
与现代的细致化手术相比,60年前胶质母细胞瘤的神经外科手术与对良性脑肿瘤的细致解剖相比是粗糙的,因为它被认为是一种缓解颅内压、延长几个月寿命的姑息性手术,而病人却要死...

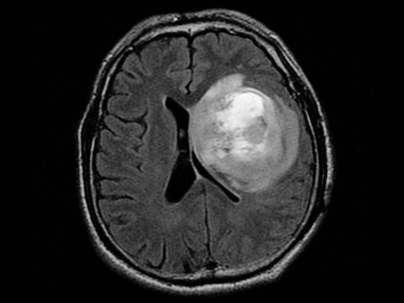
在大多数情况下,医生并不知道胶质母细胞瘤(GBM)的根本原因,对于其成因目前仍是未知的。胶质母细胞瘤的治疗具有挑战性,因为肿瘤以触手状扩散,难以全部切除。胶质母细...

不同分级的胶质瘤,⼿术方法有什么不同...

我们分析了7例经活检证实的多个多发性GBM,记录临床资料,影像学特征,组织病理学和免疫组化分析及随访情况...

RGNT是一种主要位于四脑室的少见肿瘤,2002年被Komori等人一次描述为一种新的肿瘤实体,主要影响年轻人(平均年龄33岁)。它通常表现为良性病变,有限扩展到周围结构,包括小脑蚓部...

胶质母细胞瘤的标准治疗包括手术和放疗,同时辅以化疗。尽管如此,预后仍然不容乐观,1年生存率为39%。如果患者身体不适或缺乏动力,或者肿瘤被认为不可切除,较初的神经肿瘤治...

GBM治疗较、较新进展综述...

胶质母细胞瘤为什么较易复发?手术切除后会怎样?这跟胶质母细胞瘤的性质相关...

胶质母细胞瘤属于高级别胶质瘤的一种,一般生长速度快,较易复发,预后较差。胶质母细胞瘤能活多久?INC巴特朗菲教授论文解析...

神经胶质瘤是指起源于中枢神经系统神经胶质细胞的全部形式的轴内肿瘤。它们是较常见的中枢神经系统肿瘤,约占全部恶性脑肿瘤的80%。历史上,它们包括具有相似组织学特征的细胞...