这场与脑瘤的比赛,儿子跑赢了!金女士看着眼前活蹦乱跳、肆意奔跑的儿子,心中充满感恩。 对着镜头,晓飞大方熟稔地向巴教授问好,他还告诉大家:我现在上二年级,期中考试拿了两张奖状,我现在也在努力学英语,长大要成为一个科学家。 或许在不久的将来,这位摆脱脑瘤阴霾的小科学家真的可...

这场与脑瘤的比赛,儿子“跑赢”了!金女士看着眼前活蹦乱跳、肆意奔跑的儿子,心中充满感恩。
对着镜头,晓飞大方熟稔地向巴教授问好,他还告诉大家:“我现在上二年级,期中考试拿了两张奖状,我现在也在努力学英语,长大要成为一个科学家。”
或许在不久的将来,这位摆脱脑瘤阴霾的“小科学家”真的可以实现自己如今的梦想,因为早在1年前,他就凭借着难得的勇气和乐观,战胜了一个“大魔王”。
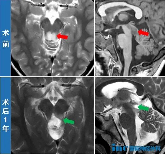
过去的一年,晓飞一家的心情宛如坐了一趟惊险的过山车——一开始只以为儿子得了一场小感冒,没想到感冒虽然好转,但影像上却显示出中脑背侧存在异常信号,疑似胶质瘤!金女士一家顿时陷入绝望,而且由于脑干位置特殊,儿子的手术风险太高,医生均建议保守观察。
然而,处在谷底的一家人却并没有就此放弃抵抗,金女士和丈夫始终在悬崖峭壁上搜寻可以借助的力量。幸好,一根藤蔓出现了,在咨询巴教授后,一家人终于决定拽住这来之不易的求生机会,必须带着晓飞拼命往上爬!
2024年底,寒冬降临,晓飞被推入手术室。在一片黑暗中,巴教授手中的手术刀正在慢慢划开一个口子,这是7岁男孩的生命出口。

“手术十分成功。”最终,好消息传来,金女士一家知道,她们正在脱离谷底,积极向上。术后2天,晓飞的各项功能均恢复,没有任何神经损伤,中脑顶盖的肿瘤也被成功切除,孩子已经可以下床走路。“孩子非常好,比我预想中的还要好!”巴教授连声称赞。

术后1年,巴教授表示:“看到男孩目前极佳的临床状况,真的令人欣喜。总而言之,这是一个非常令人满意的进展,我很高兴看到这名男孩处于如此好的情况。”
又一年寒冬,这一次,晓飞早已不用与脑瘤恶战,他如同换下一身沉重皮毛的松鼠,轻盈地在草地上奔跑。

- 文章标题:儿子感冒好转,家人却陷入绝望!1年后的他跑赢了脑瘤!
- 更新时间:2025-12-06 13:15:29
-
在往期文章中,我们已经讨论了孩子在开颅手术后需要及时补充营养以加快身体康复的一...
2025-09-02 13:42:23
-
近年来,清醒开颅术在癫痫和肿瘤手术中越来越常见。对于运动损伤较小、切除体积较大...
2021-04-29 19:21:51
-
颅内占位 性病变(ICSOL),由于病变发生在大脑,一般都是比较严重的,所以及早发现、及...
2020-04-24 20:20:58
-
日前很清楚原发性脑肿瘤发病率的增加与暴露于高剂量的电离辐射相关。在一项病例-对...
2021-03-05 11:32:17
-
很多脑瘤患者不知道如何判断自己的脑瘤到底是良性还是恶性,甚至误以为都是恶性。一...
2020-10-20 11:13:04
-
3岁,本该是抱着玩具玩耍的年纪,他们的头颅里却长出了巨大的肿瘤 这些小小的身躯,...
2025-06-13 13:44:32
-
INC实时报道 当脑肿瘤位置深在 是等待肿瘤长大、甚至恶化 OR 开颅手术,但面临偏瘫、昏...
2024-12-11 18:33:03
-
随着医学水平的不断进步,检测手段也越来越前沿,不管是儿童、成人,还是老人中,越...
2020-07-07 13:22:33
-
近日,一则新闻上了微博热搜:#2岁幼儿频繁呕吐查出右小脑布满肿瘤#一名2岁3个月的患...
2022-07-05 16:18:13
-
近年来,虽然人们生活越来越好,但与之相反的是,每年患 脑瘤 的人却越来越多。脑瘤...
2020-03-10 16:18:07
-
三脑室肿瘤手术难度高吗?进入侧脑室后,术者可以通过一系列的辅助策略进入三脑室因...
2021-02-24 16:10:29
-
如何合适护理脑瘤患者 脑瘤术后患者肺部护理的注意事项? 答:当患者咳嗽反射减弱造成...
2021-09-24 10:48:21
-
头部受伤,真的会直接导致脑瘤吗?答案通常是否定的。但一次意外,却可能成为发现隐...
2025-09-21 13:39:07
-
案例1:丘脑海绵状血管瘤伴严重耳鸣 从去年开始,我的左耳开始出现严重的耳鸣。我感...
2023-04-10 21:01:46
-
C女士,年龄36岁,是公司的一名高管,近1年前发现右侧身体麻木,就诊当地医院,经检...
2021-02-01 15:09:38
-
手术切除是良性脑瘤的主要治疗手段,当罹患良性脑瘤,应寻求适合的较佳手术入路,保...
2020-10-22 10:50:37
-
恶性脑瘤也有人会认为存活率和预后不好。但是,随着诊断和治疗技术的进步,恶性淋巴...
2020-06-30 13:57:16
-
体检需要检查大脑吗,我做CT这么频繁,会不会伤害身体啊 人们越来越重视健康体检。通...
2025-09-02 13:46:43
-
脑肿瘤头痛的病因是多因素的。在对接受开颅手术的患者进行的一系列经典实验中,雷和...
2021-08-04 10:38:36
-
手术前一天,巴教授都会对患者进行常规术前谈话,就手术方案、术前注意事项和患者进...
2023-04-13 21:20:46