
同侧面部感觉障碍是三叉神经鞘瘤的常见症状,通常为麻木、疼痛,其他症状包括头痛、单侧面肌痉挛、听觉障碍、局灶性癫痫、偏瘫、步态异常、颅内压增高、耳咽管阻塞、耳痛、突...

三叉神经鞘瘤 发病率仅次于听神经瘤,是二位的颅内神经鞘瘤,占全部颅内肿瘤的0.07%~0.36%,占颅神经鞘瘤的0.8%~8%。患者一般中年起病,高峰年龄为40~50岁,较高发病年龄为38~40岁;女...

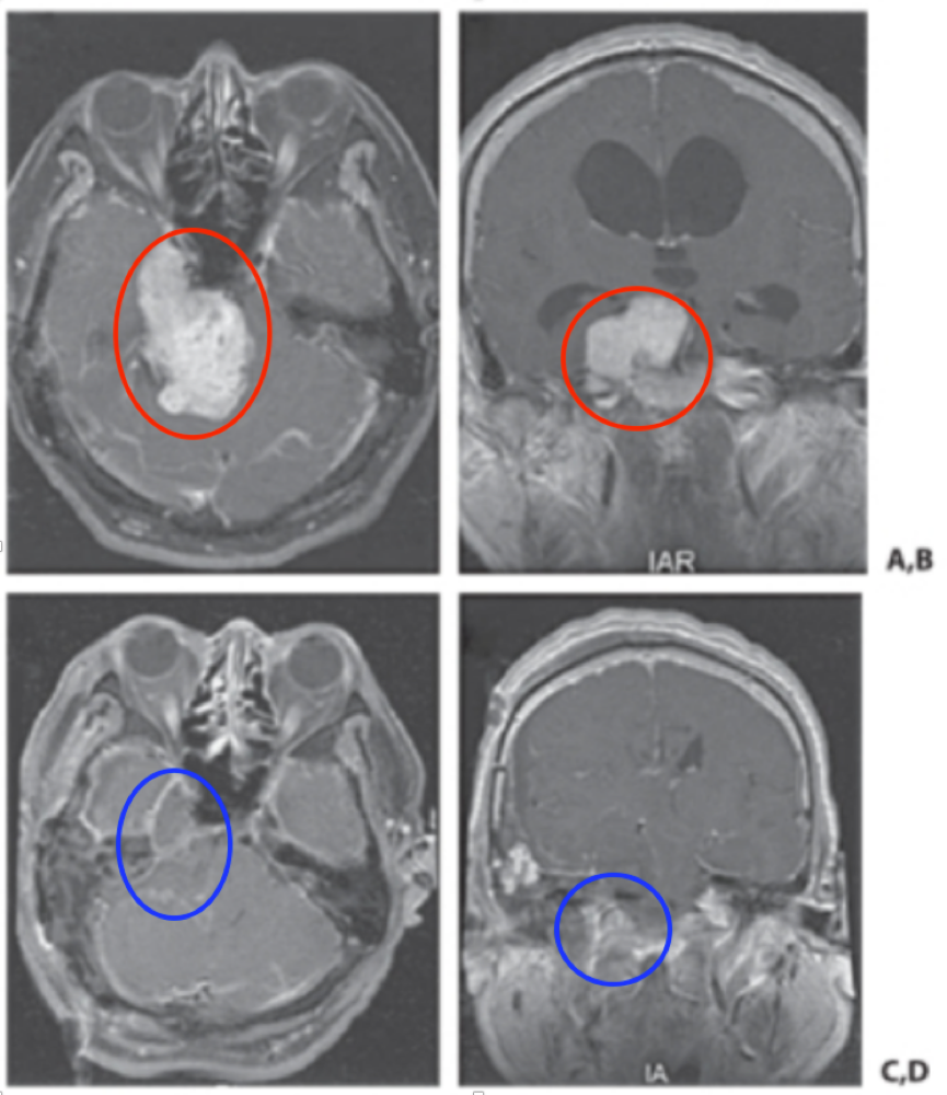
神经鞘瘤 是一种比较常见的良性颅底肿瘤,起源于沿小脑和脑干的脑神经鞘。较常见的是8脑神经前庭神经鞘瘤(又称听神经瘤)和5脑神经三叉神经鞘瘤。 (大脑共有12对脑神经,其...

三叉神经的良性神经鞘瘤仅占全部颅内肿瘤的0.2%至0.4%,主要发生于加塞氏神经节。恶性 三叉神经鞘瘤 更为少见。周围神经和颅神经的恶性神经鞘瘤常与1型神经纤维瘤病有关。然而,...

神经鞘瘤是起源于神经鞘的雪旺细胞的良性肿瘤。它们可以起源于任何外周神经、颅神经或自主神经。三叉神经鞘瘤少见,占全部颅内肿瘤的0.07-0.3%,占颅内神经鞘瘤的0.8%-5%。它们可能...

父母尽可能保护孩子的顺利 因此,当意外的 脑瘤 诊断出现时,想到自己可能已经把患脑瘤的风险传给了孩子,作为父母,都会感到害怕。对于上百万患有脑瘤的中国人来说,有一...

三叉神经鞘瘤是比较常见的非前庭神经鞘瘤,占颅内神经鞘瘤的1 ~ 8%,占颅内肿瘤的0.1 ~ 0.5%。常常发生在中年人身上,也可以发生在任何年龄,包括儿童。三叉神经鞘瘤可以发生在三叉...