乳头状胶质神经元肿瘤(papillary glioneuronal tumor,PGNT)2021年WHO中枢神经系统肿瘤分级为Ⅰ级,PGNT好发于年轻患者额叶,临床上以癫痫为主要症状,无性别差异,若无病理学证据,术前诊断较困难。肿瘤全切除者预后良好。PGNT少见,国内外文献报道较少。那PGNT该如何明确诊断?较佳治疗方法是什么?能治愈吗?会复发吗?一起来看看今天的INC神外科普系列之认识乳头状胶质神经元肿瘤PGNT。
1、乳头状胶质神经元肿瘤(PGNT)发病起源
A、乳头状胶质神经元肿瘤(papillary glioneuronal tumor,PGNT)是一种与癫痫相关的混合性神经元胶质瘤。较早于1996年,Komori等将其描述为具有神经元和胶质细胞分化的混合性肿瘤,在1998年的报道中详细介绍了9例患者的病理学特征,随后将这种肿瘤命名为PGNT。
2、PGNT好发年龄?
A、PGNT多见于青年人,文献报道的平均年龄为25.7岁(4~75岁),75%的患者<30岁,较本组(平均年龄为31.5岁)稍小。Govindan等和Javahery等认为该肿瘤好发于女性,而Zhao等与Ahmed等的研究显示该肿瘤常见于男性。hamann等报道71例PGNT患者,发病年龄为4~75岁。以青年人多见,且无明显的性别差异。一般认为PGNT具有良性肿瘤的生长方式,代表细胞增殖能力的Ki-67标记指数一般<3%。但近年有学者发现部分肿瘤呈高增殖性,具有向恶性发展的生物学行为。Bourekas等报道1例恶性PGNT伴肺转移,提示PGNT可以恶变并向颅外转移。
3、PGNT好发部位有哪些?
A、PGNT多位于幕上,主要位于大脑实质内,幕上占多数额叶、颞叶、顶叶及其他不同部位的比例为40:30:20:10。以额叶较为常见,其次是颞叶、顶叶,少数位于脑室内,也可位于小脑及松果体区。位于松果体区及三脑室的PGNT可伴有脑积水。病变多位于脑室周围白质内,也可位于皮质、皮质下。文献报道PGNT病变与脑室关系密切闪,邻近脑实质及脑室系统常受压,且部分病变可浸润生长侵入脑室内。
4、PGNT临床症状有哪些?
A、临床表现为顽固性癫痫和头痛,也可出现视觉障碍、共济失调步态以及感觉、认知及情感障碍等,也有部分患者以脑出血为主要临床表现。
5、PGNT影像学检查特点?
A、PGNT具有独特的影像学特征。头颅CT检查可见,肿瘤呈低密度肿块,多数肿瘤的边界清楚,水肿较轻;少数患者实性部分可见钙化,少数患者因出血CT表现为高密度且类似海绵状血管瘤,病理学检查发现细胞增殖活性增加,因此推测出血可能预示肿瘤存在恶变的可能。头颅CT检查可见,囊性占位伴强化的壁结节,边界清楚,占位效应明显,周围组织受压迫,瘤周水肿不明显。T1加权成像(T1WI)表现为多数囊性部分呈低信号,T2加权成像(T2WI)表现为高信号,实性及囊壁结节T1WI呈稍高信号、T2WI呈高信号。增强扫描病变实性部分呈明显强化,囊壁多呈环状强化;少数为实性结构,可见少量钙化。文献报道PGNT的实性部分在弥散加权成像(DWI)上呈等、低混杂信号囊性部分呈明显低信号,提示肿瘤内细胞密集程度不高。

影像学资料A~D.术前MRI显示右额顶病变伴出血和水肿.病灶呈囊实性,不均增强,并突向侧脑室
6、PGNT是良性还是恶性?
A、PGNT的影像学特点均提示其为良性脑肿瘤。但是,有学者认为PGNT并不总表现为良性生长方式,颅内播散、局部侵犯等恶性表现也可发生于少数PGNT。
7、PGNT怎么鉴别诊断?
A、本病在影像上应与以下疾病相鉴别:(1)少突胶质细胞瘤:多见于中年人,多呈混杂密度或信号,瘤内常可见“脑回样”钙化;(2)高级别星形细胞瘤:多发生于中老年人,肿瘤侵袭性较强,瘤周水肿明显。增强后呈不规则强化;3)中枢神经细胞瘤:好发于侧脑室孟氏孔附近或透明隔,以宽基底或细蒂与透明隔相连,可突入对侧脑室或三脑室,病灶边缘与侧脑室壁之间分布多发实性条索影,常可见血管流空影,此为特征性表现,DWI呈低信号,增强扫描多。轻、中度强化。
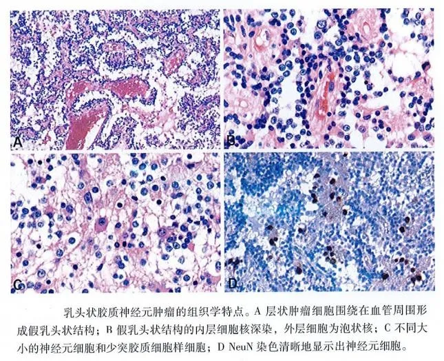
8、PGNT病理组织学表现
A、PGNT主要由胶质细胞和向神经元方向分化的细胞构成,其中胶质细胞为星形胶质细胞,向神经元方向分化的细胞包括神经元、神经节样细胞及神经节细胞等。PGNT在显微镜下的特征为单层或假复层小立方状胶质细胞构成的假乳头结构和玻璃样(透明)变性的血管,乳头间片状或灶状聚集分布神经元,且肿瘤周围可见Rosenthal纤维和微小钙化灶的胶质增生的脑组织。正是基于PGNT能够双向分化,使其兼具神经胶质细胞和神经元的特点,即PGNT的形态学诊断特征。

9、PGNT怎么治疗?
A、由于WHO中枢神经系统分类标准将PGNT定为WHO组织学分级I级的肿瘤,目前主要的治疗方式为将肿瘤尽可能完全切除,术后不接受辅助放化疗。但近几年有文献报道PGNT有复发和恶变的病例,是年龄较大,增值指数较高,可见核分裂像及坏死,这些表现提示存在更高级别成分,并非完全Ⅰ级良性肿瘤。对于增殖指数较高的病例,大部分学者认为应该进术后放化疗,而另有研究表明,高增殖指数并非与预后直接关联,因此还应该进行大样本的研究及随访,有利于进一步了解此疾病及评估预后。
10、PGNT预后怎么样?复发率高吗?
A、WHO中枢神经系统肿瘤分类(2016)中,PGNT属于WHO I级,是一种非侵袭性、生物学行为良好的肿瘤。囊性结构、透玻璃样变性血管的出现以及低增殖活性预示临床预后好。多数患者行肿瘤完全切除术,不接受放疗,一般没有复发,手术扩大切除是影响预后的主要因素。文献报道PGNT也有肿瘤复发),该患者病理学检查可见星形胶质细胞增生,有核分裂象、血管内皮细胞增生、Ki-67增殖指数>10%。Ramin等报道1例PGNT全切除患者,术后4年出现多处远隔部位的复发,再次手术后肿瘤仍有部分残余局部放疗及化疗后复查头颅MRI,可见残余肿瘤消失。因此,诸多研究认为,对于病理学上属于间变型或术后复发的Ki-67>2%的患者,术后使用替莫唑胺化疗和分次放射治疗有助于控制PGNT肿瘤细胞的生长甚至杀灭肿瘤细胞。同应密切随访,观察其复发倾向。
小结
综上所述,PGNT是一种少见的神经元-胶质混合性肿瘤。在临床表现、影像学和病理学上具有独特的特征。随着病例报道数量的增加,其在临床表现、组织学特征及遗传学特征等方面均取得了的进展,生物学行为偏惰性,也有恶变的潜能病理学检查对PGNT的诊断及治疗具有指导作用。因此,更大的样本量和更久的随访有利于更好地阐明PGNT作为独自肿瘤的特征。
- 文章标题:乳头状胶质神经元肿瘤PGNT竟会导致癫痫?PGNT怎么治疗?
- 更新时间:2024-04-23 11:02:01
400-029-0925




