“手术后这段时间用脚几乎将半个城市丈量了一遍,留下了太多的值得回味的事。城市虽小交通特别方便,地铁线路四通八达,买一张往返地铁票,可以在一天里,坐任意线路车,进站也没有检票口,也没有高楼大厦,散步公园随处可见,绿树成荫,这里的人喜欢把自家的小院都打扮的漂漂亮亮,生活比较慵懒,喜欢拖延,你急他不急。”——来自一位鼻咽癌患者社交平台
年至花甲的李先生并没有因为癌症而身体虚弱、瘦骨嶙峋。术后的他,积极乐观、热爱旅游,用心感受这个世界的美好。回想起治疗之旅,他这样描述道:“我以为我的病无路可走的时候,我选择了巴特朗菲教授。我为自己的选择感到骄傲!”
颅底4cm巨大占位,疑似脊索瘤,但无法确诊、且手术风险大,在近乎绝望时,巴特朗菲教授为他带来了不一样的评估:“这不是脊索瘤,我可以为你手术!”这场惊险的颅底手术后,病理报告让所有人震惊——竟是鼻咽癌!成功术后不到两周开启旅行计划,用脚步丈量人生的美好。
年过半百的李先生因头痛1年、右眼复视1周伴胀痛入院就诊。本以为只是年纪大了从而身体不好,却怎么也没想到折磨了自己1年的头痛竟是脑瘤引起的。医院给出了诊断结果:枕骨斜坡肿瘤性病变累及右侧视神经孔区域,约4cm肿块大小,考虑脊索瘤可能性大,手术难度很大,先保守观察。“疑似、可能性大”,这让对于这疾病一点也不了解的李先生更加崩溃,无奈出院。

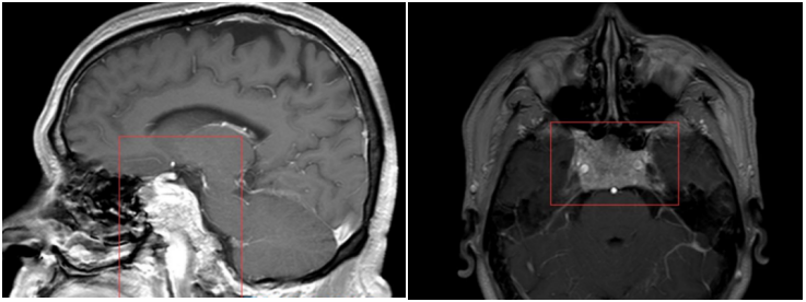
图1:术前MRI斜坡区占位,包绕颈内动脉大动脉及视神经,并压迫脑干
李先生并没有因此死心。“确定是脊索瘤吗?”带着这个疑惑,李先生四处求医,然而还是那句话,难以确诊、疑似脊索瘤。建议经鼻腔入路取一些病理组织出来做个活检。由于肿瘤位置的复杂深入,手术风险较大。综合意见,最终还是让观望一下,不要急于采取行动。这让李先生难以接受……
斜坡区肿瘤为何难以手术?

斜坡区手术因其复杂的解剖位置和毗邻关键神经血管结构而被认为神经外科领域极具挑战性的高难度手术。该区域深居颅底中央,前方紧邻鼻咽部,后方为脑干腹侧,两侧毗邻颈内动脉、基底动脉、颅神经(如动眼神经、外展神经)及海绵窦等重要结构,手术路径需穿越密集的颅骨(如蝶窦、岩骨)或脑组织。
术野狭窄、操作空间受限,因而既要切除肿瘤,又要最大限度地避免损伤脑干、颅神经、重要血管等临近的脑重要结构。术中神经导航、神经电生理监测及内镜/显微镜双镜联合等技术虽能提升安全性,但仍对术者的解剖知识、显微操作技巧及团队配合提出极高要求。
李先生的肿瘤位于上斜坡并占据全部中斜坡区域,将中脑、脑桥向后压迫,向外侧延展累及双侧颈动脉,手术难度非常大。
巴教授:不是脊索瘤,我可以为他手术
不敢活检、无法确诊,就意味着无法进行下一步的精准治疗。但是肿瘤不会停止生长,严重的头痛也没有停止折磨他。本以为无路可走的李先生在与病友的一次交谈中了解到德国巴特朗菲教授十分擅长复杂位置的脑瘤。了解到这些,李先生决定远程咨询这位脑瘤手术大师,以明确诊断、确定下一步的治疗方案。

巴特朗菲教授的评估恰好相反:患者的影像并不是脊索瘤的典型表现,我们可以为他进行手术,能够达到一个很高的切除率且没有手术风险。手术不是唯一治疗计划,我们会帮助他制定处理这个肿瘤的计划,可以极大限度提高生存期和术后的生活质量。具体的治疗计划及手术情况巴教授都做了详细的介绍,这样的回复让李先生再次坚定了手术的信心。
高危肿瘤顺利切除,结果不是脊索瘤,而是鼻咽癌
没有剃全头,手术前,巴特朗菲教授使用专门的术前规划系统规划手术路径和方案,寻找合适的手术入路和切除方案。巴教授最终为其进行了经鼻-旁中隔及经蝶肿瘤切除术,手术非常顺利,切除率很高。
术后李先生被转入ICU进行神经监测并在当天即拔除气管插管,完全自主呼吸,当即未发现任何新的神经性缺损。
术后第2天,李先生出ICU,被转入普通病房。主刀巴特朗菲教授来查房,告知手术很成功,同时解释了切除率以及术中所见及下一步的安排等问题,同时告知初步活检结果为鼻咽癌WHO 3 型。残留的一点肿瘤主要是包裹着大动脉,为了保证安全,没有冒险切除,同时用脂肪做了一些填充。

术后36小时,李先生就已经能够在康复人员的搀扶下走路了。其实术后24小时就已经具备下地行走的能力了,但是考虑还有些术后鼻腔渗血,所以医院的康复人员建议,先不要走动。
术后第四天,确认无新发术后神经损伤之后移除鼻腔填塞物(鼻腔填塞对于支撑复查的颅底重建异常重要),无术后脑脊液泄漏和出血,无术后尿崩症。
术后不到一周,李先生已经跟正常人一样交流、走路和活动,术后不到两周已经开始到处旅游了,就像做了一个小手术。
出院时神经学查体:神志清醒、无颅神经损伤、无视野损伤。并没有出现偏瘫、失语、昏迷等严重的神经和功能损伤危害,鼻腔、蝶窦结构也完整保留。
关于患者的术后康复及治疗,由于病理结果为鼻咽癌,术后建议同步放化疗。同时在放化疗后立即复查MRI,接着在术后的3个月进行影像随访。如果条件允许,术后可进行质子治疗,将更加安全精准。

400-029-0925




