脑干肿瘤手术经典专著《Surgery of the Brainstem》,这是一本由国际神经外科专家共同撰写、治疗脑干疾病的经典指南,也是管理脑干、丘脑和基底节疾病的综合指南。了解脑干和丘脑区域的基本解剖结构、病理学和临床复杂性,对于治疗至关重要。
INC旗下国际神经外科顾问团成员Michael T.Lawton教授、Helmut Bertalanffy教授等都参与编写。这本佳作将为神经外科医生提供更多关于手术的新见解,并为患有这一高度疑难区域疾病的患者提供帮助。
脑干是手术禁区的然后堡垒之一,因为它密集的颅神经核团、上行及下行纤维束以及网状纤维,将信息传入和传出大脑。尽管10%的儿童肿瘤和5%的血管异常发生在脑干,但神经外科医生传统上拒绝切除该区域的病变。成像、显微镜、麻醉和手术技术的推进了这一较重要区域的治疗范式。
作为国际脑干手术教授——INC德国巴特朗菲教授在该著作中13章Adult Brainstem Gliomas(成人脑干胶质瘤)发表了他三十多年来成人脑干胶质瘤的手术结果,著作中阐述了巴教授成功手术的高难度脑干胶质瘤案例,主要是1996年至2017年间接受手术治疗。作为国际脑干手术教授,INC巴教授会根据每位患者独特的解剖学条件和实际情况定制手术方案和干预措施,以实施高质量的显微手术,这其中就包括了手术入路的选择。
下文主要报道收录在《Surgery of the Brainstem》中的3例经典手术案例及巴教授关于脑干手术的深入解读。有兴趣者可留言索取原文……
3例成人脑干胶质瘤全切手术剖析
术后超过5年以上均未复发
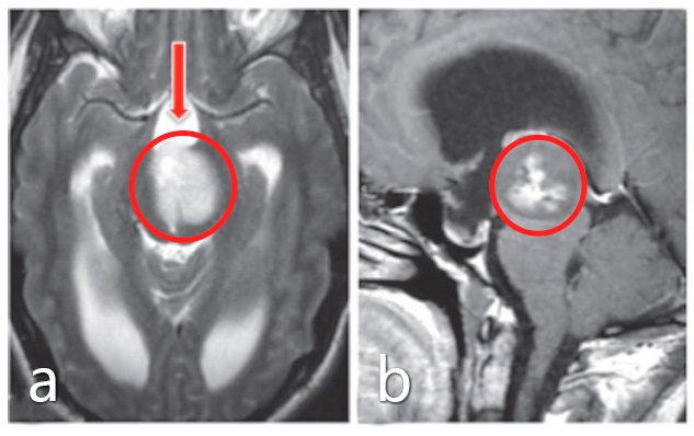
23岁男士脑干中脑较大胶质瘤
手术全切后5年未复发
基本情况:23岁男士患有进行性头痛、复视和轻微的记忆力减退

术前:a、b图患者术前MRI影像显示脑干中脑较大占位,肿瘤占位引起梗阻性脑积水

手术入路和体位:额叶正中颅骨切开术,仰卧位。a图箭头指示了额叶半球入路,f图术中照片显示,肿瘤主要通过椎板末端进入,高于保留的前交通动脉。

术后:d、e图MRI影像提示肿瘤得到全切,病理结果为1级毛细胞型星形细胞瘤。无围手术期并发症,无神经和认知缺陷,术后5年随访未见复发。
30岁女士脑干中脑胶质瘤
手术全切后9年未复发
基本情况:30岁女士,有复视和轻微右侧偏瘫

术前:a、b图患者术前MRI显示中脑肿瘤,患者初期接受立体定向囊肿抽吸和间质放疗,并被诊断为毛细胞型星形细胞瘤,但肿瘤仍在生长。

手术入路和体位:病人仰卧位(c图),通过左侧颞下入路进行手术。事先放置腰部引流管,并在暴露期间释放脑脊液以放松大脑并避免颞叶损伤。术中完整保留Labbé静脉(d图),通过切开其周围的蛛网膜层而与颞叶分离。e图表示使用小型Cavitron超声手术抽吸器(CUSA)探针切除肿瘤,同时保护邻近的滑车神经(箭头指示)。

术后:无手术并发症,f图显示伤口愈合正常,患者预后良好,无神经功能缺损。组织病理学检查为1级毛细胞型星形细胞瘤。g、h图术后MRI影像显示,肿瘤全切。随访MRI记录手术后9年无肿瘤复发。
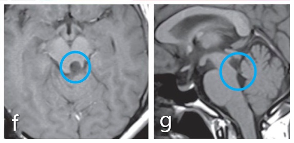
20岁女孩脑干胶质瘤
手术全切,5年未复发
基本情况:20岁女孩,1型神经纤维瘤病,有几种皮肤表现,有严重头痛和复视症状。

术前:a、b图术前MRI显示脑干中脑占位,肿瘤导致导水管闭塞。

手术入路和体位:c图表示半坐位进行了手术,通过左侧小脑上天幕下入路全切肿瘤。d图显示整个外侧枕骨区域暴露在下,直到滑车神经出口(箭头所示)。e图表示脑干的进入点选择在上丘脑的侧面,然后的肿瘤切除腔约6mm

术后:f、g图术后MRI影像显示肿瘤得到了全切。患者无并发症,无其他神经系统缺陷。术后病情平稳,术后5年内无肿瘤复发。
巴教授如何突破
“no man's land无人区”?
脑干肿瘤的治疗已有一百多年的历史,它与神经外科发展史基本吻合。当时的诊断设备与技术能力限制了脑干肿瘤的治疗,特别是外科治疗。1980年代以后,才有神经外科医生对部分脑干胶质瘤进行手术,但初期仅适用于病理活检组织学检查,直到2010年代,有几篇关于成人脑干胶质瘤手术报告指出,外科手术可合适好转脑干低级别胶质瘤预后,对于局灶性中脑和延髓胶质瘤进行手术也是顺利的,并在某些情况下可以取得良好的长期效果。随着显微神经外科技术、术中辅助技术发展及脑干安,全区的发现,脑干肿瘤已实现了更高程度切除乃至全切,但直到如今有少数手术医生有较多的全切成功案例报道。
1971年,人类历史上一位接受CT扫描的是一位41岁的女性脑瘤患者。如果放在现在看,这样的图像糟糕,但在当时,能够区分灰白质已经是科学家梦寐以求的事了。1974年,巴特朗菲教授已经开始了脑干解剖等基础研究、探索如何进入这一“无人之地”。

1974年的巴特朗菲教授
解剖是神经外科的基础和灵魂,特别对于脑干这类高难度手术,巴特朗菲教授对于青年医师提出建议。“首先需要了解脑干的大体解剖和纤维束/核团的解剖。当我还是神经外科住院医生时,在我的主任Wolfgang Seeger教授(1929-2018)的指导下,进行过脑干的标本解剖,这对我开展手术有很大的帮助。”
Wolfgang Seeger教授,德国显微神经外科创始人之一,一生致力于神经外科学,擅长手术绘图,其图详实、精巧,生动地展示了生理、病理解剖及手术技巧。
一开始进行脑干手术
INC巴特朗菲教授人生当中一开始主刀脑干手术可以追溯到30多年以前,虽然已经过大量神经外科训练,但手术之前他还是紧张的,导师Wolfgang Seeger教授给了大的支持。而在正式开展脑干手术之前,他做了很多脊髓髓内手术,习惯在高倍镜下柔软的脊髓内进行细致的显微手术操作,这是一个很好的前期技术积累环节。
当巴特朗菲教授开始接诊脑干病变患者时,突然意识到肩上责任之。因此,巴特朗菲教授努力做好术前、术中和术后的每一个细节,争取较好的治疗结果。随着手术的脑干病变患者的增多,巴特朗菲教授的手术技巧也越来越纯熟。当然,学习永无止境,直到现在仍有很多他也无法解决的问题。
研究与突破
1991年,巴特朗菲教授就已发布过相关研究,《Microsurgery of Deep-Seated Cavernous Angiomas:Report of 26 Cases深部海绵状血管瘤的显微外科治疗(附26例报告)》,其中回顾了26例经显微手术切除的深部海绵状血管瘤,14个位于脑干内。这些患者是1983年8月至1989年12月间手术的患者。11例完全切除,没有产生额外的神经功能缺损。
仅仅过去3年,在2002年巴特朗菲教授又发表了他的成功手术成果和经验《Cerebral cavernomas in the adult.Review of the literature and analysis of 72 surgically treated patients成人脑海绵状血管瘤的文献回顾及72例手术治疗患者的分析》,分析了脑深部疑难部位的手术经验,主要分析了5年中接受手术的72例脑深部疑难手术患者的情况,其中24例位于脑干内。手术均获得成功尽全切,无死亡率。
巴特朗菲教授证明,脑海绵状血管瘤即使是位于脑干,也是可以顺利地尽全切除,效果良好,发病率低。
教授在这篇论文中写到:在20世纪80年代后半期接受手术的患者,当时国际范围内几乎没有脑干、丘脑、基底神经节等此类病变的经验,具有意义!
2020年新版的国际脑干手术专著《Surgery of the Brainstem脑干手术》中,巴特朗菲教授撰写的《adult brainstem glioma成人脑干胶质瘤》这一章节,详细阐述了脑干手术的技术要点、操作技巧、手术入路、手术体位等,已成为国际神经外科医生的学习典范。

同年出版的国际脑干手术专著《Brainstem Tumors脑干肿瘤》中,巴特朗菲教授撰写《Surgical Approaches to Medullary Tumors延髓肿瘤的外科手术方法》章节。这本具有启发性和综合性的著作,为读者提供了脑干手术的多方位和详细的视角,以及有关病理诊断和管理的较前沿的讨论。

巴教授脑干胶质瘤
手术要点剖析
脑干胶质瘤占儿童全部脑肿瘤的20%,其病程普遍较差。相比之下,成人脑干胶质瘤是一种少见疾病,仅占成人神经胶质脑肿瘤的1%至2%,这形成了一组具有不同预后的病变。

上图显示成人、儿童脑干胶质瘤的区别,其中成人脑干胶质瘤2年生存率>50%,而儿童脑干胶质瘤中,弥漫内生型脑干胶质瘤DIPG的2年生存率<25%,其他则>90%
1患者选择
在脑干胶质瘤的治疗中,决定是否需要手术是较困难的问题之一。由于没有广泛接受的标准可参考,因此患者的选择是高度个性化的,并且基于主刀医生的经验和对每个个案的主观病情评估。医生需小心地识别那些可以从外科手术中得到益处的患者,而把那些被认为手术对他们没有帮助的患者排除在显微外科手术之外。在大多数病例中,肿瘤表现为局灶性病变,估计至少有相当数量的肿瘤肿块可以通过脑干手术切除而不增加严重的发病率,以及伴随着长期生存或甚至被治愈被认为是可能的。在少数情况下,仅进行开放性肿瘤活检以明确组织病理学诊断(近年来,基于分子检测),在梗阻性脑积水的情况下进行内镜三脑室造口术,或通过排空相关的压迫性肿瘤囊肿来释放局部压力。
2手术目标
手术的主要目的是在不损害脑干实质的情况下尽可能多地切除肿瘤,希望为病人提供的不仅仅是姑息治疗。在低度恶性肿瘤中,是毛细胞星形细胞瘤、形成菊形团的胶质神经元肿瘤和乳头状神经胶质瘤等,如果肿瘤尚未广泛侵犯脑干,许多患者甚至可以得到完全切除。在大多数这样的病例中,我们遇到了一个明确的肿瘤脑干界面,可以进行精确的解剖。在其他类型的肿瘤中,例如弥漫性或高级别胶质瘤,由于缺乏清晰的肿瘤边界,目前甚至还没有尝试过完全切除肿瘤。在后一种情况下,除了获得精确的组织病理学诊断外,的肿瘤细胞歼灭被认为对患者是有利的。
3手术时机
一旦诊断出脑干胶质瘤并且确定该患者具备手术指征,便应该尽早进行肿瘤切除,以避免肿瘤进一步生长。然而,在少数伴有闭塞性脑积水的患者中,在肿瘤切除之前应用脑脊液(CSF)改道术(内镜下三脑室造口术或放置脑室-腹膜分流器)似乎是有用的,以方便随后的1至2周内进行的肿瘤切除手术。
4术前计划
在仔细评估脑干肿瘤的手术可切除性后,整个手术过程都是精心策划的。高质量的神经影像学检查提供了需要被治疗的病变的基本形态学特征。一旦有了这些细节信息,重要的是要按照与以后手术方式相反的顺序计划手术;首先,评估进入脑干的较佳手术入路,特别是对于非外生性病变且在脑干表面不容易看到的患者。其次是二步,即通过较合适的手术方法选择足够的脑干暴露。对于有外生性病变的患者,选择较佳手术入路更容易,因为病变及其扩展方向决定了较佳入路的选择。一旦决定了手术入路,就可在三步轻松计划患者的手术体位和皮肤切口。
注意确保患者和家属获得知情同意并充分理解手术的目的以及每种具体情况下肿瘤切除的可能性,可以顺利切除的肿瘤数量以及计划的手术治疗的风险。此外,需要详细解释预期的立即手术结局和术后辅助治疗的必要性。
5麻醉、术中指导和监测
术前需与麻醉师讨论计划手术程序的细节。重要的是要在手术过程中通过适当的患者体位来避免过度的静脉充血,恰当的麻醉有助于达到该目的。此外,麻醉师需准备应对相关事件,并在必要时采取适当措施。
在特定情况下,会使用神经导航系统进行术中指导,这对于识别肿瘤位置较为合适。此外,术中电生理监测是一种较为强大和必不可少的工具,用来在手术过程中例行监测运动、体感和听觉诱发电位。根据暴露于脑干的哪个区域,还应用了菱形窝和颅神经肌电图的定位。在以上三名患者中,术中还使用了术中核磁共振,这对于鉴定在手术期间不易识别的残留肿瘤部分有帮助。
6手术方法和手术体位的选择
手术方法应考虑到脑干肿瘤的较佳观察轨迹,如果可能的话,应沿与肿瘤纵轴相同的方向进行;手术期间应避免静脉充血;并且该方法应允许足够的骨窗暴露,而不会过度压迫或缩回周围的结构,例如颞叶或小脑。半坐位的手术体位有很多优点,适用于年轻患者。但在60岁以上的患者中,特别是当患者合并有脑积水时,半坐位可能会导致手术期间脑脊液的过度流失,因此应谨慎使用,或常规地将患者置于俯卧位。
参考文献:
Helmut Bertalanffy.Chapter 13 Adult Brainstem Gliomas.Surgery of the Brainstem.Thime.2020.
- 文章标题:这本国际神经外科医生经典著作,深入解读脑干胶质瘤何以他能做到顺利全切?
- 更新时间:2024-03-04 10:37:17
400-029-0925




