烟雾病(Moyamoya,MMD),一个听起来“如风似幻”的名字,却是一种慢性闭塞性脑血管病,常见于日本、韩国、中国,且有一定的家族聚集性和遗传倾向。
透过脑血管造影去看,会对烟雾病的表现有更加直观的认知。正常人的脑血管主动脉及支脉就像一棵茂密的参天大树,枝干不断生长,每一根枝条都脉络清晰、边界分明。
而烟雾病患者大脑里的大血管主干道通常比较狭窄或闭塞,为了保证大脑血流供应,于是出现众多纷杂的“支路”小血管来替补代偿,导致血管形似一团弥散开的烟雾,因而得名“烟雾病”。
这些微小的烟雾状血管比正常血管更脆弱,容易破裂出血并流入大脑,从而出现脑梗死或脑出血。
同时,一种名为格雷夫斯病(Graves,GD)的甲状腺毒症也会对MMD的临床特征产生不利影响。当烟雾病遇上格雷夫斯病,其病情会产生怎样的变化?又该如何对抗这两只“罕见怪物”的“强强联合”呢?
世界脑血管搭桥手术大师、INC国际神经外科医生集团旗下世界神经外科专家团(WNEG)成员Akitsugu Kawashima(川岛明次)教授,曾救治接收了8名患有脑缺血的MMD和GD患者,并对如何开展治疗、提升预后进行了深入研究并发表研究结果。

MMD合并GD该怎么办?
格雷夫斯病(GD):不仅仅是甲亢
格雷夫斯病(GD)又称甲状腺毒症,是指任何原因引起血循环中甲状腺激素过多,引发甲亢表现(包括滤泡被炎症破坏、滤泡内储存的甲状腺激素过量进入循环引起的甲状腺机能亢进,如:亚急性甲状腺炎、安静型甲状腺炎、产后甲状腺炎),常见症状有:焦虑易怒、机体产热增多、对热敏感、手平举可见细微震颤、睡眠障碍、眼球凸出等。
GD会影响MMD的临床特征。MMD甲亢的发生率很高,而伴有GD的MMD进展更快。因此,GD可能会对MMD的临床病程产生不利影响,由MMD引起的脑缺血症状可因GD而加重,也可因激素状况正常化而改善。但MMD与GD并发的情况比较少见。
在川岛明次教授的研究中,除了1例出现甲状腺风暴(*甲状腺风暴:甲状腺机能亢进的合并症,是一种罕见但能致死的病症。伴有发热、心动过速和高血压等甲状腺毒症症状。)外,其余患者在控制GD的药物治疗期间及术后的缺血症状均未加重。教授推测,适当的甲状腺激素控制可能有助于良好的结果。颞浅动脉-大脑中动脉(STA-MCA)搭桥是治疗以脑缺血为表现的MMD的有效方法。另一方面,由于心动过速和高代谢等原因,GD被认为是手术治疗MMD的高危因素。
川岛明次教授及其团队接收了8名患有脑缺血的MMD和GD患者,进行了直接搭桥治疗。病例经医学治疗优化甲状腺功能后,均进行颞浅动脉-大脑中动脉(STA-MCA)双桥血管重建手术。出院时和术后3个月采用改良Rankin量表(mRS)评估临床结果。
6例GD患者脑缺血发作时fT4、fT3和TRAb(范围)分别为4.81-10.30 pg/ml、13.08-31.90 pg/ml和3.5-83.8 IU/l。手术时,平均(范围)fT3和fT4分别优化为3.02(1.01-4.87)pg/ml和1.09(0.41-1.68)ng/dl。在GD病例中,手术前需要70-310天(平均142天)来优化甲状腺激素。术后无神经功能加重,3个月时预后良好,所有病例MRS评分≤2。
研究表明:
对于MMD并发GD,优化甲状腺激素后进行STA-MCA搭桥术可预防脑缺血事件。为了使MMD并发GD的手术治疗安全,术前甲状腺激素应降至接近正常水平(平均需要142天)。
围手术期管理应该注意什么?
1适当的手术时机:
甲状腺功能亢进时应避免手术,GD可能加重受影响的大脑。同时,亟待建立一个安全的甲状腺激素条件和MMD合并GD的适当手术治疗时机。如果控制甲状腺激素的时间过长,导致血运重建手术延迟,可能会加重脑缺血的危险,需要仔细监测强化治疗。
2抗甲状腺药物的使用及不良反应的监测:
对于伴有进展性GD的MMD,治疗的第一步是通过使用抗甲状腺药物减少甲状腺激素的合成,另一方面,必须监测患者抗甲状腺药物的不良反应,如粒细胞缺乏症、肝损伤、胆汁性便、瘙痒、腹痛、恶心和血管炎。
3避免使用含碘造影剂进行脑血管造影:
一般只对患者进行MRA,而不是在术后一周进行常规血管造影。当然,在术后随访中,有时也会进行常规血管造影以确认通畅。
29岁女孩烟雾病合并甲亢,竟致重度残疾
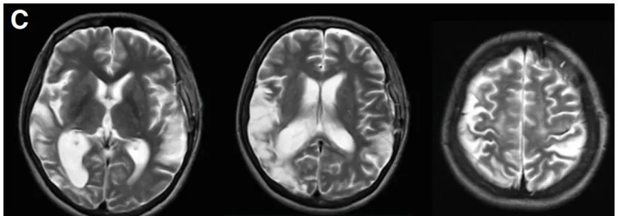
29岁女孩幸子(化名)被诊断患有烟雾病和格雷夫斯病(图1A),表现为左臂和左腿无力。检查发现幸子右侧额顶叶脑梗死(图1B),同时甲状腺功能检查提示游离甲状腺素(fT4)和游离三碘甲状腺原氨酸(fT3)、促甲状腺激素(TSH)和TSH受体抗体(TRAb)都明显升高(图2A,入院第20天)。

图1A:术前血管造影(双侧颈总动脉正位图)显示双侧颈内动脉末端有“烟雾血管狭窄征象”,双侧大脑中动脉(MCA)狭窄(左)。术前Xe-CT显示双侧MCA区域脑血流减少(右)

图1B:术前T2、DWI序列显示入院前1个月显示,既往右侧额顶叶脑梗死
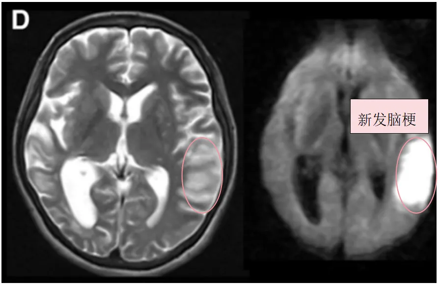
1个月后,幸子因构音障碍和右腿无力入院,并在左额叶出现新的脑梗死(图1C,D)。随后出现甲状腺风暴。(fT4 3.91 ng/ml,fT3 10.09 pg/ml)

图1C:术前T2、DWI序列显示左额叶新发展的脑梗死

图1D:入院3天后术前T2、DWI序列显示左侧颞叶进一步新发脑梗死
幸子需要早期手术血运重建,但甲状腺毒症被认为是手术的高风险因素,因此只能开始强化甲状腺激素治疗,大约70天后达到激素缓解(图2A)。

图2:甲状腺激素和TRAb随时间的变化
随后进行左侧STA-MCA搭桥术。术后不久观察到左MCA区域的高血流灌注现象(图3A),但未发生额外的缺血性和出血性并发症(图3B,C)。入院时神经功能缺损MRS评分为4分重度残疾,术后3个月时恢复2分轻度残疾,无需协助即可完成日常起居之事。

图3A:术后Xe-CT显示左侧大脑中动脉区域明显血流灌注(局部脑血流量:26.8 ml/100 g/min),血管通畅

图3B:术后20天血管造影显示旁路通畅(箭头)

图3C:术后23天MR复查显示未出现新的缺血性或出血性病变,恢复良好
烟雾病国际手术大咖川岛明次

世界知名脑血管搭桥手术专家
烟雾病国际手术专家
世界知名脑血管搭桥手术专家
日本知名脑血管病手术专家
日本东京女子医科大学八千代医疗中心神经外科主席
日本神经外科学会委员
日本脑卒中协会委员
日本脑卒中外科学会委员
日本急诊医学会委员
注:以上案例供学术交流,不作为个别患者的医学诊疗意见。
参考资料:Ryu,Bikei&Kawamata,Takakazu&Yamaguchi,Koji&Kawashima,Akitsugu&Ono,Masami&Okada,Yoshikazu.Moyamoya disease concurrent with Graves’disease treated by direct bypass:clinical features and treatment strategies.Acta neurochirurgica.(2015).
- 文章标题:烟雾病+格雷夫斯病竟致她重度残疾,一起看Kawashima教授如何对抗“双怪”!
- 更新时间:2024-12-04 10:07:32
400-029-0925


