叉(Optic Chiasm)。
视觉信号从眼睛到大脑的传递路径如下:视网膜 → 视神经 → 视交叉 → 视束 → 大脑视觉中枢。
视交叉是这个通路上的一个“交叉路口”。在这里,来自双眼视网膜鼻侧(靠近鼻子那一侧)的神经纤维会交叉到对侧去。
垂体位于大脑的底部,在一个叫做蝶鞍(Sella Turcica) 的骨性结构里。视交叉正好位于蝶鞍的上方,悬垂在垂体之上。正常情况下,它们相安无事,中间还有脑脊液和硬脑膜相隔。
当垂体瘤不断长大时,它会向上方突破蝶鞍的隔膜(鞍膈),向上方生长。由于上方正好是视交叉,因此增大的肿瘤会首先从下方推挤、压迫视交叉。
手术后,我的双颞侧偏盲症状得到了显著改善,曾经被遮蔽的视野重新回到了生活中。血清泌乳素水平也降至正常范围(2.4 ng/mL),其他各项激素指标均无异常。
术后一年复查磁共振显示,垂体柄和垂体形态正常,未见任何肿瘤残留的迹象(图4)。

图4:术后1年MRI,影像显示垂体柄及垂体腺完整,未见肿瘤残留。
该案例来源于INC国际旗下世界神经外科顾问团成员、世界神经外科联合会(WFNS)终身荣誉主席Takeshi Kawase教授20多年前的研究。他,国际神经外科领域知名手术入路——Kawase入路的创始者,同时也是国际神经外科后颅窝知名解剖三角区Kawase三角区的发现及定义者。
Kawase教授连续8年任职世界神经外科联合会(WFNS)颅底委员会主席,连续3年担任WFNS主席,为国际神经外科的进步与发展做出了突出贡献。

在2023年第二届独墅医帜颅脑解剖培训班暨苏州市2023年继续医学教育项目“神经解剖培训”会议中,INC旗下世界神经外科顾问团(WANG)成员、世界神经外科联合会(WFNS)颅底手术委员会前主席Sebastien Froelich教授(福教授)就曾开展神经解剖培训课程,并现场讲解Kawase入路的理论及解剖实操。

参考资料:Takeshi Kawase,et al. Suprasellar peri-infundibular ectopic prolactinoma--case report .Neurol Med Chir (Tokyo). 2003 Jan;43(1):51-4.
- 文章标题:眼神不好,医生却让我去神经外科,还开了个颅
- 更新时间:2025-08-21 14:53:06
400-029-0925


