喉咙发痒、声音沙哑,嗓子里像有东西黏着,想咳咳不出、想咽咽不下,总忍不住要清一清嗓子?
在流感多发的季节,这种情况确实不少见。但如果一直无法好转,甚至越来越重,就不能掉以轻心了。
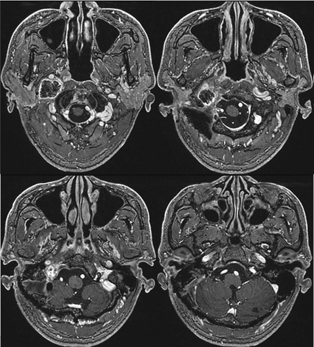
32岁的李先生,就是因为持续声音嘶哑,甚至喝水时容易呛到,一直不见好转才去医院检查。结果发现,他的脑子里长了一个3.7厘米的巨大肿瘤。不仅内部出现了囊性变,还直接压迫到了颈内静脉,并向颅底的颈静脉孔延伸。
术前MRI

考虑到肿瘤体积较大,且内部已出现囊性变化,医生团队认为,相比立体定向放疗,手术切除是更合适的选择。
手术的关键,在于精细分离肿瘤与周围重要的神经和血管——特别是后组颅神经和颈内动脉,必须避免损伤。
好消息是,手术过程顺利,肿瘤被完整切除,原先受压迫的颈内静脉也恢复了正常血流。患者术后颅神经功能保留良好,仅出现轻微暂时性不适,之后也完全恢复正常。复查磁共振显示肿瘤切除彻底,也没有出现新的神经功能问题。
术后MRI

该案例来自于INC国际神经外科医生集团的世界神经外科顾问团(WANG)成员Sebastien Froelich教授(塞巴斯蒂安·福洛里希,“福教授”)的相关研究。
为何这个位置的肿瘤总爱“攻击”喉咙?
声音嘶哑、呛咳、吞咽困难……在大脑颅底位置,有这样一个地方,它是神经外科颅底手术的巨大难题之一。颈静脉孔区,手术也难以到达。此孔道很难暴露是因为其位置深在且周围毗邻诸多结构,而且其大小和形态在不同颅骨的差异、在同一颅骨上两侧的不同、同一孔道颅内端与颅外端的不同,以及其形状不规则、行程曲折、由两块颅骨构成、有诸多的颅神经和静脉管腔穿行其间。
颈静脉孔主要通行三支重要的神经——司咽喉感觉与运动的舌咽神经(CN IX)、主管发声、心跳及内脏的迷走神经(CN X),以及控制耸肩、转头的副神经(CN XI),同时颅内血液也经由颈静脉球在此处汇入颈内静脉。因此,该区域若发生肿瘤,极易压迫这些紧密相邻的神经血管,从而引发声音嘶哑、饮水呛咳、吞咽困难和搏动性耳鸣等一系列复杂症状。


为什么颈静脉孔区的肿瘤会引起声音嘶哑?
简单来说,根本原因在于肿瘤压迫或侵犯了“喉返神经”,而这条神经正是控制我们发声的“总开关”。
迷走神经(CN X)恰好穿过颈静脉孔离开颅腔。这条神经功能非常重要,其中一条分支就是喉返神经,它负责支配我们喉部肌肉(特别是声带)的运动。
当颈静脉孔区长出肿瘤时:
1.空间被侵占:颈静脉孔是一个骨性孔道,空间非常有限。肿瘤生长会直接挤压这个孔道内的迷走神经。
2.向下蔓延:肿瘤继续向下生长,会直接侵犯到颅底下方的区域,那里正是迷走神经和喉返神经走行的路径。
3.神经功能受损:肿瘤的压迫会阻碍神经信号的正常传导。控制声带运动的指令无法顺利送达,导致一侧或双侧的声带肌肉无法正常活动(医学上称为“声带麻痹”)。
结果就是:当声带无法正常内收、外展或绷紧时,两侧声带就无法在发声时完全闭合,中间会留下缝隙。气流通过这个缝隙时产生的声音,就是我们所听到的嘶哑、无力、漏气的沙哑声。
因此,声音嘶哑虽然常见,但如果是持续不退、进行性加重的嘶哑,尤其是伴随吞咽困难、饮水呛咳、颈部肿块等症状时,一定要高度警惕,这可能是颈静脉孔区等深部肿瘤发出的早期信号,需要及时检查。
颈静脉孔区肿瘤,成功手术的他们
INC巴教授示范手术期间,也为多名颈静脉孔区肿瘤患者成功示范手术,以下是部分患者。
这是一名来自东南亚的颈静脉孔区神经鞘瘤患者。38岁男士Norodom,东南亚不远万里来华求医。2024年3月,Norodom意外查出颈静脉孔区神经鞘瘤,症状不断加重。频繁呛水,颈部右倾,右肩肌肉僵硬,持续右侧颈痛,只能右侧卧……在经过多方打听后,Norodom在家人的陪同下,专程坐飞机来到中国,慕名求医。然而,却被告知手术后可能出现并发症,包括声音变沙哑、吞咽困难和呛水等。如预期一般,示范手术非常成功。术后第1天ICU内查房,Norodom意识清醒,吞咽功能正常,肢体活动正常。

15岁的小凯,突然出现声音嘶哑,伴随而来的还有扁桃体发炎、耳朵刺痛和持续头痛。起初的药物治疗看似有效——头孢克洛、金喉剑喷雾、克拉霉素,强的松片……让症状略有缓解,但好转总是昙花一现。症状反复,让这个本该在教室朗朗诵读、与同学谈笑风生的少年,渐渐陷入了沉默……仅仅过去一个月,再次检查竟然发现一个潜伏在颈静脉孔区的神经鞘瘤正在悄然生长——这个控制发声、吞咽甚至听力的关键部位,正在被肿瘤无声地侵蚀。幸运的是,在巴教授中国行期间,在INC国际神经外科医生集团的协调下,小凯获得了示范手术的治疗机会。由巴教授主刀的手术顺利完成,肿瘤全切,无神经功能受损,术后恢复令人欣喜:
术后2个月:小凯发来视频,精神饱满地向巴教授问好:“今天正好是手术第60天,我感觉恢复得很好!”
术后6个月:影像评估显示肿瘤切除彻底,脑干、血管及颅底结构均保护完好,嗓音恢复显着。
术后1年:经巴教授建议由经耳鼻喉科专家评估和持续发声训练,术前声带问题得到极大改善,整体状况良好。

颈静脉孔区肿瘤手术是治疗的关键第一步,而如何在安全前提下彻底切除肿瘤更是重中之重,这直接关系肿瘤复发风险和患者的生存质量。首次手术时,脑内解剖结构清晰,医生能更准确区分肿瘤与正常组织,提高切除率并保护神经血管;但若因肿瘤残留或复发需二次手术,脑内粘连和瘢痕将使手术难度倍增。因此,“第一刀”至关重要。
- 文章标题:声音突然嘶哑?别总当成咽炎!医生紧急提醒:这个“头部”病因,可能致命!
- 更新时间:2025-11-20 23:47:03
400-029-0925




