放射性脑损伤是指电离辐射后出现的脑部损伤,可以发生在电离辐射后的任何时间,以照射结束后6-47个月较为常见。从广义上来说,放射性脑损伤是放射治疗后神经细胞和颅内血管受损后出现的一系列病理生理改变,可有影像学可见的脑部病灶。
根据出现时间分为急性型、早迟发反应型、晚迟发反应型。
1.急性型:急性型放射性脑损伤常为急性放射综合征(acute radiation syndrome,ARS)中多器官损伤的一部分。症状常发生于放疗过程中或照射后数天至1个月,多数在照射初期表现为头痛、恶心、呕吐、记忆力减退等症状。严重者可迅速进展至意识障碍、定向障碍、共济失调,部分可在数日内出现昏迷并死亡。
2. 早迟发反应型:该型常发生于照射后1-6个月,表现为嗜睡、恶心、呕吐、易怒、记忆力减退等,也可表现为一过性的疲劳感或局部神经系统症状的恶化,可见嗜睡综合征、脑干脑炎、肿瘤假性进展等临床亚型。
3. 晚迟发反应型:该型出现于照射结束6个月后,是放射性脑损伤常见的临床类型,又称晚发性放射性脑损伤,常见于脑部照射剂量大于50Gy者。
根据影像学表现和特点,晚迟发反应型可分为无病灶期、水肿期、坏死期、囊变期,各期表现可能同时或先后出现在同一患者脑部的不同部位。
1.无病灶期:患者在影像学上无可见病灶,但具有脑损伤的临床表现,包括头痛、认知功能障碍、癫痫发作、神经功能障碍(如肢体麻木)等放疗后新发脑损伤症状。
2.水肿期:头颅影像学检查发现脑损伤病灶以脑白质水肿为主要特点,边界模糊。
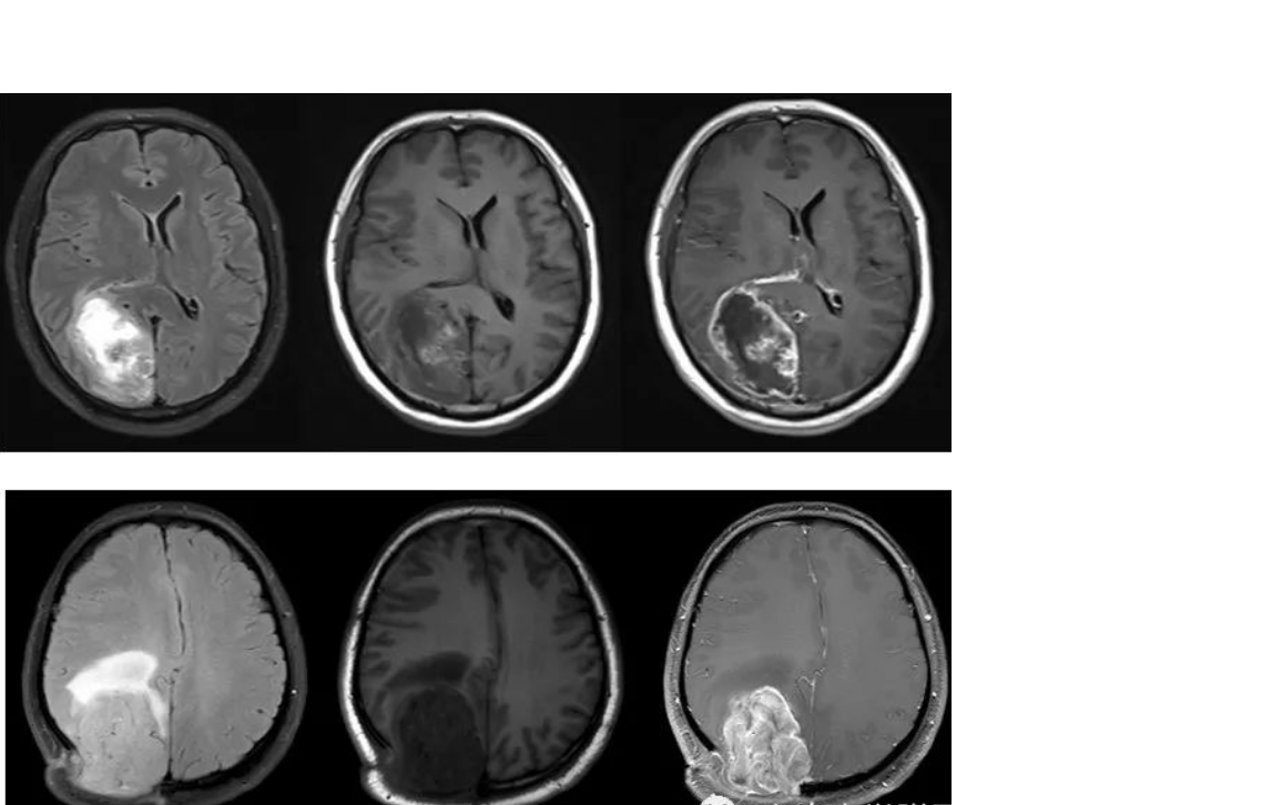
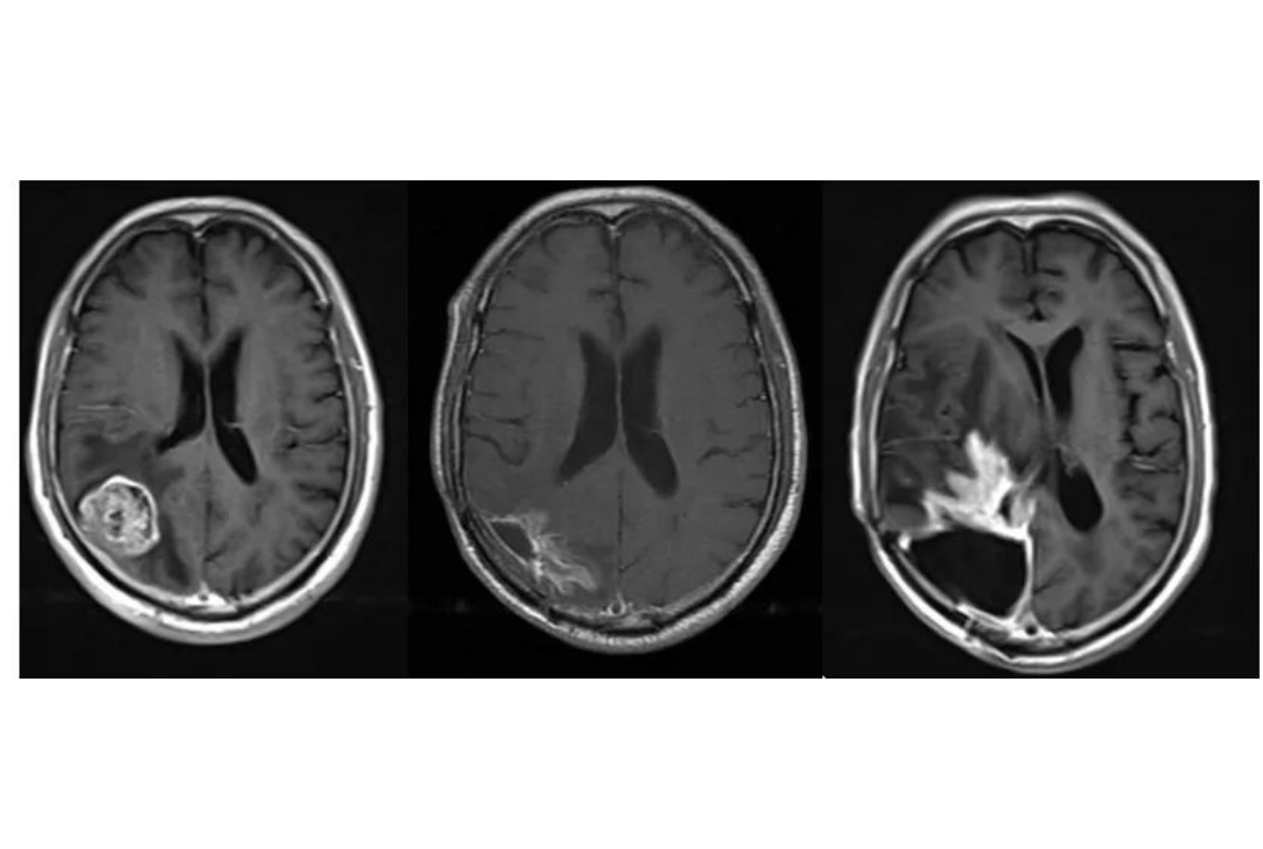
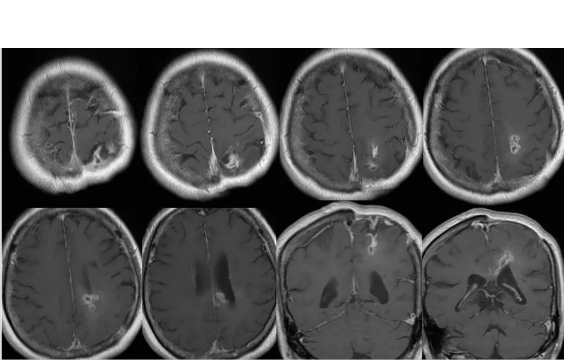
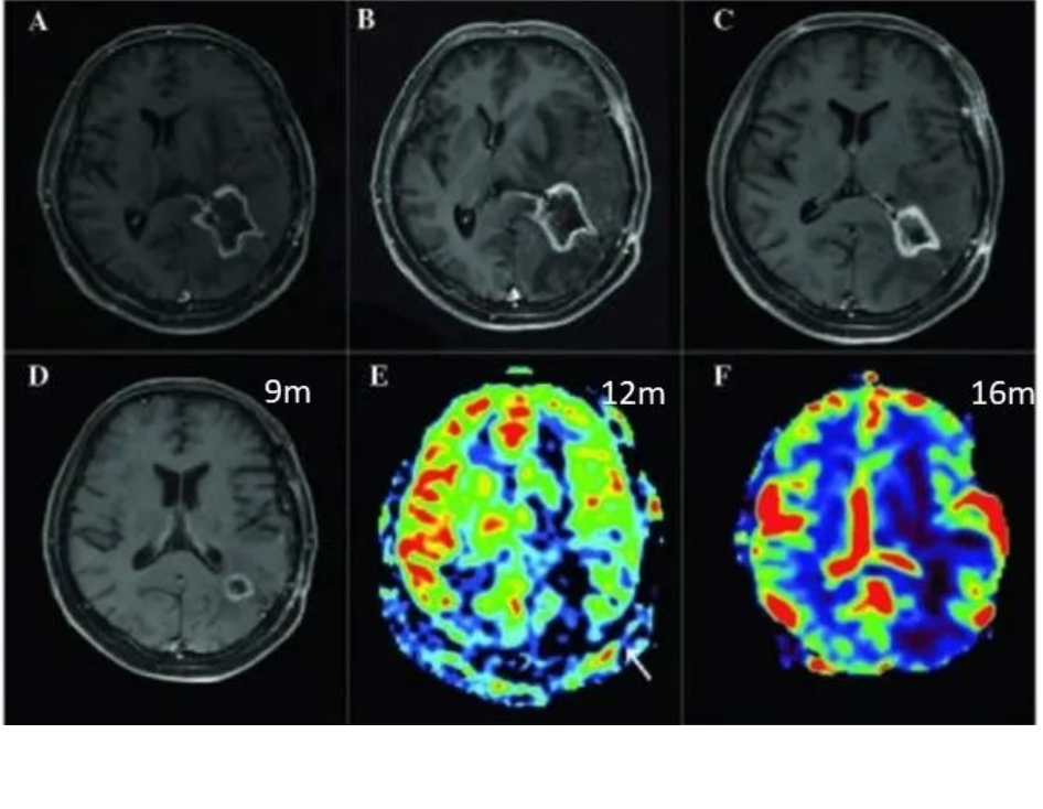
3.坏死期:脑组织病灶局部出现坏死,可伴有出血或渗血,头颅MRI显示信号不均,增强扫描可见强化。
4.囊变期:患者头颅MRI显示放射性脑损伤病灶边界清晰并囊性变,信号接近游离水信号,有或无占位效应。囊变期病灶可较长时间稳定,但也可能急性增大,引起脑疝,患者出现意识水平下降,昏迷甚至死亡。
放射性脑损伤早期的假性进展:一般好发于同步放化疗结束后3月内,由放化疗引起一种亚急性的疗效翻译,主要包括无菌性炎症反应、脑组织的术后改变、局部脑缺血以及放疗的亚急性损伤。晚期的放射性坏死,一般好发放化疗后3-12月或鼠年不等,是由放疗等造成的慢性疗效翻译,潜伏期长短及发生率与接收的放射剂量、次数及联合化疗有关。
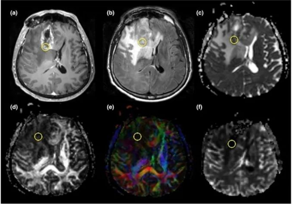
放射性脑损伤MR特点:
+在放疗辐射野内、不在肿瘤传播路径上的远处强化灶

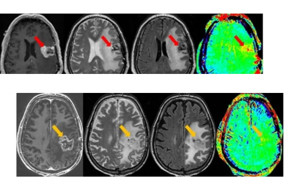
1.磁共振增强:放化疗后可导致血管内皮细胞损伤、坏死,造成血管内皮细胞紧密连接损害,BBB功能损害、通透性增强,在MR增强强化。MR增强上出现强化灶、新强化灶。类似肿瘤复发的影像学表现。胶质母细胞瘤放疗后,MR增强强化见于:70%:肿瘤复发、坏死(结节或多发强化区,术后3月后);30%:单侧放射性坏死(地图样强化)。



肿瘤复发:多发病灶沿白质纤维束播散、累及胼胝体

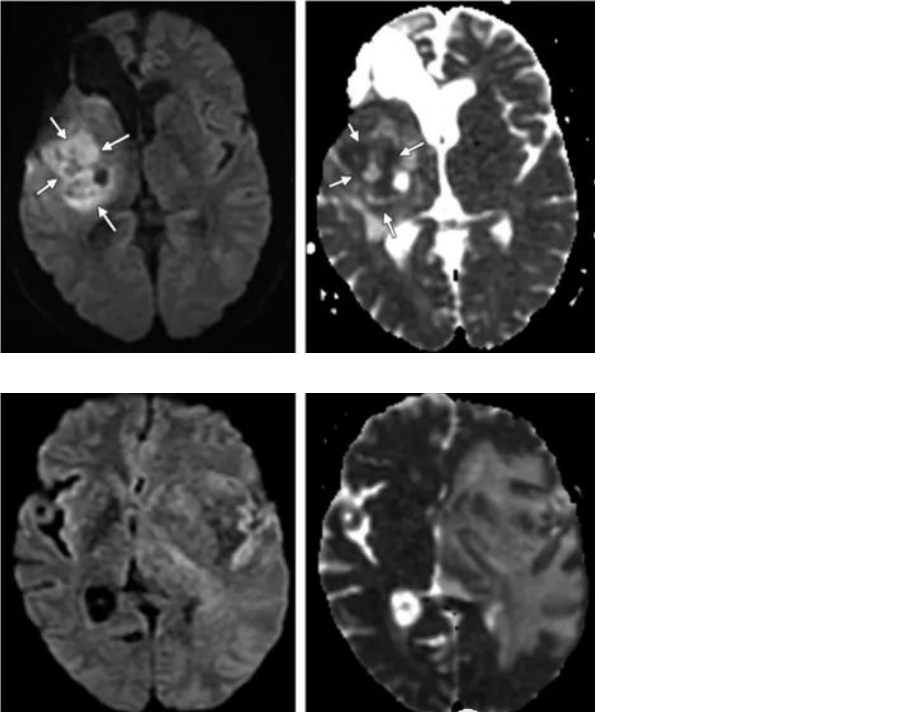
2.DWI弥散加权成像
+放射性脑损伤:细胞液化坏死,细胞外间隙水分子增多,弥散增加。

3.DTI弥散张量成像:白质纤维损害,FA值比正常脑白质低
放射性脑损伤:少没有正常的白质纤维,FA值比胶质瘤复发更低


4.PWI灌注加权成像:可定量普股不同的脑血流动力学变量,如相对脑血容量rCBV等,rCBV是新生血管生成的影像学标志物。术后胶质瘤复发ASL和DSC的rCBV明显高于放射性坏死灶。


5.MRS磁共振波谱

放射性坏死:细胞崩解、坏死,NAA封及Cho封均下降,Lip升高。



6.APT氨基质子转移成像
·真性进展细胞密度和细胞分裂活跃,细胞内游离蛋白质和肽类的含量增高,导致APT信号强度升高

总结
4.功能成像DWI/PWI/MRS可以多角度、多方面翻译组织功能及代谢,有助复发和治疗后改变鉴别

主要参考资料来源:
脑胶质瘤治疗指南(2018)
- 文章标题:MR图谱 | 放射性脑损伤vs胶质瘤复发
- 更新时间:2020-09-03 15:46:41
400-029-0925




