“她得的是什么病?”
“烟雾病……”
烟雾病,一种发病率只有十万分之三的先天性脑部疾病,脑子里面的血管不是正常的,就是像烟雾。
很多人从来没听过烟雾病,可能会发出这样的疑问:“这烟从哪来的,是不是抽烟引起的。”甚至很多医生对烟雾病也是模模糊糊的。
正常情况下,人类的大脑,像是复杂的城市电力系统,颈内动脉延展出大大小小的血管,遍布全脑,从而点亮颅脑之城的每一个角落。但在烟雾病患者的颅脑中,负责给大脑供血的颈内动脉在生长过程中逐渐狭窄甚至闭塞。进而长出一团又一团如烟雾般的毛细血管。

烟雾病Suzuki分期/分型
这些小血管,管径细,管壁薄,质量差,不仅供血不足,还随时面临着脑梗塞的风险。在这座被烟雾笼罩的颅脑之城里“断电”,可能就在一瞬之间。
烟雾病初期是在日本被发现,日语称为moyamoya,在日语里的意思是“喷出的烟雾”。它的死亡率之高,并可能伴随很多后遗症。常以脑缺血(幼年)或自发性出血(年龄较大者)就诊,致死致残率较高。患者会出现头晕或肢体乏力、失语、癫痫、脑梗塞或脑出血、偏瘫等症状,严重者会危及生命。
INC国际教授受邀秘鲁解救8岁烟雾病患儿
病例描述:在此,我们报告一个具有挑战性的病例,该病例在特鲁希略的新神经外科中心进行,涉及一名8岁秘鲁男孩Terry罹患烟雾病,强直阵挛性癫痫发作,甚至出现严重的左侧运动障碍和语言障碍。严重的神经功能恶化,并被转移到ICU。由于秘鲁缺乏具有儿童烟雾病搭桥手术经验的神经外科医生,特别邀请INC国际神经外科医生集团旗下国际神经外科专家团(WNEG)成员、国际脑血管搭桥手术教授、日本东京女子医科大学神经外科主任Akitsugu Kawashima(川岛明次)教授为其手术。
术后,Terry的运动缺陷和失语症得到好转。据了解,这是秘鲁一次对小儿烟雾病患者进行直接血运重建术。
主刀医生
日本东京女子医科大学神经外科主任
Akitsugu Kawashima
(川岛明次)教授

案例解读
8岁男孩,国籍秘鲁,右撇子,因运动运动和言语障碍、发作性右侧强直阵挛性癫痫发作,被送往埃尔卡亚俄当地医院。除4年慢性头痛病史外,无其他异常。CT显示左侧额叶区弥漫性脑水肿。由于缺乏血管造影检查,初期怀疑病毒性脑炎,并开始经验性抗病毒治疗以及抗癫痫药物。一次入院二十天后,患者再次出现强直阵挛性癫痫发作,伴有严重的左侧运动障碍。而且,言语障碍又出现了,而且比一开始严重。在接下来的48小时内,患者出现严重的神经功能恶化,并被转移到ICU。
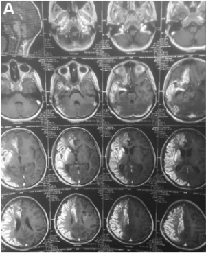
然后,患者被转移到利马一个更高级的神经中心治疗,在那里接受进一步的诊断。脑CT和MRI显示右侧大脑中动脉和右侧大脑前动脉区域存在急性缺血。DSA显示双侧颈内动脉完全闭塞,右侧为眼动脉远端,左侧为后交通动脉远端,双侧基底节呈“烟雾”络脉改变,右后交通动脉通畅,然而没有明显的侧支循环,是来自右颈外动脉的侧支循环(图1)。
▼图1术前脑MRI(A)显示右侧大脑中动脉和右侧大脑前动脉区域急性缺血。

术前DSA显示双侧颈内动脉、右侧眼动脉远端和后交通动脉远端完全闭塞,双侧基底节烟雾络脉(B,左颈内动脉和颈外动脉分支;C,右颈内动脉和颈外动脉分支)。

由于缺乏具有儿童烟雾病搭桥手术经验的神经外科医生,因此决定在接下来的几个月内安排间接血运重建手术。同时,患者出现严重左侧偏瘫和表达性失语。自2016年2月起,在赫尔辛基神经外科团队和在秘鲁显微神经外科中心EsSalud Peru的合作下,举办了“首届脑搭桥及血管显微外科直播课程”。
因此,该患者在左颞浅动脉和左大脑中动脉之间接受了两次直接搭桥手术,由主刀川岛明次教授完成手术(图2)。
▼图2术后CTA的3D重建显示开颅手术大小,以及在左侧颞浅动脉和左侧大脑中动脉之间进行的两次搭桥血管重建。

术后过程很顺利,令人惊讶的是,患者在术后即时评估时就可以说出一些简单的单词,较前明显好转。术后一年,患者可以在一些帮助下进行日常活动,他能够在没有任何支撑的情况下行走,并且可以发音简单的单词,但仍然有一些困难。
然而,中度左侧偏瘫和严重远端功能障碍仍然存在,进行间接或直接血运重建手术是很有必要的,如果患者能够早期发现,在出现运动功能障碍前接受手术治疗好转血运,可能避免脑缺血等导致的瘫痪等神经损伤。
儿童烟雾病的合适治疗手段
外科血管重建术是儿童烟雾病的合适治疗手段。大多数儿童烟雾病患者出现缺血性症状,包括短暂性脑缺血发作(TIA)和脑梗死。《烟雾病诊断和治疗指南》提到,对于表现为脑缺血症状的烟雾病,外科血管重建术是合适的(等级B)。在指南中,头痛不属于缺血性症状之一。对烟雾病患者头痛的治疗尚无定论。然而,严重头痛与脑血管反应性紊乱的脑缺血有关,可以通过搭桥治疗。有专家提到尽管成功地预防了脑缺血,但间接搭桥术后头痛仍会持续或发展,因此直接和/或联合搭桥手术将更有利于减轻烟雾病患者的头痛。
将儿童头痛的病因综合考虑,偏头痛被列为常见的鉴别诊断之一。一方面,烟雾病患儿临床表现为额叶或颞部晨间头痛,但另一方面,偏头痛引起的头痛因日常体育活动而加重,临床上,很难区分这些血管性头痛。另外,急性鼻窦炎、颅内感染、外伤、颅内肿瘤等应作为小儿头痛鉴别诊断的依据,但本病例无感染及颅内病变的证据。
儿童烟雾病为何要早期治疗?
本质上,烟雾病的颈内动脉会导致进行性狭窄。从单侧烟雾病进展到双侧病变的患儿中有25%至58.8%发生,与未进展患者相比,导致更频繁的缺血性发作。烟雾病家族史与单侧向双侧病变的进展有关,单侧病例与双侧病例相比显示早期血管造影,因此密切和仔细的随访是必要的。然而,观望策略是有争议的。由于缺乏对TIA或长期性缺血症状的认识,等待和观察缺血发作的发生是有害的。
一旦儿童烟雾病患者发生皮质梗塞,日常生活活动能力(ADL)等各种功能的长期预后就会降低。Imaizumi等人指出儿童烟雾病患者在症状出现后智商开始下降,每个人都希望在梗塞前治疗病人。通常,手术干预越早,临床效果越好。另一方面,如果供体减少,旁路手术后良好的通畅性可能无法得到确定。STAs作为旁路手术的供体,根据受者皮质灌注压较低的要求,有些病例术后1个月内出现,但有些病例没有,手术前很难分清界限。
由于血运重建手术好转了脑血流动力学和代谢,术前通过正电子发射断层扫描(PET)、XeCT和单光子发射计算机断层扫描(SPECT)的评估也是决定手术适应证的基础。《烟雾病诊断和治疗指南》用SPECT和PET评估脑血流动力学对缺血性烟雾病患者的脑缺血程度进行诊断和评估(等级B)。然而,主要的问题是没有CBF退行性变的患者的适应证。
上述的病例难点也是在术前评估,因为烟雾病所处阶段不是进行性的(Suzuki-II期),而且没有观察到CBF的偏侧性,而且血管造影未见明显无血管区,因此在手术前很难评估旁路通畅。此外,症状只是严重的头痛,然而我们认为头痛是缺血性症状之一,即使PET,XeCT和SECT显示脑血流灌注没有减少。我们的策略是对以头痛为主诉的烟雾病患儿进行外科干预,以防止进一步的缺血。是对于儿童烟雾病患者,我们还需要考虑智力和生活能力。
烟雾病认知功能损害早在1985年就有报道,患有烟雾病的儿童在智力和日常生活能力方面的得分通常都很低。随着研究的深入,我们发现,认知损害不仅随着烟雾病病情的进展而加重,更会在术后随着脑血流动力学的纠正而好转。因此,早期手术应该在小儿患者中使用,因为头痛可能是缺血性症状之一。此外,频繁的MR随访并不总能确定在不可逆的脑损伤和智力损害之前发现晚期疾病。长时间脑血流灌注不足,是造成烟雾病病儿智力下降的主要原因。SORIANO等对4岁以下烟雾病患儿进行了14个月的随访研究,发现患儿均遭受不可逆的智力下降。KUROKAWA等一项对27例烟雾病患儿的研究表明,随着年龄增长,智力水平下降趋势越来越明显,10~15年后仅9例患儿智力保持正常水平。SCOTT等对20例行间接血管重建术的烟雾病患儿,进行智力评估随访研究,发现其中10例患儿智商有明显提高,3例无变化,2例退化,且与术后脑血流升高呈正相关,智力下降或退化对儿童成长发育影响较大,尽早发现并进行干预,将会有较好预后。
总结
烟雾病患儿手术治疗的主要作用是提高患儿脑循环血量,而保守治疗将会导致不良预后。对烟雾病患儿采用手术治疗,能合适提高生活质量,降低缺血性疾病的风险。与成人病例比较,尽早诊断且尽快手术,儿童烟雾病将会取得良好预后。
近年随着影像学发展,儿童烟雾病的发病率逐渐增高,已成为儿童脑卒中较常见的危险因素之一。儿童烟雾病发生、发展过程需要很多年,其可延续到成年,单侧病变可发展为双侧病变。如具备手术条件,及早手术可预防脑梗死等不良事件发生。
对于儿童烟雾病,早诊断与早治疗是关键,但由于患儿缺乏自我描述能力,给诊断造成相当大的困难。因此,研究儿童烟雾病的发病机制,开发客观的诊断方法显得尤为重要。考虑到儿童烟雾病的解剖学和血流动力学特性,手术方式的选择与预后评判也重要。同时,仪器的应用和术中血流动力学的监测,能够较大提高手术成功率。总之,儿童烟雾病治疗效果的提高,需要神经外科医生团队与设备的双重保障。
- 文章标题:“烟雾病”危重患者的诊断疑云和手术突破-INC日本川岛明次教授血管搭桥成果发表
- 更新时间:2024-03-04 10:14:34
400-029-0925



