中枢神经细胞瘤(central neurocytoma, CN)较早在1982年被哈森和他的同事发现并命名。在较新的WHO分型中,CN被定为WHOII级的良性肿瘤。这类肿瘤相对少见,约占全部颅脑肿瘤的0.1%~0.5%。流行病学调查显示,该肿瘤发病年龄跨度从出生8天到67周岁,中位数为34岁;CN典型的发病部位是在脑室内,尤以侧脑室前半部分为主,主要发生于孟氏孔或透明隔附近,并逐渐向侧脑室或三脑室生长。
典型地,它们在生命的二个和四个十年之间被检测到,并且在两性之间平均分布。中枢神经细胞瘤的组织学检查显示均匀的圆形细胞、血管周围的假玫瑰花结和蜂窝状外观,因此表明它们倾向于模仿脑内胶质瘤的结构模式。
在CT和MRI上,中枢神经细胞瘤分别表现为高密度和高强度(中度增强)。这些肿瘤中坏死、囊肿和钙化的存在有时会导致不均匀的外观。鉴别诊断包括少突胶质细胞瘤、室管膜瘤和脉络丛乳头状瘤。
在大多数情况下,中枢神经细胞瘤生长缓慢,临床上表现为阻塞性脑积水引起的颅内压升高,导致头痛、恶心、呕吐、步态障碍和认知障碍等症状。手术切除仍然是优选的治疗方法,并定义了治愈(图138-7)。尽管如此,尽管中枢神经细胞瘤通常被认为是良性的,但据报道,随着残余肿瘤和大脑及脊柱播散的进展,恶性病程会导致不利的临床结果。如果不能实现全切,辅助疗法如放疗和化疗是可选的,但其益处仍有争议。据报道,这两种疗法都可以减少肿瘤体积。

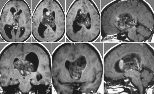
图138-7:一位有颅内压升高症状的26岁女性的术前轴向(A-C)、冠状面(D和E)和矢状面(F和G)磁共振图像。肿瘤(一个中枢神经细胞瘤)通过大脑半球间经胼胝体入路被完全切除。术后,缄默症被观察了几天,但在术后一周内完全消失。此后没有出现神经或认知缺陷。病人现在已经被连续监测了12年多,并且表现出了平安无事的过程、没有复发迹象。术者为巴特朗菲教授

案例报道原图
治疗要点:
中枢神经细胞瘤通常发生在年轻成人中,通过手术治疗有良好的疗效。为达到对肿瘤的合适控制和获得较好的生存率,术后应该酌情采取辅助放化疗法的措施。
手术切除治疗效果好,预后良好,可能长期生存,且生活质量较好;治疗优选手术全切除,肿瘤如果边界不清或肿瘤内有团块钙化的患者手术风险大,对于未能手术全切除肿瘤的患者,术后放疗可减少复发率。
据报道全切除后5年生存率为99%,部分切除加放射治疗5年生存率为90%;肿瘤复发率:全切除后为15%,部分切除加放射治疗为17%。
经治疗后多数患者可恢复生活自理甚至恢复工作,常见的残留症状包括:记忆力下降,反应迟钝,智力下降等,考虑主要因为手术中切开或损伤胼胝体所致。另外,肢体活动障碍及失语的患者,主要与手术中皮层损伤有关。残留症状中记忆力下降,智力减低等发生率较高。
放疗
因肿瘤对放疗敏感,术后患者应常规放疗,如X-刀直线加速器等。对手术未能全切除的患者应常规放疗,以减少肿瘤复发的可能,剂量为54~60Gy,而对手术全切除的患者,不需要放疗。对于术后肿瘤复发的患者可考虑立体定向放射外科治疗。
分流术
如果患者术后脑积水不能解除,应行侧脑室腹腔分流术。
应该注意到即使肿瘤术后脑积水解除,颅内高压缓解,但由于部分患者脑脊液通路粘连狭窄,蛛网膜颗粒吸收障碍及肿瘤复发等原因仍会产生脑积水、颅内压增高,使患者再次出现头痛、恶心呕吐等症状,或急骤颅内压增高危象,以至出现生命危险,此时可做分流术来缓解颅压增高。
参考资料:Helmut Bertalanffy,Ventricular Tumors
- 文章标题:脑瘤不治之症?中枢神经细胞瘤顺利全切,12年未复发
- 更新时间:2021-08-09 10:13:22
400-029-0925




