INC国际神经外科医生集团旗下组织世界神经外科顾问团(WANG)成员、世界神经外科学院前院长William T.Couldwell教授发表研究《Sequelae and management of radiation vasculopathy in neurosurgical patients》,以下是研究简述。


放射性血管病是什么?
放射性血管病变的定义是血管组织在受到辐射照射后发生的复杂病理性重构。自放射性血管病变的首次描述以来,近期的研究进一步阐明了辐射对血管损伤的直接作用。头颈部放疗后可发生急性和慢性损伤,可能导致微血管血栓形成、急性血管破裂、中等动脉(>100微米)的加速性动脉粥样硬化病变,以及大动脉(>500微米)的滋养血管损伤和闭塞性血管病变。放射性血管病变包括颈动脉狭窄、颅内血管狭窄、血管炎和脑缺血。此外,还可观察到发育不良性血管重构,例如表现为跨硬脑膜血管吻合的烟雾病样模式,以及血管异常,如动脉瘤和海绵状血管畸形。辐射诱导的动脉瘤源于促进动脉瘤形成的内皮损伤,可表现出高破裂率和邻近血管狭窄。
可能导致哪些并发症?
微血管损伤还可导致迟发性认知功能障碍、颅神经损伤、耳毒性和内分泌病变。放疗后卒中样偏头痛发作(SMART)综合征是一种罕见且定义不清的疾病实体,表现为偏头痛样头痛、局灶性神经体征和持续数天至数周的癫痫发作,与血管反应性相关。尽管在现代治疗中血管破裂和其他急性损伤较为少见,但由于肿瘤整体治疗水平和患者生存期的提高,闭塞性血管病变在初次放疗数年后的发生率正在增加。
尽管放射性血管病变影响重大,但其常未被充分认识且管理不佳。据报道,头颈部放疗后20年时,显著颈动脉狭窄的发生率为18%–40%,脑卒中的发生率为12%–21%。更大规模的病例对照和队列研究表明,头颈部放疗后发生短暂性脑缺血发作和脑卒中的风险比至少增加一倍。
Haddy等人评估了4227名因儿童期癌症接受放疗并存活至少5年的患者。平均随访29年,共发现23例因脑血管疾病死亡的病例。尽管放疗剂量和治疗持续时间存在显著异质性,但桥前池放疗导致的损伤风险最高(接受>50 Gy治疗的患者与<0.1 Gy的患者相比,风险差异达17.8倍),并且剂量与脑血管原因死亡风险之间存在线性关系。其他风险因素包括儿童期接受放疗、遗传风险因素(如1型神经纤维瘤病)、联合化疗(如顺铂)以及放疗野涵盖床突上段颈动脉、Willis环或后颅窝。
案例分享
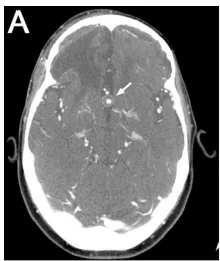
一名37岁男性患者,有右额叶星形细胞瘤病史,该肿瘤在其12岁时确诊,曾接受手术切除及全脑放疗治疗。患者另有药物难治性癫痫病史,曾使用奥卡西平、双丙戊酸钠、左乙拉西坦进行治疗,并植入迷走神经刺激器。在近期一次癫痫发作及创伤性脑损伤后,患者接受头颅CT及CT血管成像随访检查,结果显示其前交通动脉(ACoA)存在一直径5毫米的动脉瘤,伴部分血栓形成及钙化,该动脉瘤原大小为10.3毫米,同时发现右侧脑卒中旧灶(图1A)。

A:术前CT血管成像显示10.3毫米部分血栓形成的ACoA动脉瘤(箭头)。
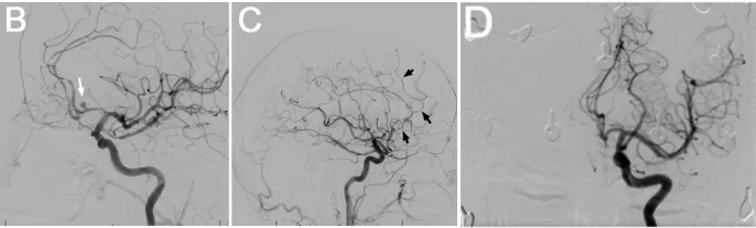
患者神志清醒,对答切题,但存在左侧轻偏瘫及共济失调。数字减影血管造影(DSA)显示,A1-A2复合体近端及前交通动脉瘤周围存在显著的放射性血管炎(图1B-D)。

B:DSA侧位像显示动脉瘤(箭头)。C:DSA侧位像显示放射性血管炎,表现为血管分支减少及多处血管狭窄(箭头)。D:DSA正位像显示2年前Wada试验时未见动脉瘤或血管炎性改变。
血管造影亦证实存在放射性血管炎。患者随后接受经右侧额部翼点入路开颅术行动脉瘤夹闭术,手术过程顺利。术后DSA显示动脉瘤闭塞有效,无并发症(图1E-G)。

术后脑灌注成像显示一处术前已知的陈旧性脑梗死区域(图1H-J)。患者术后接受随访监测,时长23.9个月。

鉴于患者有明确的放射性血管病变病史,决定采用手术方式治疗该动脉瘤。考虑到患者血管脆性较高,开颅夹闭术被认为是动脉瘤治疗的最佳选择。尽管也考虑了血管内治疗,但开放性血管治疗被认为能提供更长久的疗效,并降低动脉瘤再生的风险。
目前,专门针对放射性动脉瘤行开放手术与血管内治疗比较的支持证据有限。通常,关于自发性动脉瘤治疗的报告数据显示,根据动脉瘤的大小和位置,血管内治疗相较于开放手术具有更高的安全性。然而,血管内治疗对放射性动脉瘤的长期疗效仍有待探索。本例患者作为长期癌症幸存者,就诊时年纪较轻,预期寿命良好,因此有充分理由接受确切的动脉瘤治疗。
结论
放射性血管病变目前仍是一种认识不足且治疗管理欠佳的疾病。其病理特征复杂,在不同管径的血管中表现出不同的效应,且似乎模拟了加速进展的动脉粥样硬化过程。该血管病变的并发症表现异质性高,并可在初次放疗后延迟发生。目前针对动脉粥样硬化疾病的药物与手术管理进展可借鉴应用于放射性血管病变,但尚需进一步研究。对此类疾病,制定标准化的治疗方案、筛查策略及临床指南也至关重要。
- 文章标题:胶质瘤放疗后又查出动脉瘤,放射性血管病该如何治疗?
- 更新时间:2025-11-12 09:47:15
400-029-0925




