
“福教授,我喜欢打篮球和踢足球,请问什么时候可以进行这些运动?”
“现在就可以!你可以有序适度地运动,也可以坐飞机、旅游,但要注意在内分泌医生的指导下按时服用药物。”
当江先生成功从一场惊险的手术中安全逃生,2个月后,他已逐渐恢复到正常的生活中,重拾起自己的爱好。“现在挺好的,一切都好,所以非常感谢福教授!”随访视频中,江先生一家幸福美满,脸上洋溢着幸福。
儿女双全,家庭美满,江先生本以为生活会一直如此,可就在35岁这年,他迎来了一次“中年危机”。2025年6月,一张核磁彻底打破了江先生一家平静的生活——鞍区及鞍上的巨大垂体瘤引发阻塞性脑积水,而这也意味着他们之前尝试的中医治疗全部宣告无效。
鞍区,这个可供手术解剖范围仅3cm的大脑指挥中心,包含着蝶鞍、蝶窦、垂体、视神经、视交叉、下丘脑、海绵窦以及颈内动脉、大脑前动脉等重要结构。
而江先生的巨大肿瘤早已压迫到脑干、第三脑室及中央导水管,手术操作必须慎之又慎,哪怕不小心碰到任何一条神经,给他带来的可能都是终生的影响。“手术风险太大,难度这么高,你们还是去其他地方或国外看看吧……”就这样,这个垂体瘤“劝退”了绝大多数医生。
然而,他们等来了转机。从找到INC福教授到远赴北京天坛医院成功手术,前后仅用了半个多月的时间。没有开颅,福教授最终通过经鼻内镜手术成功“挖”除了这个巨大的垂体瘤。“这是一次十分具有挑战性的手术,我很高兴为你成功手术!”

术后,当江先生的妻子再次见到福教授时,满心的感激都化作了竖起的大拇指:“THANK YOU!THANK YOU!”

如今,正在接受激素替代治疗的江先生恢复良好,术前行走不稳、记忆下降的症状均已消失,精神也肉眼可见地好了很多,正在准备回归职场。3个月时间,在这场险些致命的“中年危机”中,他已顺利度过危险期,而这背后,始终离不开整个家庭的温暖陪伴。
精神不振,难道是抑郁了?
一切都要从一次偶然的头痛说起。2024年9月,江先生开始出现间断性头痛,于是开始进行艾灸、针灸及中药调理。原以为这只是轻微的身体不适,直到2025年3月,江先生总是在下班后感到疲累、食欲及注意力下降,甚至还出现了行走不稳的现象。难道是自己抑郁了?但此后2个月也仅在检查颈椎时发现椎间盘突出,并接受了两次颈椎牵引及中药治疗。
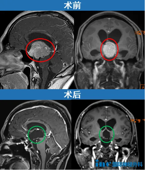
直至1个月后,江先生才真正揪出这一切背后的“凶手”。相关检查发现了江先生颅内的占位性病变,大小约34mm×44mm×38mm,位于蝶鞍及鞍上,并已压迫到第三脑室及中央导水管,导致双侧侧脑室扩张及阻塞性脑积水。

江先生后知后觉这一切不是抑郁,但当他得知原因竟是脑瘤时,也不禁开始无力迷茫起来:下一步该怎么办?
尽管找了很多医生,但他们却都“婉拒”了手术的请求,原因无他,仅仅是肿瘤所在的位置相当险要,稍有差池便可能酿成不可挽回的后果。“手术风险太大,难度这么高,你们还是去其他地方或国外看看吧。”
找到福教授,他给出了“解法”
就这样,在医生的建议和朋友的推荐下,江先生找到了福教授,也就是从这次咨询开始,得益于福教授一贯的严谨,江先生逐渐对自己的状况有了更多了解,一切似乎多了几分可控性。

“这是一个复杂的病变,也有相当的治疗难度。”福教授首先针对可能的肿瘤类型分别提供了相应的治疗建议:
生殖细胞瘤
这种病变不应该通过切除手术治疗,而应采用放射治疗,并在必要时配合化疗。它的预后良好,但不是目前需要切除手术的肿瘤。
垂体细胞瘤
它起源于垂体,是一种血供非常丰富、容易出血的肿瘤。当我们进行手术时,这种肿瘤会大量出血。
垂体腺瘤
垂体腺瘤中有一个亚型叫做泌乳素瘤。泌乳素瘤是可以通过药物治疗、目前不需要切除手术的一类垂体腺瘤。
同时,由于此时并未明确病理,而上述三种不同的肿瘤类型也需要截然不同的治疗方法,在福教授看来,江先生是否需要手术,仍需在术前进行相关检查。
“因为手术复杂,如果不是必须,我们不希望贸然手术。”于是,江先生按照福教授给出的建议,首先进行了血液检查,结果显示排除钩状效应,证实江先生的肿瘤并非目前可以通过药物控制的泌乳素瘤。
随后,为了进一步厘清该肿瘤的性质,福教授决定先为江先生进行经鼻活检手术,这样既能减少对正常脑组织的损坏,还能为后续可能的经鼻内镜手术预留完整、足够的操作空间。
在如此严谨的建议下,江先生决定将信任托于福教授,并毅然决定跨越千里,远赴北京天坛医院等候福教授。
活检+手术成功,危机解除!
术前一晚,江先生正躺在病床上等待着即将到来的活检手术。他的妻子始终陪伴在侧,为了缓解术前的紧张情绪,即使是在病房,她也将房间精心布置过。床头放着两张全家福,就连床尾的立牌上也写着温馨的祝福:“祝手术顺利,一切安好,加油哦”。
福教授的术前谈话就在一片轻松的氛围中展开,江先生妻子还向福教授介绍了他们一家,儿女双全,和和美美,他们都在为江先生默默加油。

手术当天,福教授按照术前规划顺利取得术中冰冻病理,不考虑生殖细胞瘤、垂体细胞瘤等,因此,在基本确认江先生的肿瘤为需要手术切除的垂体腺瘤后,福教授正式为江先生实施经鼻内镜切除手术。
江先生的手术最终获得十分满意的切除,而且恢复良好,术后正有序地进行激素替代治疗。术后1个多月随访时,江先生术前行走不稳、反应略迟钝、记忆力下降等症状得到明显改善,整体恢复良好,江先生已经可以正常行走,但还稍有些乏力,存在部分记忆混乱等症状。

然而,到了术后2个月福教授再次随访时,江先生精神良好,他笑着告诉福教授:“现在挺好的,一切都好,所以非常感谢福教授!”此时,乏力和记忆混乱的问题也基本恢复,福教授详细询问了江先生目前的服药情况和具体剂量,并给出了相应的调整建议。
为了尽快回归正常的生活,江先生一家始终都在积极向前。如今,这场历时3个月的危机已经顺利解除警报,江先生可以有序、适度地进行一些体育运动,重拾他热爱的篮球,也可以正常搭乘飞机和旅游,这令江先生一家十分欣慰,而他也正在为重新回到工作岗位而准备着……当脑瘤逐渐远去,迎接他们一家的将是全新的生活。
福教授的【经鼻内镜手术】有哪些优势?
福教授将“为了患者而战”这个理念贯穿到每一位患者的治疗细节中,为不同的患者量身定制个体化治疗方案。凭借着创造力和多年实践的结果,福教授不仅在鼻内手术中使用了神经内镜,而且在经颅手术中也使用了神经内镜——以此给患者创造更好的预后和生活质量。

微创:神经内镜手术利用鼻腔的天然通道,不用开颅、出血量少,而且对于鼻腔内结构的创伤也大大降低,从外部看不到手术切口,不会影响美观。
提高手术的安全性和准确性:神经内镜可以减少对重要功能区脑组织的损伤,且术中视野良好、立体感强,解剖位置更精确,不易误入术区周围正常间隙。
扩大切除范围:福教授常将神经内镜置入瘤腔中检查有无肿瘤残余,从而更精细地控制深部肿瘤的切除范围,避免术后复发。
案例来源:2025年6月27日巴教授于北京天坛医院手术
- 文章标题:“你可以去打球了!”中年遭遇巨大垂体瘤,在天坛医院不开颅成功“挖”瘤
- 更新时间:2025-09-06 13:40:31
400-029-0925




