
INC国际神经外科医生集团旗下组织世界神经外科顾问团(WANG)成员、美国神经外科学院主席前主席、旧金山加利福尼亚大学(UCSF)神经外科系教授兼主席(1997-至今)Mitchel S.Berger教授发表研究...

脑干胶质瘤是绝症吗? 被确诊为脑干胶质瘤时,欧先生才39岁。他是一名好爸爸、也是一名好老公、更是自己人生的主导者。 他仍清楚地记得2024年9月,打羽毛球突然晕倒的他,查出来这个病。...

视路-下丘脑胶质瘤(OPHG),主要为低级别胶质瘤,以毛细胞星形细胞瘤为主,它们通常在儿童中更常见。虽然有些肿瘤仅影响视神经,但大多数肿瘤会浸润下丘脑、视交叉以及邻近结构。在过...

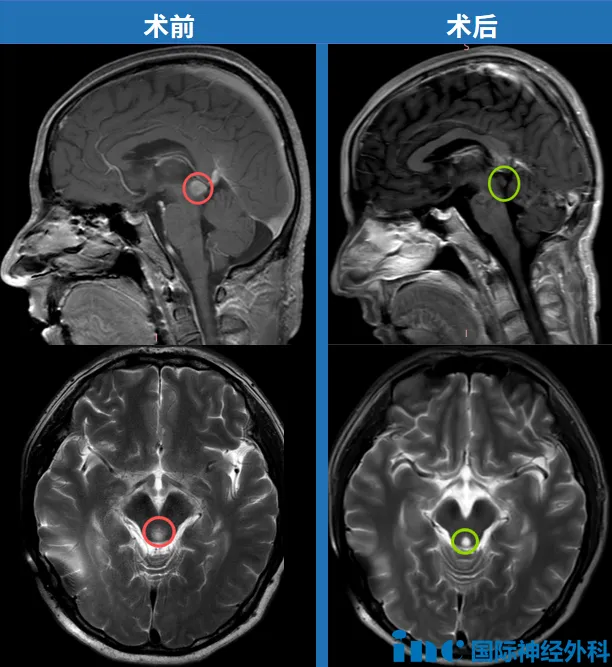
胶质瘤位置长得比较浅,是不是就意味着不严重? 对于确诊胶质瘤的患者而言,肿瘤的严重程度和手术难度并不仅仅取决于其深浅。一个普遍存在的疑问是:若肿瘤位置较浅,是否意味着风险...

脑干延髓,位于大脑核心区,其内含有呼吸、心跳、意识觉醒、吞咽等基本生命活动中枢,是维持生命关键的神经结构,含有全部的神经传导通路。 历年来,包括延髓在内的整个脑干区域一直...

低级别胶质瘤是中枢神经系统内胶质细胞癌性生长的亚型,其特点是生长缓慢且恶性程度相对较低。尽管其侵袭性较低,但这些肿瘤仍可通过压迫周围神经和血管结构而引起显著的神经系统症状...

手术后,我什么时候能恢复正常? 这是许多脑瘤患者及家属十分关心的问题。病来如山倒,病去如抽丝,我一做完手术就能好吗?相信患者在选择手术之前都会有这样的期待,但事实情况是无...

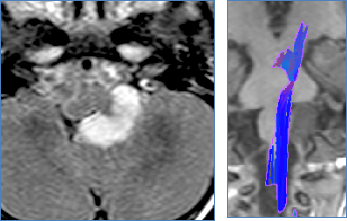
谁按下了快进键?让这个胶质瘤快速蔓延? 年过半百的李先生出现腿部发麻,腰痛,无法行走。经在当地医院检查后诊断为延髓肿瘤,医生认为这个位置手术风险太大,不建议手术。不到一个...

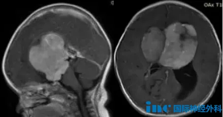
肿瘤位置太深、孩子年龄太小、脑瘤太大、手术风险很高,切除率不高不说,术后还很可能失明。小橘的母亲看着不远处熟睡的孩子,脑海中回想起医生的话,悲痛又一次席卷而来。她才刚出生...

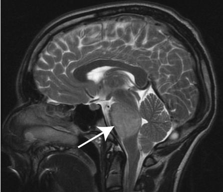
Q、DIPG究竟是什么? 脑干,由中脑、脑桥、延脑组成。脑干上的神经胶质细胞及神经纤维涵盖多种人体极为重要的神经核团与神经传导束,是人体的呼吸、循环、运动、意识功能的重要保证。...