脑海绵状血管瘤(CCM)是神经外科常见的脑部血管病变,而癫痫,是它最常见的症状之一,这也让很多患者和家属陷入困惑: 这个病为啥会引发癫痫? 术...
17岁的琳娜多年来总是因为患有癫痫而自卑,她会在课堂上无意识地走神发呆,会在体育课上突然倒地抽搐,还会在睡梦中无意识地颤抖吃再多的药物也于...
INC国际儿童脑瘤大咖、世界小儿神经系统专业杂志《Childs Nervous System》现任主编Concezio Di Rocco教授发表研究《Epilepsy surgery of posterior quadrant dysplasia in the fi...
James T.Rutka(鲁特卡)教授曾任世界神经外科学院院长,目前是世界神外知名杂志《Journal of Neurosurgery》主编,30多年来深耕儿童神外研究,带领团队不断突...
孩子开颅手术后能恢复到从前吗? 开颅术后1年多,小欧的随访报告再一次带来了好消息。 我很高兴得知孩子目前没有明显症状,也很欣慰看到他的视频,...
功能区胶质瘤手术全切案例简要病史:16岁女孩艺文(化名),因癫痫反复发作、肢体无力就医,检查出大脑左顶叶深部占位性病变。由于癫痫发作频繁,...
超声在医学领域被广泛认为是一种诊断或监测手段。然而,近年来,许多研究者发现声能在活组织中的更大潜在作用,并一直在进行研究以研究其治疗用途...
颞叶癫痫症状有哪些?颞叶癫痫发作始于大脑的颞叶,这些颞叶会处理情绪,对于短期记忆很重要。颞叶癫痫发作的某些症状可能与这些功能有关,包括感...
自1980年代以来,癫痫手术已成为许多癫痫发作不受控制的癫痫患者的可靠,顺利且合适的选择。 癫痫手术已显示出以下好处: 1、社会和认知的好转。 2、...
多小脑回畸形(PMG)是一种常见的皮质发育畸形。其特征是小的不规则脑回数量过多,皮质厚度增加。显微镜下表现为皮质高度紊乱,过度折叠,皮质分层...
颞叶内侧病变相关性癫痫的常见手术方法有四种。 1颞叶切除术。 颞叶切除术是一个常用的术语,它被定义为整个颞叶切除术,包括内部结构。目前,完全...
癫痫(epilepsy)的英文名称源自古希腊文中ἐά(意为折磨)一词,早在19世纪初,法国的医生便开始发表他们在癫痫病领域的研究成果,时至今日,全国际...
小儿岛叶癫痫严重吗?先了解岛叶在大脑的什么位置,岛叶可理解为一近似3cm4cm5cm的倒三角形岛状结构,其中左侧岛叶略大于右侧。 岛叶周围以未封闭的三...
关于儿童左颞叶切除术后言语记忆结局的先前研究结果参差不齐,很少有研究比较外侧颞叶与中间颞叶切除后的言语记忆变化...
癫痫 是一种神经疾病(影响大脑和神经系统),在这种疾病中,一个人有从大脑开始癫痫发作的倾向。大脑由数百万个神经细胞组成,这些神经细胞利用电信...
五大颞叶癫痫手术方法,手术方法的选择主要取决于以下三点。首先要判断癫痫是否有继发因素,其次要明确癫痫病灶的范围,然后是癫痫病灶与功能区的...
与其他切除术一致,颞叶癫痫的疗效会随着术后时间的延长而降低。根据大量文献报道,颞叶癫痫术后一年无发作率为80%~85%,术后五年无发作率降至55%~6...
手术切除通过系列脑电图分析而发现的病灶可以使癫痫活动消失。应用术中皮层脑电监测和致痫灶的切除对于大脑半球低级別胶质瘤并伴难治性癫痫的儿童...
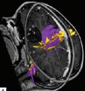
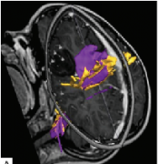
我们在加拿大多伦多大学儿童医院(SickKids)引入了脑磁图(MEG)指导的难治性局灶性癫痫儿童癫痫手术。顽固性局灶性 癫痫患儿 的手术候选资格和手术程...
坚持合理用药却收效甚微,药物难治性癫痫患者要做开颅手术吗?不妨听听神界神外教授Rutka教授如何利用LITT技术治疗癫痫...
控制 儿童顽固性癫痫 的大脑半球切除术:单一机构两种手术技术的比较(Hemispherectomy for the Control of Intractable Epilepsy in Childhood: Comparison of 2 Surgical Techniques...
颞叶癫痫 多发生于青少年,其发作类型包括:单纯部分发作、复杂部分发作、继发全身发作,或这些发作的混合。同时,病人常有热性惊厥和癫痫家族史。...
摘要: 癫痫手术 的新技术的临床应用怎样,有何难题? 自从早期在难治性颞叶癫痫中,一项随机临床试验(RCT)证实了颞叶切除术疗效优于药物治疗以来...
胶质瘤治疗:胶质瘤引发癫痫手术治疗方案。控制胶质瘤相关性癫痫较明显的因素是肿瘤的根治性切除,已达成共识,但仅仅切除肿瘤并不足以解决胶质瘤...
由于岛叶皮质内癫痫发作症状的多样性和模糊性,诊断和外科治疗具有挑战性。此外,考虑到局部神经外科和血管解剖,手术入路与潜在的发病率相关。...
脑干海绵状血管瘤引起的脑干出血需要手术吗?海绵状血管瘤是指长在脑内的血管畸形,其中脑干部位的海绵状血管瘤是预后较差的颅内海绵状血管瘤,手...
癫疯病可以根治吗?难治性癫痫可以通过切除性手术、姑息性手术或微创手术好转生活质量,如何选择取决于患者的情况和医生的考量...
The role of surgery in refractory epilepsy secondary to polymicrogyria in the pediatric population( 手术在小儿多发性继发性 难治性癫痫 中的作用 ) 英文原文摘要: Objective:...
小儿癫痫 病可以根治吗?小儿癫痫外科手术如何顺利合适? 约有25%至35%的癫痫患者即使接受了适当的药物治疗,仍会继续发作。尽管出现了几种新的抗癫...
神经导航和神经监测在 癫痫手术 中的应用 (Utility of neuronavigation and neuromonitoring in epilepsy surgery) 英文摘要: The management of medically refractory epilepsy poses b...
癫痫患者和提供者可以做很多事情来阻止或减轻癫痫发作。如果需要找到较佳治疗方案,医疗保健提供者将改变药物的用量或开新药。近几年,微创手术正...
Imaging surgical epilepsy in children( 儿童癫痫手术 影像) 英文原文摘要: Abstract Introduction Epilepsy surgery rests heavily upon magnetic resonance imaging (MRI). Technical develop...
手术时机 反复癫痫发作会对大脑产生有害影响。如果癫痫的继发因素(如肿瘤、软化灶、皮质发育不良等)存在,应考虑早期手术干预。优选药物无效后,...
局灶性MRI异常增加了术前拟手术 治疗癫痫患者 的致痫区成功勾画的机会(Duncan和Sagar, 1987;Fish等人,1993年;斯宾塞,1995;艾蒙等,1996;Cascino, 2004;Tonini等人,20...
LITT激光间质热疗:针对医学难治性癫痫,目前各种手术技术都在突飞猛进。不同于传统的开颅手术,药物难治性癫痫的手术选择又有了新的“微创”之选—...
颅内脑电图(iEEG)监测是鉴别难治性癫痫患者发作病灶的重要方法。虽然先前的研究表明手术并发症发生率较低,但报告手术部位感染率(SSI)变化很大。...
癫痫 每1000人中有4-10人发病,相当于约4000万人,每年每10万人中有50-100人发病。除了较大的社会影响和与此相关的死亡率增加,经济负担也沉重。抗癫痫药...
癫痫痉挛是早期难治性癫痫的常见表现,可导致神经发育的严重后果。儿童癫痫的发生部位和儿童先天性癫痫的手术困难是有挑战性的...
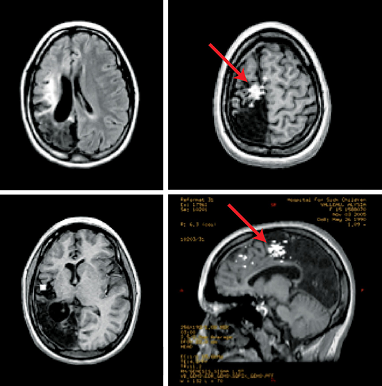
脑海绵状血管瘤和癫痫发作:病灶切除术还是癫痫手术?海绵状血管瘤(CMs)是一种越来越被公认的部分性癫痫的原因。这些良性的桑葚样血管病变可能发生...
以往,有20%-30%的癫痫患者由于长期应用抗癫痫药物无效,或者药物出现严重的副反应而无法进行合适积较的治疗。如今,这些患者更有希望通过癫痫手术而...
Pediatric epilepsy surgery:Toward increased utilization and reduced invasiveness( 小儿癫痫手术 :致力于提高利用率并减少入侵) 英文摘要: Approximately 25% to 35% of patien...
颞叶癫痫神经心理学检查。颞叶癫痫患者的神经心理功能障碍往往是由损伤引起的,是病史较长的患者。颞叶具有不同的神经心理功能,因此可以通过详细...
问: 什么样的儿童癫痫病可以手术? 答: 我们建议对 癫痫 患者进行手术,以治疗无法通过抗癫痫药(AED)阻止癫痫发作,减少或预防发育迟缓以及防止...
药物和手术是治疗癫痫的两种主要方式,什么时候吃药、什么时候手术,一般都是有特定原则的。 大约70%-80%的人通过规范的药物治疗可以控制癫痫不发作...
癫痫手术对于难治性癫痫患者来说,是一个比较理想的治疗方法,主要目的是控制发作或减少发作、提高生活质量。但患者及家属需了解,做癫痫手术并不...
胶质瘤占全部中枢神经系统肿瘤的80%,它可能影响全部年龄段的人,包括儿童、青少年和年轻人,但在50岁和60岁的人群中更常见...
颞叶癫痫什么时候手术好? 反复癫痫发作会对大脑产生有害影响。如果癫痫的继发因素(如肿瘤、软化灶、皮质发育不良等)存在,应考虑早期手术干预。...
大约三分之一的 癫痫 患者较终会发展成难治性癫痫。这意味着药物不能很好地控制癫痫发作,或者根本不能控制癫痫发作。目前,脑皮质切除术是治疗难...