
2025年8月12日,这一天将永远铭刻在这对父母的记忆中。在北京天坛医院神经外科的手术台上,躺着他们年仅19岁的儿子,飞宇。他们从未想过,自己的宝贝儿子,会迎来如此严峻的考验——一颗深埋在大脑核心区域的三脑室巨大肿瘤,血供丰富、质地坚韧,与三脑室壁、丘脑、深部血管紧密粘连,手术异常艰难。这一次,由INC巴教授主刀,携手北京天坛医院,历经精密操作,最终实现了高难脑瘤的“安全全切”。
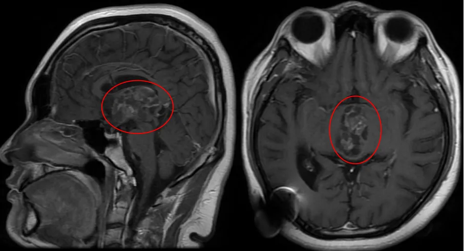
术前MRI

从发现脑肿瘤并选择保守观察起,整整5年间,症状变化、担忧反复煎熬,甚至尝试中医治疗,每一步都走得不易……直到今年8月巴教授来华时,他们终于果断做出手术决定——而这个关乎生命的选择,仅用了十来天。
其实背后,是一段跨越5年的信任之路,“如果手术,一定要找巴教授”,这个早已扎根心底的信念,庆幸迎来了期盼的结果。
这条路,他们走得也许慢了一些,但信念从未动摇——始终为孩子争取更好的治疗。
回顾这段治疗历程,飞宇的母亲感慨道:“别拖延。我们家就是因为拖了5年,肿瘤长大了,孩子也多受了罪。肿瘤越小做手术,预后越好,真的不能抱有侥幸心理。”
飞宇摆脱脑瘤困扰第7天。这位19岁、高高壮壮的大男孩,此刻正安静地坐在母亲身旁。当他说了一句“有点热”的时候,母亲立刻仔细检查有没有出汗,神情瞬间写满紧张——无论孩子长到多大,永远都是父母心头最深的牵挂。
查出脑瘤
该立即手术,还是保守观察?
这几乎是每一位患者和家庭都必须面对的艰难抉择。原因复杂多样:有人因手术风险过高而却步,有人因暂时没有明显症状而选择侥幸等待,更有许多父母不忍心让年幼的孩子承受开颅之痛,总想等孩子再长大一些。

确实,年幼的孩子进行开颅手术风险较大。但等待的过程中,孩子长大了,肿瘤可能也会继续生长。到底是尽早手术与脑瘤早早决断,还是面对肿瘤发展的未知后果?
当飞宇被确诊为松果体区肿瘤并继发脑积水,“我们心里都慌得站不住了。一开始没敢直接告诉他,全家人都特别紧张,连夜就赶到北京。”在父母的陪伴下,飞宇紧急完成脑室腹腔分流术后,症状暂时缓解。
孩子还这么小,做开颅手术风险会不会太大了?
尽管飞宇已经14岁,可在父母心里,他始终是那个需要被呵护的小男孩。
“因为孩子年纪太小,我们也有顾虑,没敢马上做手术。”其实,他们早已了解到巴教授,却因孩子年龄太小迟迟未决。“如果手术,一定要找巴教授”——这个念头一直深植心底,但他们总盼望着那一天晚一点到来。
5年间,等待手术的时间里,飞宇一家也备受煎熬。
肿瘤长大怎么办,孩子症状恶化怎么办?肿瘤会影响到孩子的正常成长吗?
孩子的人生才刚刚启程——每一个决定,都可能影响他们接下来数十年的人生:十年,二十年,更远……
这些问题像巨石压在父母心头。为了防止肿瘤长大,他们甚至尝试寻求中医治疗,最终却无果。每一步都走得小心翼翼、如履薄冰,但,现实还是很残酷……
从5年煎熬,到短短10多天决定手术
为何会出现如此巨大的转变?
5年间,飞宇长大了,这个肿瘤也未停下脚步。
它在寂静中生长,直至危机再次浮现:飞宇的视力明显下降,出现视野缺损,看东西重影。MRI显示,一个40×25×31mm的巨大肿瘤已完全占据第三脑室,并从室间孔向下压迫中脑——这个少年的未来,正被阴影一点点吞噬。
“今年复查发现肿瘤又长大了,不能再等下去,只能选择手术。”这一次,他们没有犹豫。
“正好赶上巴教授这个月来中国,从7月31日复查到8月12日教授来,前后就十来天,我们就果断决定了。”事实上,这颗信任的种子早已深埋于心:“其实我们从一开始就没打算找别人做。毕竟这是脑袋里的手术,不是别的部位,我们就想给他好的治疗。”
多年等待,这颗种子终于在此刻破土而出。一切迟疑,都被父母爱子的坚定决心取代。
“手术没有一点问题,切除率100%。”巴教授在术后第一时间向家属详细讲解了手术情况:“全程诱发电位稳定,说明功能完好。尽可能切除肿瘤的同时保护大脑功能,血管、神经,尤其是对于记忆非常重要的穹窿,都保留的很好。”
巴教授术后第1天查房

“这下我们就放心了,太感谢了!”飞宇的父母难掩激动。他们密切关注着孩子恢复的每一个细节。而飞宇仅在ICU住了一晚,就转回普通病房。巴教授亲自查房确认:他的语言与运动功能均正常,恢复进展良好。
飞宇在术后出现了短暂嗜睡,甚至一度认不出爸爸,也记不住电话号码。但巴教授对此十分有信心,并表示这种情况会逐渐好转。果然,到了术后第3天,飞宇父亲欣喜地告诉我们:孩子明显好转了,什么都记起来了,也没有那么嗜睡。
虽然还有轻微的头晕和复视,但症状都在逐步好转。“非常满意,达到了我们的预期。”飞宇母亲仍感到庆幸,一切还没有太晚。
怎样的高难度手术
让巴教授与北京天坛医院强强联合?
在大脑的深处,藏着一个不足一枚硬币大小的区域——第三脑室。这个仅2.5厘米长、0.5厘米宽的狭小腔隙,紧邻重要的神经结构,如丘脑、下丘脑、垂体和中脑。它的位置使其在调节脑内压力、脑脊液流动以及神经信号传递中发挥着关键作用

而对于像飞宇这样的少年来说,手术,不只是为了活下去。更是为了夺回那个本该属于他的未来——回到教室,拥抱青春,继续奔赴那个才刚刚启程的人生。
我们都清楚:第一次手术的质量,直接决定了患者的预后。首次治疗时,脑组织解剖结构清晰,肿瘤与正常组织易于区分,切除率高,神经功能保护更好;而复发后再手术,粘连和瘢痕会显著增加辨认和分离的难度,往往导致切除不彻底、效果逐次下降。
首次手术如能实现高比例安全切除,将为后续治疗奠定坚实基础,大大延长复发周期。相反,肿瘤残留过多和盲目放疗无法根治问题,反而可能加剧后续治疗困难。因此,首次手术不仅是技术挑战,更是患者长期生存的关键——做好第一次,可能意味着避免将来无数次的痛苦与风险。

正因如此,这台手术不容有失。面对重重挑战,巴教授与北京天坛医院团队强强联合。
逢山开“颅”,遇水搭桥,“难治”脑瘤变“可治”
1.第三脑室位于大脑中心深部。到达目标需要切开胼胝体、分离脉络膜裂、进入三脑室顶部。巨大肿瘤本身就占据空间,操作通道更加狭窄和深长。手术器械的活动范围受限,操作精确度要求极高,手部微小震颤会被放大,可能误伤周围关键结构。
2.脉络膜裂是位于穹窿和丘脑之间、脉络丛附着处的一条潜在的裂隙。巨大肿瘤导致其扭曲、粘连、被挤压变薄。安全有效地打开此裂隙而不损伤下方的深部静脉系统和丘脑至关重要,操作需在极其有限的深部空间内精细进行。分离不当易撕裂脉络膜或损伤其下方的静脉系统(如丘纹静脉),导致灾难性出血或静脉性梗死。
3.巨大肿瘤本身有丰富血供,深部止血困难,大量出血迅速充满术野,干扰操作并增加损伤风险。而飞宇的肿瘤质地坚韧似橡皮膏,与三脑室壁、丘脑、深部血管黏连紧密,只能分块切除或借助CUSA,强行牵拉易导致出血或伤及周围结构。
凭借40年专注脑肿瘤手术的深厚经验,巴教授曾多次为该类病变实现安全全切。而这一次,他再次让希望成为现实。
他们所要争取的,从来不只是“活下去”,而是有质量、有尊严的青春人生。
致力于在最大程度保护脑功能的前提下彻底切除肿瘤——这不只是一台手术,更是一个少年未来的重启键,一个家庭孤注一掷的信念之战。
而他们,赢了!
400-029-0925




