29岁女孩重度残疾竟然是因为这个病
29岁女孩幸子(化名)被诊断患有烟雾病和格雷夫斯病,表现为左臂和左腿无力。同时,检查发现幸子右侧额顶叶脑梗死(图1),同时甲状腺功能检查提示游离甲状腺素(fT4)和游离三碘甲状腺原氨酸(fT3)、促甲状腺激素(TSH)和TSH受体抗体(TRAb)都明显升高(图2a,入院20天)。术前给予阿司匹林100 mg/天,噻马唑60 mg/天控制甲状腺毒症。
1个月后,幸子因构音障碍和右腿无力入院,并在左额叶出现新的脑梗死(图1C)。随后出现甲状腺风暴(fT4 3.91 ng/ml,fT3 10.09 pg/ml)——甲状腺机能亢进的合并症,是一种少见但能致死的病症。伴有发热、心动过速和高血压等甲状腺毒症症状。
幸子需要早期手术血运重建,但甲状腺毒症被认为是手术的。开始强化甲状腺激素治疗,大约70天后达到激素缓解(图2A)。进行左侧STA-MCA搭桥术。由于术后不久观察到左MCA区域的高血流灌注现象(图3A),因此给予巴比妥酸盐昏迷治疗3天。术后未发生额外的缺血性和出血性并发症(图2B,C)。入院时神经功能缺损MRS评分为4分、重度残疾标准,术后3个月时恢复2分轻度残疾,无需协助下可以完成日常起居之事。
神经功能缺损MRS评分是什么?
MRS是脑卒中后神经功能缺损,以及对恢复程度的评估。评分标准如下:
0分:完全没有任何症状。
1分:虽有症状,但无明显残疾,能完成日常所从事的工作或活动。
2分:轻度残疾。不能完成病前所能从事的活动,但不需要协助,能照顾日常起居之事。
3分:中度残疾。
4分:重度残疾。需要部分帮助,但能独自行走。
5分:严重残疾。病人卧床,二便失禁,日常生活完全依赖他人,需要持续护理。
治疗过程交流
▼图1:A,术前血管造影(双侧颈总动脉正位图)显示双侧颈内动脉末端有“烟雾血管狭窄征象”,双侧大脑中动脉(MCA)狭窄(左)。术前Xe-CT显示双侧MCA区域脑血流减少(右:15.9,左:22.8 ml/100 g/min)(右)。

▼B,术前T2、DWI序列显示入院前1个月显示,既往右侧额顶叶脑梗死。

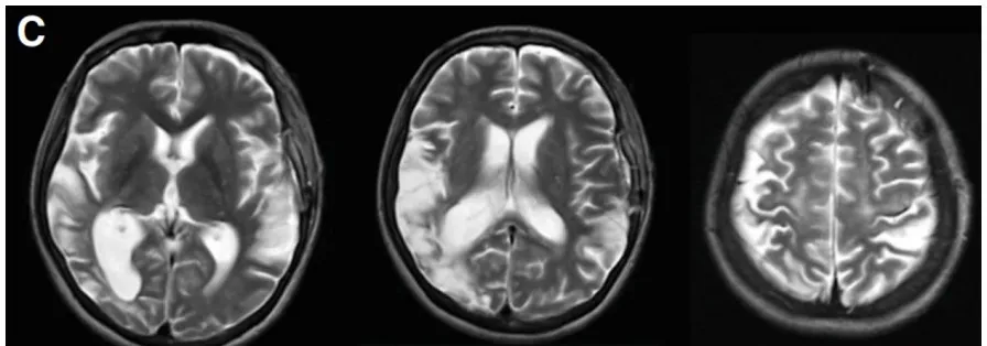
▼C,术前T2、DWI序列显示左额叶新发展的脑梗死。

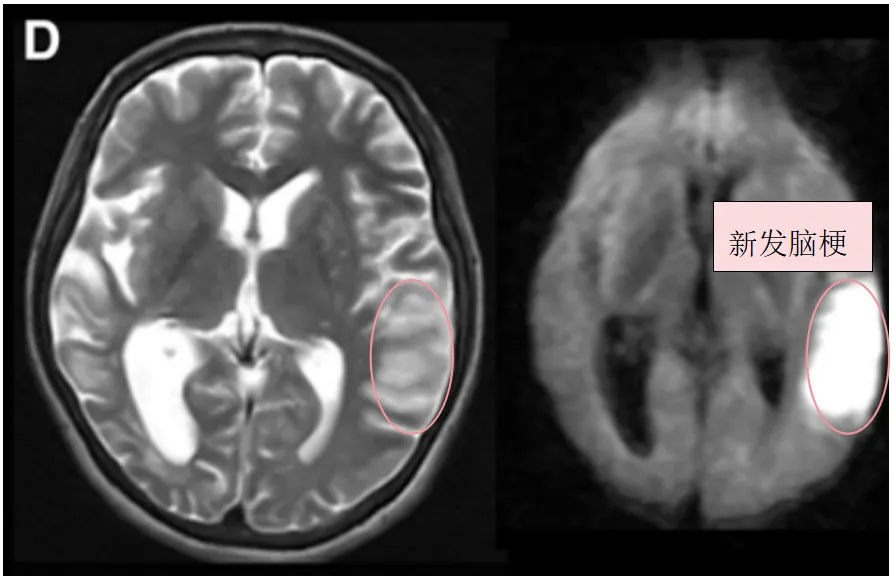
▼D,入院3天后术前T2、DWI序列显示左侧颞叶进一步新发脑梗死

▼图2:甲状腺激素和TRAb随时间的变化。

▼图3:A,术后Xe-CT显示左侧大脑中动脉区域明显血流灌注(局部脑血流量:26.8 ml/100 g/min),血管通畅。

▼B,术后20天血管造影显示旁路通畅(箭头)。

▼C,术后23天MR复查显示未出现新的缺血性或出血性病变,恢复良好。

Moyamoya烟雾病解析
1969年,由日本学者Suzuki和Takaku首先报道。由于这种颅底异常血管网在脑血管造影图像上形似“烟雾”,故称为“Moyamoya病”。烟雾状血管是扩张的穿通动脉,起着侧支循环的代偿作用,是该病的重要特征。
Moyamoya病是一种慢性闭塞性脑血管病,是以双侧颈内动脉颅内段及其近端分支进行性狭窄或闭塞并异常侧枝血管形成为特点。Moyamoya病受累血管常常是双侧的,而单侧出现的进展性狭窄也不能排除Moyamoya病的可能。
在脑血管造影片上,正常人的脑血管主动脉及支脉就像一棵茂密的大树,不断伸展开枝丫,排列得井然有序,每一根枝条都脉络清晰。
而烟雾病患者大脑里的大血管主干道比较狭窄或闭塞,为了确定大脑血流供应,出现众多纷杂的“支路”小血管来替补代偿,这时给血管打上造影剂显影,就会发现血管形似吸烟时吐出的一团弥散开的烟雾。

烟雾病患者脑血管造影图像
这些微小的烟雾状血管比正常血管更脆弱,较易破裂出血并流入大脑,从而出现脑梗死或脑出血,因而较早被日本人命名为“烟雾病”。
烟雾病合并甲亢的相关研究
烟雾病合并格雷夫斯病严重吗?应该怎么治疗?
Graves病(GD、格雷夫斯病)已报道会影响MMD的临床特征。伴发的MMD和Graves病于1991年一次报道。从那时起,许多关于甲状腺疾病和MMD之间关系的研究已经进行。MMD甲亢的发生率很高,而伴有Graves病的MMD进展更快。因此,Graves病可能会对MMD的临床病程产生不利影响,而详细了解Graves病患者MMD的临床特征是很重要的。但,烟雾病(MMD)与格雷夫斯病(GD)并发的情况很少见。目前尚无关于优化甲状腺激素以及对伴有GD的MMD进行手术治疗的适当时机的指南。
什么是格雷夫斯病(GD)?
先前的报道描述了甲状腺功能亢进状态和脑缺血事件的同步变化。此外,由烟雾病引起的脑缺血症状可因甲状腺毒症而加重,并可因激素状况正常化而好转。在川岛明次教授的研究中,除了1例出现甲状腺风暴外,全部患者在控制甲状腺毒症的药物治疗期间缺血症状均未加重。此外,全部病例术后均无加重。教授推测,适当的甲状腺激素控制可能有助于良好的结果。颞浅动脉-大脑中动脉(STA-MCA)搭桥是治疗以脑缺血为表现的烟雾病的合适方法。另一方面,由于心动过速和高代谢等原因,GD被认为是手术治疗烟雾病的高危因素。
川岛明次教授及其团队接收了8名患有脑缺血的MMD和GD患者,进行了直接搭桥治疗。依次测量甲状腺激素【游离甲状腺素(fT4)和游离三碘甲状腺原氨酸(fT3)】、促甲状腺激素(TSH)和TSH受体抗体(TRAb)。全部病例经医学治疗优化甲状腺功能后,均行颞浅动脉-大脑中动脉(STA-MCA)双桥血管重建手术。出院时和术后3个月采用改良Rankin量表(mRS)评估临床结果。
6例Graves病患者脑缺血发作时fT4、fT3和TRAb(范围)分别为4.81-10.30 pg/ml、13.08-31.90 pg/ml和3.5-83.8 IU/l。手术时,平均(范围)fT3和fT4分别优化为3.02(1.01-4.87)pg/ml和1.09(0.41-1.68)ng/dl。在Graves病例中,手术前需要70-310天(平均142天)来优化甲状腺激素。术后无神经功能加重,3个月时预后良好,全部病例mRS评分≤2。
研究表明:对于MMD并发GD,优化甲状腺激素继之以STA-MCA搭桥术可成功预防脑缺血事件。为了确保烟雾病并发GD的手术治疗顺利,术前甲状腺激素应降至接近正常水平(在我们的甲状腺毒性病例中平均需要142天),即使需要早期血运重建手术。
烟雾病合并格雷夫斯病,围手术期管理应该注意什么?
较佳的围手术期管理和适当的重建手术时机对烟雾病合并GD的治疗至关重要。甲状腺功能亢进时应避免手术。甲状腺毒症可能加重受影响的大脑,因为这种情况会增加心率、血压和体温。Im等报道了4例伴有GD的烟雾病,控制不佳的甲状腺毒症患者患烟雾病的手术风险更高。他们报告了一个控制不良的病例,显示缺血和脑梗死加重。在我们的系列中,在脑缺血发作时观察到6例甲状腺中毒。我们治疗烟雾病合并GD的基本策略是在手术治疗前优化甲状腺状况。采用该策略,术后无缺血并发症。在紧急情况下或需要早期血运重建的情况下,甲状腺功能亢进的风险是不可避免的。在这种情况下,应格外谨慎。
由于对甲状腺毒性患者进行手术治疗的顺利性没有明确的标准,我们需建立一个顺利的甲状腺激素条件和MMD合并GD的适当手术治疗时机。Akamizuet等对甲状腺风暴状态的甲状腺毒性患者进行了调查,报道甲状腺风暴患者fT3浓度为19.70±12.70 pg/ml,fT4浓度为6.38±3.40 ng/dl。在我们的病例中,血运重建手术是在较低浓度的甲状腺激素下进行的;fT3为3.09±0.56(1.01-4.87)pg/ml,fT4为1.09±0.22(0.41-1.68)ng/dl。先前的研究表明,GD患者TRAb和TSH的正常化需要12-18个月或更长时间。在我们的甲状腺毒性患者中,从开始甲状腺激素治疗到进行重建手术的时间间隔约为4.7个月。显然,如果控制甲状腺激素的时间过长,导致血运重建手术延迟,可能会加重脑缺血的危险。需要仔细监测强化治疗。
对于伴有进展性GD的烟雾病,治疗的一步是通过使用抗甲状腺药物减少甲状腺激素的合成,一般使用甲巯咪唑和丙硫脲嘧啶。在某些情况下,放射性碘被用来控制甲状腺激素的合成。-肾上腺素能阻滞剂适用于控制甲状腺毒性症状,如高血压和心动过速。支持性治疗如静脉输液、输氧和冷却是维持血液循环所必需的。另一方面,需监测患者抗甲状腺药物的不良反应,如粒细胞缺乏症、肝损伤、胆汁性便、瘙痒、腹痛、恶心和血管炎。此外,由于碘诱发甲状腺功能亢进的风险已被报道,在甲状腺中毒的情况下,也应避免使用含碘造影剂进行脑血管造影。这就是为什么我们只对患者进行MRA,而不是在手术后一周进行常规血管造影。然而,在术后随访中,我们有时会进行常规血管造影以确认通畅。如图3B所示。
烟雾病和格雷夫斯病之间有什么关系?
遗传因素、细胞因子和自身免疫因素被认为是烟雾病和GD的共同发病机制。Panegyres等报道了T细胞介导的免疫在烟雾病中的作用。同样,据报道,T细胞在GD中也起着重要作用。烟雾病的细胞增殖和血管失调与GD的甲状腺免疫刺激有一个共同的致病环节,涉及t细胞失调。
先前的报道描述了甲状腺功能亢进状态和脑缺血事件的同步变化。此外,MMD引起的脑缺血症状可因甲状腺毒症而加重,并可因甲状腺激素正常化而好转。此外,有病例报道,复发性脑缺血损伤与甲亢复发同时发生。另一病例报告描述了GD治疗类固醇和血浆置换后脑血管炎的明显好转。这些报告可能支持烟雾病和GD有共同发病机制的观点,表明控制甲状腺激素分泌是治疗烟雾病并发GD的一步,即使考虑到早期血运重建。
川岛明次教授,国际脑血管搭桥手术教授
INC国际神经外科医生集团旗下国际神经外科专家团(WNEG:World Neurosurgical Expert Grop)成员、国际脑血管搭桥手术教授、日本东京女子医科大学神经外科主任Akitsugu Kawashima(川岛明次)教授。
国际脑血管搭桥手术教授
日本较杰出的脑血管病手术专家之一
独自成功完成颅内外血管搭桥手术1300例,
动脉瘤超1000例,
颈内动脉内膜剥脱术(CEA)超450例
▫日本东京女子医科大学八千代医疗中心神经外科主席
▫日本神经外科学会委员
▫日本脑卒中协会委员
▫日本脑卒中外科学会委员
▫日本急诊医学会委员
Kawashima教授在脑血管外科领域潜心钻研多年,有着3000多例血管疾病患者的成功手术经验,通过其丰富的经验以及高超的手法,能合适的解决这些困难,达到患者想要的目的,在日本神经外科学术界享有崇高的地位。他所任职的东京女子医科大学神经外科,是日本临床肿瘤学组织(JCOG)的注册机构。在脑肿瘤、脑血管疾病、功能性疾病、脊髓疾病、小儿神经外科和头部外伤等领域的病例数和治疗效果均居日本。
- 文章标题:29岁女性烟雾病患者(合并甲亢致重度残疾)INC国际川岛明次教授如何治疗?
- 更新时间:2024-04-23 10:48:06
400-029-0925


