脑膜瘤是富血供肿瘤,血供可同时来自颅外和颅内循环系统。手术切除可能导致显着出血(平均200毫升–2.2升)。栓塞术被提出作为一种有效的术前辅助治疗手段,旨在降低手术难度并减少并发症。
术中早期离断肿瘤血供是手术的关键目标。凸面脑膜瘤的血供主要来自硬脑膜,而颅底脑膜瘤则具有位置深在、难以显露的供血血管。通常需在切除大部分病灶后才能辨识其主要供血血管蒂。栓塞术可通过预处理这些难及部位的血管蒂,从而辅助手术并减少术中失血。
由于颅底脑膜瘤血供系统的复杂性,神经外科医生必须深入理解颅底病变的供血血管分布区域,并充分评估颅底血管栓塞的结局,以判断该技术是否能真正使患者获益或可能增加总体风险。
脑膜瘤压迫脑干,血供丰富,INC福教授如何运用术前栓塞、一双“筷子”从鼻孔巧取肿瘤,不开颅,7天出院?
33岁的诺亚总感觉后脑勺隐隐作痛,检查发现颅底岩斜区竟然藏着一个29×39×38 mm大的脑膜瘤!这个“不速之客”挤压脑桥,但无继发性脑积水,仅仅普通头痛,让人防不胜防。

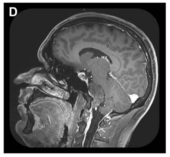
诺亚术前影像,左侧岩斜区脑膜瘤,呈不均匀强化。
MRI诺亚术前栓塞后3D-CISS序列多平面重建MRI,可见脑膜瘤与神经血管结构的复杂关系。


福教授选择经鼻内镜手术——兵分两路:先通过血管栓塞术切断肿瘤的"粮草供应",再采用先进的单鼻孔内镜技术精准切除。
由于已知该肿瘤的血供丰富,福教授在手术前进行了DSA检查,显示其供血动脉主要为咽升动脉及脑膜垂体干。为降低后组颅神经损伤风险,选用弹簧圈栓塞。栓塞可减少出血、软化肿瘤,便于切除。

诺亚术前栓塞咽升动脉及脑膜垂体干

矢状位MRI显示肿瘤经栓塞后血供部分阻断(部分去血管化)
最终,在INC福教授的定制化手术策略之下,从术前栓塞、入路考量到实施手术,无需开颅,仅右侧单鼻孔入路,一双“筷子”便成功全切肿瘤。脑干复位良好,未见脑嵴液漏及新发神经功能障碍,术后一天下地,术后一周顺利出院。关闭术腔时,以腹部脂肪填塞硬膜内腔及蝶窦,并缝合鼻黏膜,表面覆盖硅胶片保持湿润;硅胶支架留置4周后取出。

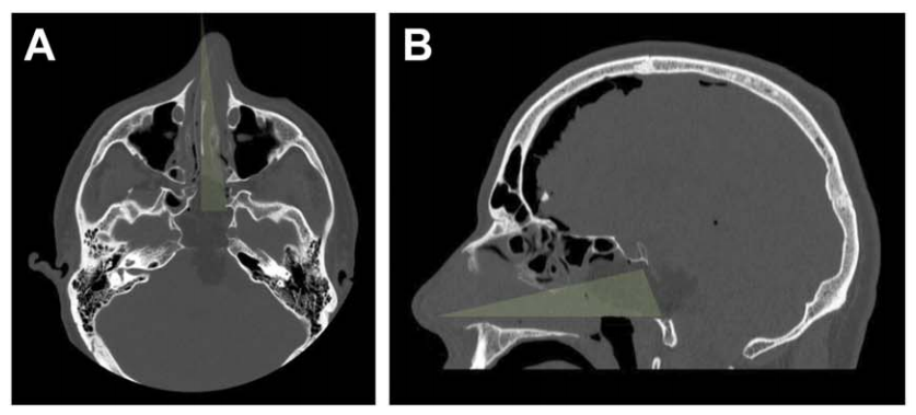
A、B:术后CT轴位及矢状位,绿色显示单鼻孔入路,鼻腔完整性得以保持;鼻中隔、上颌窦、后组筛窦及左侧蝶窦间隔均完整。

栓塞适应证
是否进行栓塞治疗主要取决于神经外科医生的个人倾向;但以下几项特征常与栓塞决策相关:脑膜瘤体积巨大、血供异常丰富、动脉供血来源术中难以显露以及主要血供来自颈外动脉。Latchaw总结了术前栓塞可能获益的情况:供血血管解剖困难、瘤周水肿导致手术层面不清、病变累及硬脑膜窦/头皮/颅骨、以及病变毗邻重要功能区。Waldron等则提出外周血管疾病和卒中史等会增加并发症风险的排除标准。
脑膜瘤血供系统
1、前中颅底
前颅底脑膜瘤的血供来源多样且复杂。筛前动脉和/或筛后动脉仅作为不到13%的颅底脑膜瘤主要供血动脉。嗅沟和蝶骨平台脑膜瘤的血供可来自硬脑膜支、穿骨支甚至软脑膜支。约17%的蝶骨嵴脑膜瘤由脑膜中动脉供血。前颅底肿瘤也可能接受眶上裂区域动脉供血,如脑膜中动脉前支、眼动脉和泪腺动脉的脑膜返支、颈内动脉脑膜支、脑膜垂体干幕缘支、下外侧干前支以及上颌内动脉终末支。这种侧支循环共存现象导致脑膜瘤常呈现高血供特征(图2)。

图示:一名67岁男性患者,确诊为大型右侧蝶骨嵴脑膜瘤,影像学显示肿瘤血供同时来源于颈内动脉(ICA)和颈外动脉(ECA)分支系统。
2、后颅底
岩斜区脑膜瘤起源于斜坡上2/3,其解剖位置导致手术切除难度大。来自手术入路对侧的供血动脉使得术中早期离断肿瘤血供极为困难。虽然这使得术前栓塞颇具吸引力,但颈内动脉与颈外动脉的双重供血会阻碍安全栓塞。颈内动脉发出的供血支纤细迂曲,常以锐角发自脑膜垂体干和下外侧干。栓塞术可能引起颅神经麻痹[8]和尿崩症等并发症。这些分支存在大量跨中线吻合通道,对侧颈内动脉造影可见明显肿瘤染色。颈外动脉供血支多来自脑膜中动脉、上颌内动脉和咽升动脉。安全栓塞通常难以实现完全性,因追求完全栓塞可能增加严重并发症风险。
枕骨大孔脑膜瘤位于斜坡下1/3前方。椎基底动脉系统及低位颅神经的受累增加了切除复杂度。硬脑膜血供来源错综复杂,包括椎动脉、咽升动脉、枕动脉、小脑后下动脉和嵴髓后动脉的脑膜支,这种特性使得术前栓塞在颅神经麻痹和非靶向栓塞方面风险显着。
颅底脑膜瘤的解剖和血供使术前栓塞成为切除肿瘤的一种有吸引力的辅助手段;然而,它们复杂多样的动脉供应使得安全栓塞在技术上具有挑战性。因此,彻底切除肿瘤的需要必须与更具侵略性方法的风险相平衡。
- 文章标题:颅底脑膜瘤血供丰富、手术风险高怎么办?术前栓塞与多技术融合保障手术安全
- 更新时间:2025-11-15 22:39:21
400-029-0925




