正在和朋友玩耍的小琪突然四肢紧绷、双眼上翻,全身肌肉剧烈抽搐。这半年来已经数不清有多少次癫痫发作了。而折磨小琪的元凶,竟是一个深藏在她大脑左额叶、直径达5厘米的巨大海绵状血管瘤!
01、活泼童年的阴影从头痛到癫痫的恶化
小琪的异常要从半年前说起。起初只是偶尔喊头痛,母亲以为是孩子学习太累,没太在意。后来,头痛越来越频繁,甚至出现了更可怕的症状——突然间意识丧失、四肢僵硬、剧烈抽搐。
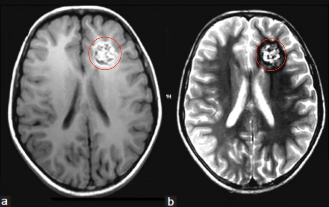
CT检查显示在小琪左侧额叶深部有一个钙化灶,头颅MRI脑T1、T2、FLAIR像显示左额叶深部异质性病变[图2a和b]。根据这些发现,诊断海绵状血管瘤伴顽固性癫痫发作。

更令人吃惊的是,这个血管瘤大小约5×4cm,相当于在孩子脑子里塞了一颗乒乓球大小的异物。
医生告诉小琪父母海绵状血管瘤虽然不是恶性肿瘤,但这个位置和大小太危险了。它就像一个布满破洞的血管团,反复出血刺激周围脑组织,也正是这个原因导致小琪频繁癫痫发作。如果不及时处理,一旦发生大出血,可能直接压迫运动中枢,导致偏瘫甚至危及生命。
02、手术难题:在“功能区”边缘的精细博弈
确诊后,治疗方案的选择成了难题。如果病灶位置较好,最好将病灶完全切除。据报道,病灶切除术后癫痫发作预后良好,大部分病例癫痫控制改善。但小琪的情况让这个手术的难度远超想象:
巨大尺寸:5cm的脑海绵状血管瘤在儿童颅内堪称“巨大”,意味着手术操作空间狭小,视野深,难度倍增。
位置深邃:它位于左侧额叶深部,周围毗邻着管理运动、语言等关键功能的神经纤维束。手术犹如在雷区排雷,任何一丝偏差都可能造成不可逆的神经功能损伤,导致偏瘫、失语等严重后果。

技术要求:为防止癫痫复发,手术不仅要切除血管瘤本身,还必须彻底清除周围被血液产物侵蚀的“胶质增生”组织(癫痫灶)。这要求医生在保护正常脑组织和彻底切除病灶之间,找到那个完美的平衡点。
最后经过周密的术前计划,小琪被推进了手术室,全身麻醉后行左额部开颅术,止血、剥离、切除……整个过程就像在进行一场精密的显微雕刻。最终这个5×4cm的病变连同周围的胶质组织被完整取出,手术顺利结束。
03、术后9个月:癫痫消失,女孩重拾活力
让人欣慰的是,从术后到现在9个月的随访中,小琪再也没有出现过癫痫发作。最近一次复查MRI显示,病灶切除彻底,没有复发迹象。
如今的小琪,又变回了那个蹦蹦跳跳的小姑娘。看着孩子在公园里追逐蝴蝶的身影,谁能想到她曾与“脑中炸弹”苦苦抗争。
小琪的经历是一场惊险的遭遇战,对于儿童顽固性癫痫或长期头痛,千万不可掉以轻心,应及时进行深入的影像学检查,明确病因。一旦确诊为海绵状血管瘤等致病性病灶,精准的显微外科手术往往是解除危机、让孩子重获健康童年的最有效手段。
*该文案例来自巴教授演讲分享
- 文章标题:头痛抽搐半年,9岁孩子脑中竟取出5厘米巨大脑瘤!
- 更新时间:2025-08-23 12:19:29
400-029-0925




