“巴教授10月来华,希望更多的患者能够得到较好的治疗”,看到教授即将来华的消息,周老师发布了这样一条动态。面对病友的疑问,他表示,为了生命,活着才是真理。
“我去了中国较好的医院,也找了中国乃至较好的医生,假如我在国内做手术的话,那么要么就是致残,致残率比较高;要么就是下肢瘫痪,要么就是嘴歪眼斜的;生活质量不好。在网上无意中发现了上海INC国际神经外科,之后我就决定跟她们沟通联系。这才知道还有国外治疗这一个门路。让我重见光明,较终我决定去找德国的巴特朗菲教授去做手术。
对治疗结果相当满意,巴教授治疗后,我回到云南,去了医院复查,医生都说我这是一个奇迹。在他们看来是不可能完成的任务,但是巴特朗菲教授确实完成了。医疗技术无国界,如果确定在中国无法做手术的时候,我想把更好的目光转向欧洲,转向巴特朗菲教授。因为那里可能有人给你开启重生之门!”
——周老师

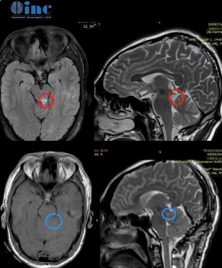
2020年一纸诊断打破了周老师幸福的生活——脑干胶质瘤。就是这个肿瘤,棘手,位置不同,它长在了脑干。虽然肿瘤不大,但手术难度很大,“生命中枢”、“手术禁区”。脑干手术做不好很可能会导致四肢截瘫,甚至不少患者术后躺在ICU里长期昏迷。但不做手术的话,肿瘤会继续长,到时候也不止是头痛、眼痛,还会造成肢体无力,站立不稳,无法独自行走,甚至呼吸控制、昏迷,也同样随时可能危及生命。
云南、四川、上海、北京各地奔波,辗转国内各大医院,依然束手无策。脑干胶质瘤患者,就是处在这样的,两难境地。手术,或者不手术,都会面临,较大的生命危险。到底,要不要做手术?如果做的话,要找哪位专家来做?这些问题,让周老师很迷茫。好在,病友告诉他,INC的巴特朗菲教授,做过,上千台,脑干肿瘤切除手术。所以他,立即决定了远程咨询巴教授。
教授分析了患者病情、肿瘤分级、生长位置及形态特点,不到两天就给出了回复,他说:患者有明确的手术指征。虽然目前的病情并不危急,但考虑到肿瘤可能会不断生长,导致病情恶化,建议他尽快来德国,我可以为他主刀手术。全切后的复发率远低于6%,而且术后不需要辅助放化疗,定期复查即可。即使面临人生至暗时刻,周老师仍不忘园丁使命,布置好后续教学工作。
得知,还有手术机会,周老师,冒着疫情的风险,飞往德国。飞越了十几个国家,经10小时飞行,较终到达战场——德国INI。
历经7个小时的手术,教授在半坐位下,使用,幕下小脑上入路,全切了胶质瘤。术后1天,他就迁出ICU,回到普通病房,呼吸、心率平稳,还能自行用餐,没有,术后并发症。术后2天,开始进行,康复训练;术后5天,周老师就出院了。在平安夜,周老师从法兰克福启程回国,寓意往后都“平平安安”……
回云南复查,医院的医生惊呆了,全切肿瘤,国际上少见的手术。他们学习了
一天,周老师认真与他们交谈着,并作为云南神经外科研究的重点对象……
如今,术后,已经过了一年,他,早就回到了学校,继续,教书育人。意气风发、挥斥方遒、指点江山。回归正常生活,未来可期……
曾今在篮球场上挥汗如雨的他如今又能够重返赛场,享受运动带来的快乐。和朋友们去深山露营烧烤,放松心情……
让理想在事业中闪亮。要把每一个平凡的日子,过得诗意盎然。老师是灯塔,他愿意引领自己的学生们奔向远方。
周老师患脑干胶质瘤赴德全切后恢复正常生活,“瘤子真的不见了……”。

术后1天迁出ICU,回到普通病房,苏醒后,如常,周老师为巴教授的医术竖起大拇指
术后5天,周先生出院并与教授合影,交谈致谢!
术后周老师用朋友圈记录下德国治疗的感悟
术后1年,周老师前来INC专程复诊巴教授及表达感谢

“没有什么比健康活着更艰难,也没有什么比健康活着更快乐……”周老师的翻盘成功看似是天时地利人和的结果。其实,同一种病,不同的治疗策略、不同的治疗处境,都可能会导致,完全不同的命运。周老师并没有局限他的治疗思路。为了较好的疗效,他把眼光,放到了国际。否则,他不会知道,自己的病情,其实有手术机会,甚至可以做到,顺利全切。关于,治疗脑干胶质瘤的,治疗经验,大家,也可以听听,周老师的心得。
以上就是“脑干中脑顶盖胶质瘤患者真实案例记实”的全部内容,想要了解更多“脑干中脑顶盖胶质瘤”相关问题,请拔打4000290925咨询我们,INC国际神经外科医生集团聚集10余位国际神经外科专家,致力于中外神经外科学术交流,为神经外科疑难手术案例提供国际前沿远程咨询意见和手术方案。
- 文章标题:脑干中脑顶盖胶质瘤患者真实案例记实
- 更新时间:2022-11-03 15:31:15
400-029-0925




