毛细胞型星形细胞瘤6大关键知识点
临床特征
毛细胞型星形细胞瘤(WHO 1级)是儿童较常见的胶质瘤,中位诊断年龄为8岁。其是局限性肿瘤,常发生在小脑,表现为占位效应、梗阻性脑积水和颅内压增高的症状和体征。其他常见部位包括视路和中线结构(例如,下丘脑、丘脑、脑干、脊髓)。
约25%的毛细胞型星形细胞瘤发生在20岁以后,大脑半球比小脑更多见。偶尔发生柔脑膜播散,较常与婴儿或下丘脑表现相关。
影像学检查
在MRI上,毛细胞型星形细胞瘤的T2加权像通常表现为高信号,T1信号多变。在颅后窝和大脑半球,大多数毛细胞型星形细胞瘤表现为界限清楚、扩张的肿块,包括强化的壁结节,周围有囊肿(图1)。脑干或视路肿瘤可能为实性或囊性,有不一的增强模式。周围无水肿或有轻微水肿。对于儿童颅后窝肿瘤,与肿瘤实性部分相关的T2高信号程度有助于区分毛细胞型星形细胞瘤与髓母细胞瘤。

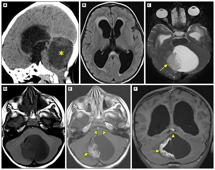
图1:一名5岁儿童患有毛细胞星形细胞瘤,因梗阻性脑积水就诊。矢状位平扫CT(A)显示大的低密度小脑肿块(*),该肿块压迫脑干并导致三脑室和侧脑室扩大。横轴FLAIR(B)MRI显示经室管膜水肿,提示急性脑积水。横轴T2-(C)、T1-(D)以及横轴(E)和冠状(F)平面中的对比后T1加权图像显示带有壁结节的囊性小脑肿块(箭头)。壁结节内以及囊肿壁的一部分(箭头)内存在增强。

图2:A.毛细胞型星形细胞瘤,T1对比后MRI图像。B.多形性黄色星形细胞瘤,T1对比后MRI图像。C.室管膜下巨细胞星形细胞瘤,T1增强MRI图像。D.神经节胶质瘤,T1对比后MRI图像。E.胚胎发育不良性神经上皮肿瘤,T2加权MRI图像。F.中枢神经细胞瘤,T1对比后MRI图像。G.脑室外神经细胞瘤,T1对比后MRI图像。
病理学和遗传学
毛细胞型星形细胞瘤通常具有双相表现,双较细胞和Rosenthal纤维的致密区与含少突胶质细胞样细胞的疏松黏液样区域交替出现(图2)。常见微囊性改变和钙化。一些具有间变的肿瘤现在被归为有毛细胞样特征的高级别星形细胞瘤。

图2:毛细胞星形细胞瘤的高倍视野。它们在显微镜下与纤维性星形细胞瘤的不同之处在于细胞间纤维基质很少。
大多数肿瘤都具有影响MAPK通路信号的基因改变。较常见的改变是BRAF-KIAA融合,约60%的肿瘤可见这种改变。其他改变包括NF1突变(NF1患者中主要是种系突变)、BRAF V600E点突变(5%-10%)、BRAF与KIAA以外的基因融合、FGFR1突变,以及NTRK基因融合。毛细胞型星形细胞瘤不存在IDH突变,且通常保留ATRX表达;ATRX缺失时应考虑有毛细胞样特征的高级别星形细胞瘤。
治疗策略
毛细胞型星形细胞瘤是局限性肿瘤,若完全切除,通常可治愈。不到5%的毛细胞型星形细胞瘤会发生恶变。
手术是儿童和成人肿瘤治疗的基石,可达到症状和肿瘤控制的目的。手术指征可能是癫痫发作、脑积水、颅内压升高和/或神经系统和神经认知缺陷。放射学证明肿瘤生长,即使无症状,也可被视为手术指征。

图示:2022 EANO/EURACAN/SNO指南:局限性星形胶质细胞瘤、胶质神经元肿瘤、神经元肿瘤咨询指南中总结了手术对毛细胞型星形细胞瘤的影像及放疗适应症
标准初始治疗方法是手术切除,目标是完全切除和缓解脑积水。进一步治疗需要根据肿瘤分子特征来确定。
•如果没有可靶向的分子突变,即使切除不完全,通常也仅在有肿瘤生长证据时才行放疗和化疗。对于无法手术的这类患者,可能在诊断时就需要放疗。手术切除后出现疾病进展时,也会使用放疗。采用放疗时,较常使用的方案是受累野分割放疗,总剂量54Gy。一项纳入16例复发性毛细胞型星形细胞瘤儿童的小型单组研究显示,贝伐珠单抗+伊立替康联合治疗的耐受性良好,有疗效证据。
•对于肿瘤有症状或复发/进展的BRAF V600E激活突变患者,BRAF+MEK控制剂已成为优于化疗的一线治疗,例如达拉非尼+曲美替尼,维莫非尼+考比替尼。达拉非尼+曲美替尼已获美国FDA批准用于这类患者,依据是一项在BRAF V600E突变型低级别胶质瘤患儿中比较达拉非尼+曲美替尼与化疗的随机Ⅱ期试验。
是否需要放疗?
放射治疗很少用于WHO 1级肿瘤患者,无论是局限性星形细胞胶质瘤还是胶质神经元和神经元肿瘤。
预后
毛细胞型星形细胞瘤的预后明显优于弥漫性星形细胞瘤和少突胶质细胞瘤。通过完全手术切除,其可治愈。即使是不完全肿瘤切除,通常也可延长生存期。例如,一项研究纳入了22年间在一家医疗机构接受治疗的361例儿科低级别胶质瘤患者,63%的患者存在毛细胞型星形细胞瘤。整项研究的10年和20年总生存率分别为87%和82%。然而,大量长期生存者出现了不良结局,例如,智力障碍、内分泌功能紊乱、听力损失和失明。所以不要拖,早期顺利治疗很重要!
INC国际教授经典毛细胞型星形细胞瘤案例
1、6岁男孩——脑干-延髓毛细胞星形细胞瘤
病情分析:偶然发现脑干占位性病变,一开始国内手术,考虑到手术风险,只切除了较小部分的肿瘤组织。复查核磁提示肿瘤进展,医生建议化疗。
治疗难点:所处位置在人体的“生命中枢”脑干-延髓之上,延髓控制着人体的吞咽、呼吸登基本功能,一旦等待肿瘤长大,占位效应会更加明显。手术的风险也较大,想要尽可能切除肿瘤又不伤及正常的脑组织,对于主刀医生的技术要求高。
手术结果:巴教授顺利近全切肿瘤,术后三天查房交流清晰、肢体抓握能力正常、术后食欲正常,术后两个多月,孩子正常回归学校。

- 文章标题:毛细胞型星形细胞瘤会恶化吗?生存期多久?复发率多少?
- 更新时间:2024-03-11 09:30:20
400-029-0925


