
脑海绵状畸形(CCM)是一种供应大脑的血管发育异常。它由包含很少或没有神经组织的大的相邻毛细血管组成。它们大多发生在幕上区域。然而,这些血管病变的发生可见于中枢神经系统...

脑干是人的生命中枢,包括中脑、脑桥、延髓,脑干海绵状血管瘤会导致脑干出血,使病人出现肢体瘫痪、昏迷,甚至危及生命。近数十年来,随着神经外科手术技术的发展及术中神经...

海绵状血管瘤是良性血管病变,发生在大脑轴内和轴外区域。这种瘤种在一般人群中的发病率为0.4%至0.8%。鞍内(ICH)和鞍旁海绵状血管瘤是较常见的轴外形式,虽然这两种类型(...

短短五分钟内,从热爱生活的阳光女孩坠入到人生低谷;从刚具备独自生活的能力到耗尽父母的积蓄和泪水;更让人无法接受的是从一个健全的年轻人到半身瘫痪长期坐在轮椅上 一则真...

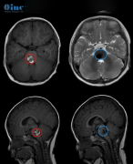
脑干病变 脑干海绵状畸形是可以在脑桥、延髓或中脑区域发现的病变。脑干被称为大脑的关键区域,因为许多重要功能都是由该区域的神经控制的。 脑干海绵状血管瘤为什么如此脆弱...

得了脑海绵状血管瘤可以坐飞机吗? 可以,没有理由不坐飞机。 什么是海绵状血管瘤? 海绵状血管瘤是一种异常的密集薄壁毛细血管(较小的血管)。这些毛细血管的薄壁使得血管瘤易...

脑海绵状血管瘤虽然名字中有瘤,但它并不是我们常规意义上的肿瘤,它的英文名称Cavernous malformations或cavernous hemangiomas,实际是一种病理性质良性的血管畸形。海绵状血管瘤在临床上...

脑干海绵状血管瘤患者:当时我们去过了很多大医院,这些医院的教授给我的手术风险评估报告都比较严重;严格来讲,海绵状血管瘤并不是肿瘤,它是指由众多薄壁血管组成的海绵状...

脑海绵状血管瘤全切后还会复发吗? C4-5髓内海绵状血管瘤海绵状血管瘤术后能否恢复?恢复时间大概是多久?术后复发的概率是多少? 杨先生于2年半前开始出现左手虎口至左肘关节上...

2020年3月,患者运动时突发头晕伴左侧下肢疼痛,脑干海绵状血管瘤卒中出血。 2021年8月,患者旅行时突然出现行走困难,右侧下肢行走时形态扭曲2021年12月,因再次出现行走困难,行...