
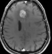
脑室内肿瘤很少见,仅占全部脑肿瘤的1-10%,包括各种良性肿瘤、恶性肿瘤和囊肿形成。发生在脑室的恶性脑胶质瘤能治好吗...

最近的一项随机对照试验显示,与未使用iMRI的手术相比,使用iMRI实现GTR的比例(96%,未使用5-ALA的68%)增加了,从而证实了iMRI在提高恶性胶质瘤手术切除范围方面的优势。值得注意的是,...

胶质母细胞瘤是成人中较常见和较恶性的原发性脑肿瘤,每位患者的生命损失超过20年。GTR的定义是在手术后72小时内,在增强的T1加权术后磁共振成像扫描上完全切除增强的肿瘤。然而...

多形性胶质母细胞瘤(GBM)是成人中常见的具侵袭性的原发性脑肿瘤。为巩固手术效果通常需要术后放化疗,恶性脑胶质瘤多长时间放化疗一个周期...

在理解成人干细胞生物学方面的进展促进了新的基于细胞的癌症治疗方法的发展...

Rutka教授表示,事实上,在国际神经外科医生的不懈努力之下,一种治疗恶性胶质瘤(GBM)的新型免疫治疗药物已经开发出来,其能借助身体固有的免疫系统来抵抗消灭这种较具攻击性和致...

胶质母细胞瘤病因有哪些?某些已存在的脑肿瘤可能会生长并发展成胶质母细胞瘤。某些已存在的脑肿瘤可能会生长并发展成胶质母细胞瘤。某些已存在的脑肿瘤可能会生长并发展成胶...

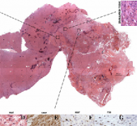
多形性胶质母细胞瘤激光间质热疗(LITT)的组织学发现,激光间质热疗(LITT)已被一些作者支持作为多形成性胶质母细胞瘤(GBM)的消融治疗。我们分析了一位接受LITT治疗的GBM患者的组织...

胶质母细胞瘤能活多久?几年过去了,癌症不再复发,我觉得自己很愚蠢,没有充分利用好自己作为一个年轻、健康的癌症幸存者的优势。那么,为什么会有人认为我是癌症幸存者呢?但...

胶质母细胞瘤二次开颅手术危险吗?一开始手术和/或之前的临床试验经验是决定患者是否愿意接受二次手术的主要因素因为这个手术是二次或三次手术,大概病人应该已经赢得了他/她的...