即使多数癫痫患者可以通过坚持合理用药控制病情,但仍有三分之一左右的癫痫发作是无法靠药物治疗的而转归为难治性癫痫,经过两种治疗方案失败后再进行药物治疗的成功率有3%。另外要注意的是,还需要重视对癫痫病因的排除,如果存在明确病变,手术往往是癫痫的根治办法。
然而,许多位置深在、体积小的病灶,切除过程中过多的解剖、分离操作会增加医源性并发症和残余长期性神经缺损的风险。由于无法实时可视化消融,像立体定向放射治疗(SRS)和射频消融这样的微创技术目前在脑瘤引起的癫痫治疗中往往效用有限,而国际神经外科领域正“当红”的激光间质热疗(LITT)技术则突破了二者的局限性,有相关研究表明:LITT治疗癫痫,97%发作降低>50%,62%术后无大发作,因为LITT的微创 性及合适性 , 适用于婴幼儿、幼儿患者,深受因脑瘤引起的癫痫困扰的患者 Jimmy就是从中受益者之一。

Jimmy 的“抗痫”故事
Jimmy一开始接受外科手术时只有7岁,内侧颞叶肿瘤使他在复杂部分癫痫发作时会出现严重的意识障碍和精神症状,他会短暂地失去意识,四肢抽搐,还会不断重复自己癫痫发作前的动作,流口水、吞咽、走路等,这些使他无法正常生活和学习,因此选择接受外科手术。他的父母慕名求诊于INC旗下国际神经外科顾问团(WANG)专家成员、国际儿童神经外科专家James T. Rutka教授,教授行经侧裂入路为其行切除手术,术后7年均未发作。

经侧裂入路的切除手术资料

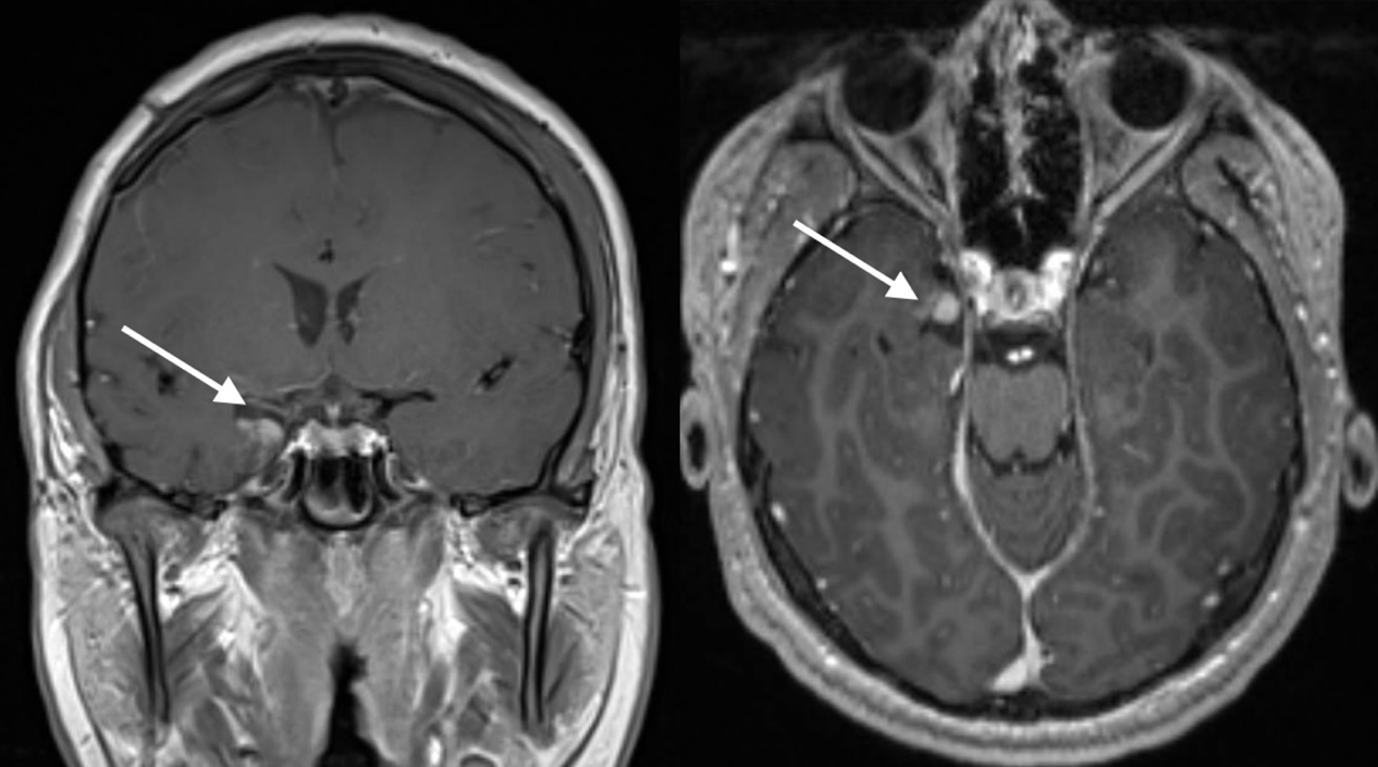
术前影像

术后影像
在手术切除后,Jimmy享受了七年的宁静时光,但在他14岁那年癫痫再次发作,检查发现他的内侧颞叶肿瘤出现了小的残留病变,周围可能也是致痫灶,这些导致了癫痫复发,如不及时治疗,可能会逐渐回到术前状态,再次陷入癫痫的“梦魇”,但Jimmy这次不愿再次接受开颅手术,他希望能尽快完成治疗重返校园。

因此,Rutka教授与Jimmy及其家属进行了深入沟通,教授认为Jimmy的残余肿瘤不足3cm,适合采用一项微创技术——激光间质热疗(LITT)来消融病变,他所在的SickKids医院已引入LITT技术多年,他和团队成员已能熟练运用这一微创技术治疗小儿脑瘤和癫痫。而且教授表示术后Jimmy可以很快出院,不会影响正常的学习和生活,与Jimmy一家达成共识后,教授立即为其制定了周详的微创治疗方案。下图为教授使用的是加拿大公司的NeuroBlate®系统(目前国际拥有LITT设备技术的两家公司之一),利用实时iMRI指导指导手术和评估治疗效果。

图为适用于NeuroBlate®程序的MRI套件布局的示意图。电子机架和工作站位于成像套件旁边的MRI控制室。冷却线、光纤电缆和温度探测电缆通过一个波导进入成像套件。图A:改良的Navigus®设备。图B:术中MRI接口平台及探头驱动器。图C:探针驱动的特写。图D:激光探针的,此处释放从蓝宝石胶囊中射出的激光束。

患者取位步骤,正在准备做神经导航并使其接受术中核磁共振
术中核磁共振会实时监测脑部温度,在确定患者顺利的同时更好地清除病变;术中辅助机器人则可以准确把握激光探针的插入深度;德国Brainlab公司的Varioguide引导器则被用于引导激光探针由正确路径深入脑部靶点区域。激光间质热疗可以与这些技术很好地配合,以期达到更佳的治疗效果,这也是这项技术的优势之一。

黄色部分的温度为42或43°,烧灼过程中其会变为蓝色,蓝色部分的温度为45或46°则是激光的消融,更强的激光烧灼可以消融致痫灶。Rutka教授对残余病变进行了逐一消融,Jimmy的手术很成功,术后二天他就出院了,智力和生长发育也未受到任何影响,经过短暂的休养后他重返校园。较近的随访显示他的癫痫没有再次发作,如今的他正在享受校园生活。
后记
LITT技术在近几十年逐渐发展起来,其顺利性和合适性已经在各种颅内肿瘤以及非肿瘤性病理(如中颞硬化、放射性坏死等)中得到验证。与开颅手术相比,激光间质热疗的并发症更少,这也从根本上缩短了恢复时间、降低了住院费用,但这些优势均基于手术团队拥有丰富的临床经验之上,否则也会因设备错位、技术故障等因素造成硬膜下血肿、动脉损伤出血、新的或恶化的神经功能缺损等并发症。
LITT在解剖学和生理学上提供个性化的微创治疗,对于不适合切除或标准治疗难以治愈的胶质瘤,LITT可能被认为是一种潜在的有益的局部治疗选择。术中核磁共振可使外科医生能够执行精确的治疗计划和过程的视觉监测;它还提供关于组织热损伤的三维空间分布的持续反馈。虽然LITT治疗胶质瘤患者,是初诊胶质瘤患者的总体数量仍较低,但由于LITT的治疗效果已得到证实,其临床优势明显,因此LITT治疗胶质瘤的患者数量仍在不断增加,是复发性高级别胶质瘤患者,未来,LITT治疗胶质瘤的效果仍会在随机临床试验中进一步评估。
INC旗下国际神经外科顾问团(World Advisory Neurosurgical Group,WANG)是由国际各发达国家神经外科宗师联合组成的教授集团,囊括了神经外科各细分领域的国际教授。LITT技术的国际先行者James T. Rutka教授擅于利用前沿技术治疗小儿脑瘤和癫痫,巴特朗菲教授精于脑干、松果体、重要功能区等疑难位置的肿瘤切除,国际儿童神经外科学会前主席Concezio Di Rocco教授在儿科神经外科及科领域的临床治疗经验颇为丰富。国内脑瘤和癫痫患者如对自身治疗方案有所疑虑或追求更好的治疗效果和预后,可咨询INC国际专家远程邮件或视频咨询,获取一位或多位教授的咨询意见供患者综合考量。
相关阅读:研究表明:LITT治疗癫痫,97%发作降低>50%,62%术后无大发作
2.DOI: 10.1159/000469676
- 文章标题:7岁患儿因脑瘤频发癫痫,LITT治疗避免2次开颅手术和生长发育损害
- 更新时间:2020-10-28 13:38:49
400-029-0925




