孩子总说头痛,父母们第一反应“是不是感冒啦”。但有一种罕见的脑血管疾病「烟雾病」,表面上看起来是反复头痛,但实际上正悄悄损伤孩子的大脑——它会让大脑里的血管慢慢变窄、甚至堵死,要是没有及时处理,可能会引发脑梗,还会影响智力发育。

此前,INC国际神经外科医生集团旗下世界神经外科专家团(WNEG)成员、世界脑血管搭桥手术大咖、圣路加国际医院神经外科主任川岛明次(Akitsugu Kawashima)教授研究团队发表了一则病例报告,为早期儿童烟雾病的治疗提供了关键参考:即使孩子脑血流暂时正常、仅以头痛为唯一症状,早期手术也能有效缓解不适,还能预防后续脑损伤。
01
头痛背后的“隐形危机”
竟是罕见烟雾病
病例报告里的10岁女孩小优,从小就出现反复头痛,父母也多次带她去看医生,没有感冒、没有外伤、更没有肢体无力、抽搐、视力模糊等症状,起初也确实被误认为是偏头痛。
直到10岁这年,医生建议让小优做MRI(磁共振成像)和MRA(磁共振血管造影)的检查,而影像结果提示:小优可能患有右侧单侧烟雾病。
为了进一步治疗,小优转诊至川岛教授所在的医院,川岛教授团队为她做了更细致的检查,这次的结果更加具体:

图1,术前右颈动脉血管造影显示IC末端顶部烟雾血管发育,左:前后视图,右:侧视图
血管造影显示:她的右侧颈内动脉末端已经狭窄,大脑里长出了细小的“烟雾状血管”,病情处于铃木分期II期(Suzuki分期,是早期),甚至快过渡到III期;左侧血管暂时正常。(图1)
脑血流检查(XeCT,氙计算机断层扫描):静息时脑血流量基本正常,服用药物后脑血管反应性略有下降,但没有明显“缺血区”。(图2)

图2,术前脑血流检查显示显示静息状态下双侧脑血流无明显差异(a),注射乙酰唑胺后右侧大脑中动脉供血区脑血管反应性为14.8%(b)
也就是说:小优目前的症状虽然只有反复发作的头痛,但大脑血管已经开始“病变”,只是暂时还没到“严重缺血”的程度——这也是临床中最让医生和家长纠结的情况:要不要手术?
什么是烟雾病?
烟雾病是一种进行性闭塞性脑血管病,其特征为双侧颈内动脉末端分叉处狭窄,伴大脑前动脉和大脑中动脉异常,以及广泛侧支循环血管(烟雾状血管)形成。
严重缺血会怎样?
烟雾病导致颅内血管狭窄或闭塞,影响脑部血液供应。供血不足时会引发短暂性脑缺血或脑梗死。患者可能出现突发性肢体无力、言语障碍或视力模糊,症状通常在24小时内缓解,但反复发作可能引发脑梗死,造成永久性神经功能缺损。
02
为什么“没到严重缺血”
还要手术?
在烟雾病治疗中,传统思路是:当孩子出现明显缺血症状,比如前文提到的短暂肢体麻木、视力突然下降、脑梗,或脑血流显著降低时,才推荐做血管重建手术。
而对于像小优这样处于早期、仅头痛、脑血流正常的孩子,手术指征一直存在争议——毕竟脑部手术有风险,是否需要“提前干预”?
川岛教授团队经过反复评估,对小优的父母给出了手术建议,核心原因有3点:
头痛可能是“早期缺血信号”
虽然脑血流暂时正常,但孩子的脑血管反应性已经下降,头痛很可能是大脑“轻度缺氧”的表现——这一点容易被忽视,却可能是脑梗的“预警”。
烟雾病会“悄悄进展”
研究显示,25%~58.8%的儿童单侧烟雾病会逐渐发展为双侧病变,且进展后缺血发作的频率会大幅增加;一旦发生脑梗,孩子的日常生活能力、智力水平可能会不可逆下降也有研究发现,烟雾病孩子出现症状后,智商可能会逐渐降低。
“早干预”比“等出事”更稳妥
医生认为,与其等待缺血症状出现(可能伴随脑损伤),不如在早期通过手术改善脑供血,避免后续风险。
最终,团队为女孩实施了颞浅动脉-大脑中动脉双吻合术(STA-MCA双吻合术)——就是把头皮上的颞浅动脉(“供血血管”)和大脑里的大脑中动脉(“缺血血管”)连接起来,为大脑搭建一条“新的供血通道”。
03
头痛消失
脑供血“升级”
手术很成功,小优在术后恢复平稳,未出现任何并发症。并且,困扰她多年的严重头痛消失了。
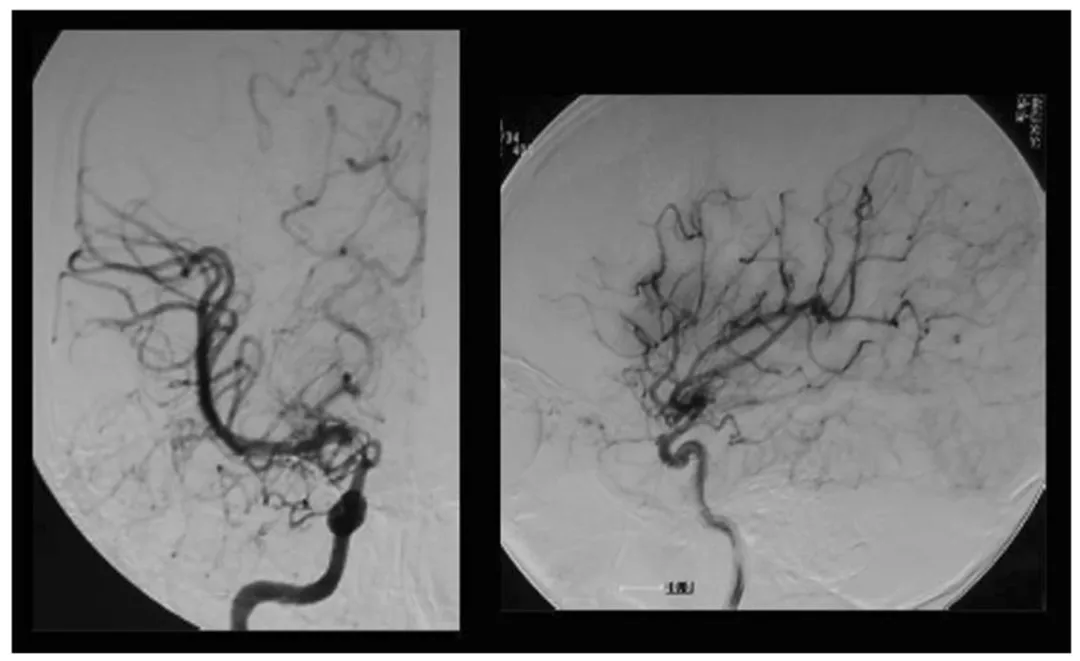
术后7个月的复查结果更是给了医生们一颗定心丸:血管造影清晰显示(图3),新搭建的血管通畅良好,颈外动脉的血流通过搭桥血管,源源不断地供应到右侧大脑中动脉区域。这意味着手术不仅解决了症状,更从根本上改善了脑组织的血液灌注。

图三,术后右侧颈动脉血管造影显示,通过右侧颈外动脉的搭桥血管向大脑中动脉(MCA)和大脑前动脉(ACA)供血不足区域供血。右侧颈内动脉正位观(a)和侧位观(b);右侧颈外动脉正位观(c)和侧位观(d)
儿童烟雾病,为何要“早期干预”?
这则病例虽然是“单例报告”,但对儿童烟雾病的早期识别和治疗,有着重要的参考意义。
①反复头痛别只当“偏头痛”:如果孩子经常头痛伴随短暂肢体无力、视力模糊,建议做一次头部MRI+MRA,排除烟雾病等脑血管问题。
②“早期”不代表“可以等”:即使检查发现孩子是烟雾病早期、脑血流暂时正常,也需要医生评估脑血管反应性、病变进展风险,不要盲目观察等待。
③手术的核心是“防患于未然”:烟雾病手术通过提前改善脑供血,避免后续脑梗、智力损伤,为孩子的长期脑健康保驾护航。
烟雾病虽然罕见,但对儿童的危害不小。对于儿童脑血管病,“早发现、早评估、早干预”永远是关键。
文献资料:
Kawashima A et.al.Early surgical treatment benefits early staged pediatric moyamoya disease—single case report.Childs Nerv Syst DOI 10.1007/s00381-015-2709-3
INC国际神经外科专家团-川岛明次教授

INC国际神经外科医生集团旗下世界神经外科专家团(WNEG)成员、世界脑血管搭桥手术大咖、圣路加国际医院神经外科主任川岛明次(Akitsugu Kawashima)教授,擅长脑卒中、烟雾病、颅底肿瘤、面部痉挛/三叉神经痛、颅内血肿、巨大脑动脉瘤、脑动静脉畸形等疾病的治疗,尤其擅长脑血管搭桥、颈内动脉内膜切除术。
神经外科经验:
烟雾病脑血管搭桥手术:1300例
脑动脉瘤夹闭手术:1000例
脑血管畸形切除术:500例
颈内动脉内膜切除术:450例
开颅脑瘤切除术:280例
颅后窝搭桥术、High-flow Bypass技术等
- 文章标题:10岁女孩头痛背后藏危机:竟是儿童烟雾病早期信号?
- 更新时间:2025-11-05 11:42:39
400-029-0925




