脑海绵状血管瘤(CCHs)是良性血管病变,在全部个体中发病率为0.5%。虽然它们可以发生在神经系统的全部部分,但这些病变大多发生在大脑半球。大约50-80%的CCH人是无症状的,通常在磁共振成像中偶然发现。然而,临床上受影响的患者可能会出现头痛、癫痫发作、颅内出血或局灶性神经功能缺损。
一名49岁的女性被转介到医院作为一个大型无症状垂体大腺瘤的病例进行外科治疗。在多方位的临床评估中,患者报告称,在过去的2年中,她一直抱怨慢性双颞头痛、原因不明的易疲劳性和缓慢的进行性视力下降。她还报告说患有高血压,通过药物治疗可以得到充分控制。她报告没有任何外科手术史或任何家族性疾病。检查时,除了视力问题外,颅神经评估并不。详细的眼科检查显示双眼视力下降,更多在左侧,伴有双颞同向偏盲。内分泌评估和生化检查显示中枢性甲状腺功能减退,可通过左旋甲状腺素替代疗法进行治疗。大脑的计算机地形图成像显示一个稍高密度的大型鞍/鞍上肿块,向两侧海绵窦延伸,右侧鞍旁延伸。病变扩大了骨蝶鞍,伴有上斜坡的凹陷和重塑【图1】。

静脉注射造影剂的鞍区磁共振成像显示鞍区/鞍上/鞍旁较大肿块,T1图像呈不均匀低信号,T2图像呈中等高信号,DWI图像呈中央小面积扩散限制,增强后呈轻度斑片状强化。它的前后、头尾部和横向尺寸分别约为36x41x50 mm。病变完全包裹右侧颈内动脉海绵窦段和床突段,部分包裹右侧床突上段和左侧海绵窦段。病变还对邻近的结构产生肿块效应,表现为肿瘤隆起和三脑室底,视神经和视交叉的颅内段被拉伸并与病变分离。垂体和垂体柄看不见【图2】。

图2:术前核磁共振图像。(a)冠状面T1,(b)矢状面T1,(c)冠状面T2,(d)冠状面后对比,(e)矢状面后对比,(f)病变的轴位DWI图像显示不均匀的低T1信号、中高T2信号、斑片状后对比增强,中央区域扩散受限。
在头颈外科医生的配合下,采用内窥镜下经鼻蝶(EET)入路接近病变。在鞍底开放过程中,遇到一个暗红色的坚硬病变,似乎是血管性的。在试图切除病灶时遇到了过度出血。术中冰冻切片活检证实了病变的血管性质,排除了垂体病变。考虑到病变的未知性质、高血管性和出血倾向,决定对病变进行次全切除术,目的是减少肿块效应,而不会出现并发症。特别注意获得完全止血。随后的组织病理学检查证实了CCH的诊断【图3】。

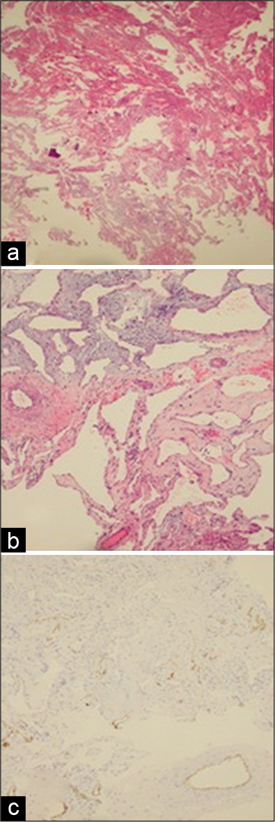
图3:组织病理学切片图像。(a和b)来自标本的切片显示肿瘤由多个大血管通道组成,这些通道由内皮细胞排列,并被疏松的纤维组织和局部淋巴细胞浸润分开。它们中的大多数在腔内含有红细胞。很少有纤维化和局部螺纹化的区域被注意到。未见垂体组织。检查的活检材料中没有恶性肿瘤的证据。(c) CD34免疫组织化学染色,突出小毛细血管。
术后期间的临床再评估显示患者的视力和视野有明显好转。随访MRI显示视交叉和神经充分减压,尽管鞍内有大的残余病变[图4]。

图4:术后核磁共振图像。(a)矢状位对比前图像和(b)对比后T1加权图像,显示尽管存在较大残留鞍区海绵状血管瘤,但术后即刻的磁共振图像显示视神经充分减压
患者接受了二阶段手术,以获得更完全的切除,但她对视力的好转感到满意,并拒绝了。该病例在多学科小组会议上得到完全讨论,患者被转介进行立体定向放射外科手术。在6个月后的随访中,患者仍保持临床好转。
- 文章标题:术前检查垂体瘤,术中病理结果竟是颅内海绵状血管瘤!
- 更新时间:2021-09-24 11:19:34
400-029-0925




