
18岁,本该是人生中最奔放的年纪,我却被一场剧烈的头痛突袭。紧接着,身体左半侧像罢工了一样不听使唤,嘴角不自主地歪斜,连喝口水都会呛到。短短时间内,我从一个活蹦乱跳的女孩,变成了一个卧床不起的病人。这一切,究竟是怎么发生的?

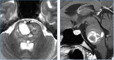
18岁的米拉,未曾想过一个脑干海绵状血管瘤破裂会让她如此危险。急性头痛、左侧轻偏瘫(2级)、面瘫、严重吞咽困难、卧床不起……

病灶位于桥脑位置,这一度被成为“手术禁区”的地方,巴教授已经进行了30多年的手术。正源于此,他们找到巴教授。教授成功为女孩实施了这场如履薄冰的精准“拆弹”,术后女孩情况好转,重获灿烂笑容。

术后的米拉,面瘫恢复,面露微笑。

出血是脑海绵状血管瘤(CCM)患者发病的主要原因,然而,该疾病中急性或慢性出血的分子和细胞事件尚不清楚。CCM是动态变化的病灶,可以形成、增大或表现出侵袭性行为,导致反复出血。出血性卒中是CCM患者残疾的重要原因,CCM的增大和出血可导致局灶性神经功能缺损、头痛、癫痫发作,偶尔甚至死亡。研究表明脑干海绵状血管瘤高于其他位置的血管瘤。
脑干海绵状血管瘤,不知道何时、何因被引爆,可能在运动中,可能在情绪起伏中、甚至熬夜劳累中,也可能没有任何征兆和诱因。走路、睡觉、运动等日常生活中或突然爆发出血,一旦脑干出血量大,很难抢救,轻则对运动、语言等功能造成不可逆损伤,重则直接离世。所以,脑海绵状血管瘤患者,特别是脑干海绵状血管瘤患者一旦多次出血后,不仅不断加重的症状折磨患者,而且每天都生活在担惊受怕中,寝食难安,甚至导致抑郁症,会严重影响到正常生活……
那么该怎么办?
一项荟萃分析,纳入81项研究,涉及4046名脑干海绵状血管瘤患者。年出血率为每患者年4.67%,每年再出血率为34.44%。诊断时,31%的患者出现运动障碍,51%出现颅神经麻痹,2.05%出现唿吸功能障碍。所有病例均进行了手术干预。手术是预防脑干海绵状血管瘤出血的主要途径。

桥脑海绵状血管瘤如何治疗?
巴教授天坛会议分享
2025年10月18日,INC巴特朗菲教授受邀出席“国家神经疾病医学中心(天坛)神经外科学术大会”暨“第三届天坛脑网络神经外科年会”——国际大师论坛。巴教授根据其与脑干携手近50年、深耕脑干手术30余年的经验,进行“How to improve the exposure and resection of intraaxial brainstem cavernous malformations using skull base techniques and other strategies”(脑干实质内海绵状血管畸形切除术的颅底技术进阶与策略优化)的专题演讲。
截至2025年,巴教授已为373名脑干海绵状血管瘤患者手术,其中包括216名女性患者,157名男性患者,年龄涵盖1岁至69岁。从手术部位来看,104例位于中脑,216例位于桥脑,53例位于延髓。
桥脑是脑干重要组成部分,是大脑下行神经纤维传导的通路,也是躯体感觉上行的传导通路。手术中一旦有失,极有可能伤及到神经功能。

桥脑海绵状血管瘤病变位置,血管病变不邻接桥脑表面,但它单侧移动周围的固有结构,包括外展神经和面神经。
1、如果损伤到展神经核,可能会出现斜视;
2、如果损伤到面神经核,可出现面瘫;
3、如果出现三叉神经核损害,可出现损伤侧面部感觉异常;
4、如果损伤到下行神经传导,患者可出现瘫痪、偏瘫等症状;
5、如果导致严重脑干损害,还可能会导致唿吸、心跳改变等。
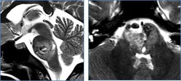
巴教授根据桥脑的解剖及病变的复杂关系总结了五大手术入路,包括:经髓帆入路、经桥脑臂入路、远外侧入路、小脑上外侧入路、颞下经天幕入路。具体的手术入路要根据每个患者的具体情况及主刀医生的医学知识及经验而具体制定。

远外侧入路示意图,脑干安全进入区:延髓脑桥沟区域

巴教授桥脑海绵状血管瘤案例

- 文章标题:我脑子里的“雷”突然爆了:才18岁,偏瘫、面瘫、吞咽困难,卧床不起…
- 更新时间:2025-11-08 12:31:09
400-029-0925




