神经,像一条条光纤,遍布人体的全身,它的存在让人有了肉体上的知觉,更支配着人的行为活动。而在复杂的神经系统中,从人体的脑底部到一腰椎,脊椎椎管内生长着一条长约41-45厘米长的脊髓,这根相对“粗壮”的中枢神经是大脑和全部周围神经的桥梁。如果它发生了病变会怎样?

“肿瘤位置太不同,无法手术切除”、“哪怕活检也可能致残”、“肿瘤不大,建议先观察”“手术术后可能会导致瘫痪”,脊髓作为连接大脑与周围神经系统的主要通路,密布31个脊髓神经节和来自脑干的四条运动神经束。而如果肿瘤生长在脊髓内,位置处于外科手术的“禁区”:所在区域部位深、被脊骨包围、暴露困难,脊髓是很娇嫩的组织,稍受挤压或碰撞,即可造成长期性的障碍,如果两侧的神经根如果出现破损,病人也可能出现瘫痪。手术后可能会瘫痪是每一个罹患脊髓髓内肿瘤患者心中较深处的恐惧。
国际颅底脑干手术教授巴特朗菲(Helmut Bertalanffy)教授作为国际神外教授,专研于疑难位置脑肿瘤,对于同样疑难的脊髓髓内肿瘤同样也擅长。早在青年时代,在正式开展脑干手术之前,巴教授做了很多脊髓髓内手术,习惯在高倍镜下柔软的脊髓内进行细致的显微手术操作。巴教授还是神经外科半椎板切除术的提出者。1992年,巴特朗菲教授提出了半椎板切除术、用于治疗脊柱髓内病变的一种技术方法,这是初期用于治疗脊柱髓外病变的一种技术方法。后为了尽可能地实现微创切除,巴特朗菲教授团队使用半椎板切除术来切除髓内海绵状血管瘤。对于脊髓髓内肿瘤,巴教授拥有着丰富的成功丰富手术经验,近年来也为不少中国脊髓髓内肿瘤患者成功手术,取得了良好的预后结果。

今日交流的是一例T6髓内海绵状血管瘤,在术中超声及神经电生理监测辅助下,巴教授通过后正中入路达到肿瘤全切,术后神经系统症状无明显加重,通过康复治疗后较术前好转。
▼术前术后MRI影像对比

术中超声及电生理辅助下经后正中入路
切除胸髓(T6)髓内海绵状血管瘤
患者情况
患者女性,20岁
主诉:间断腰痛1年余,伴双下肢乏力8月
现病史:20岁的田田是一名在校大学生,在一次参加完常规体育运动后自感后背轻微疼痛,两天后出现双下肢无力,检查诊断胸髓髓内出血性病变。后续病情进展很快,还出现小便困难,双下肢无力加重等症状。再次检查后确诊胸髓髓内6海绵状血管瘤,医生考虑血管瘤位置比较深,在腹侧,手术风险大,建议保守治疗。去年,田田出现右下肢麻木感,检查考虑二次出血。两天内症状急剧加重,双下肢运动功能丧失,大小便失禁。为了缓解田田的症状,医院随即进行下胸后路椎管扩大减压术,但是并未对血管瘤进行切除。看到女儿一次又一次病情加重而又无能为力,田田父母开始为女儿寻求更好的治疗……现患者双下肢无力,伴有右下肢小腿皮肤、脐部右侧皮肤浅感觉减退。患者小便控制力差,大便正常。
既往:2022-08-26上海某医院行T6-T12胸后路椎管扩大减压术,青霉素、阿奇霉素过敏。
查体:双上肢肌力V级,双下肢肌力III级,肌张力不高,右下肢小腿皮肤、脐部右侧皮肤浅感觉减退
辅助检查:胸髓MRI

咨询方案
诊断:胸髓(T6)内占位:海绵状血管瘤;椎管扩大减压术后
手术方案:
1、后正中入路胸髓(T6)髓内占位切除术
2、海绵状血管瘤偏腹侧,位置较深,脊髓表面病灶显现不明显,术中超声辅助定位
3、电生理监测(MEP+SEP)
INC巴教授手术纪实

取俯卧位,后正中原切口,连接电生理监测电较
▼取下部分T5、T6椎板

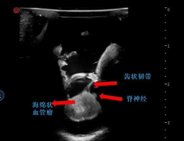
▼术中超声定位海绵状血管瘤(白色)

▼术中超声显示髓内海绵状血管瘤超出骨窗大小,向T7方向生长,继续磨除部分T7椎板,扩大暴露范围

▼沿后正中切开,即可见含铁血黄素沉积带及陈旧性血凝块

▼用细致的双较或者剥离子沿含铁血黄素沉积带,分离海绵状血管瘤并电凝切断供血分支血管

▼逐步显露血管瘤腹侧面

▼血管瘤完整取出

▼测量瘤腔大小,明确肿瘤全切

▼用Proline缝线间断缝合软脊膜,封闭瘤腔,水密缝合硬脊膜

预后结果
术后:术中MEP及SEP波形无明显改变,下肢肌力III+级,右下肢小腿皮肤、脐部右侧皮肤浅感觉减退较术前好转
康复:术后二天即进行床边双下肢及膀胱功能康复锻炼
术后情况:术后一天ICU查房田田意识清醒,交流正常。右腿伸直略微困难,脚趾活动正常。术后五天普通病房查房田田感觉很好,右腿活动正常,双腿肌力正常。术后两周情况目前田田术后两周,已经可以下床行走活动,术前的症状有所缓解。术后两个月情况田田正在稳定康复训练中。

术后两个月时,田田正在康复医院进行康复训练
INC巴特朗菲教授:脊髓髓内肿瘤手术策略
毫厘之间见分晓
(一)脊髓髓内肿瘤手术切除要点有哪些?
1、脊髓手术更需要轻柔仔细,首先主要是显微技术操作,其次要重视对组织的保护,手术较主要的目的是脊髓功能保护与恢复,在保护脊髓功能的前提下,顺利分离肿瘤-脊髓界面尽量全切肿瘤;
2、在切除肿瘤过程中尽量牵拉肿瘤壁而非脊髓来暴露界面和视野;
3、视野干净有利于保持分离界面清晰;
4、先采用超声刀进行肿瘤减压以便于牵拉肿瘤过程中不造成脊髓损伤;
5、术者不建议强行剥离室管膜瘤的囊壁,因为目前研究表明这些囊壁不含肿瘤细胞,但这一操作却会很有可能导致脊髓损伤!
2、髓内半椎板切除术的发明
髓内海绵状血管瘤具有类似于其他颅内海绵状血管畸形的出血风险,治疗时应完全切除髓内海绵状血管畸形,以避免残留物复发和再出血。选择微创方法(半椎板切除术),伴随术中超声检查,术中神经生理学监测和细致的显微外科技术,较大切除肿瘤的同时尽可能避免损伤脊柱功能和结构,术后疼痛较轻,患者可尽早进行康复训练,住院时间较短,术后脊柱不稳定性较椎板切除术减少。如今,半椎板切除术已广泛用于切除各种脊髓病变,包括髓内海绵状血管瘤。
半椎板切除术属于微创治疗,伴随术中超声检查,术中神经生理学监测和细致的显微外科技术,较大切除肿瘤的同时尽可能避免损伤脊柱功能和结构,术后疼痛较轻,患者可尽早进行康复训练,住院时间较短,术后脊柱不稳定性较椎板切除术减少。

半椎板切除术主要根据髓内海绵状血管瘤的定位选择患者位置,患者在俯卧位进行手术。医生在病变区域通过标准方法,即通过背根入口区或中线脊髓切开术接近深部病变。除了精确的定位和脊髓的较佳进入区域,解剖技术可能会影响髓内海绵状血管瘤的手术结果。手术过程中,使用双较钳和微型剪刀来断开引流血管是的重要。在确定手术平面后,应以锋利的解剖方式进行病灶切除,以避免损伤正常脊髓组织。

(A-C)3D-CT扫描显示位于C1-2水平的髓内CM的术后图像。(B)在术中脊髓表面观察到含铁血黄素染色。(C)完全切除髓内CM,显示髓鞘切开的程度。
巴特朗菲教授指出,显微镜可用来顺利地进行髓内手术切除,当创口较小化并且在精确的肿瘤位置进行切除时,这些损伤通常不会在切除期间出血。术中神经监测对神经外科医生有很大帮助,使其能够更精确地操作并且术后神经功能缺损的风险更低。由于髓内海绵状血管瘤通常位于脊髓的背面,因此,我们证明术中SSEP监测是监测此病手术中脊髓完整性的可靠手段。

(A-C)术中体感诱发电位(SSEP)监测。(A)右侧胫神经的术前SSEP表明术前振幅N40-P50为0.285μV。(B)在硬脑膜开放期间,该振幅上升至1.115μV。(C)在完全清除海绵状畸形后,电压为1.635μV,表明感觉诱发电位好转。
(参考文献:《Intramedullary cavernous malformations:Clinical features and surgical technique via hemilaminectomy》L.G.Biana,*,H.Bertalanffy b,Q.F.Suna,Jian-Kang Shena)
- 文章标题:只能等瘫痪了再手术吗?“天花板”级脊髓肿瘤手术多图详解
- 更新时间:2023-12-04 10:08:42
400-029-0925




