8岁的太一玩耍时突然瘫软在地,父母起初没当回事,直到回家路上,太一又接连跌倒三次,意识到不对劲的父母立即将孩子送往医院。
检查结果显示:他大脑里布满“烟雾状”血管网,确诊烟雾病。更揪心的是,基因检测发现,这场看似普通的摔倒,竟是RNF213基因突变引发的脑血管“慢性自杀”……

太一 8岁 缺血型烟雾病
发病早期:右腿无力
8岁的太一因为右腿运动无力就医,磁共振血管造影(MRA)显示双侧脑梗死,在 Willis 环周围分层双侧血管狭窄闭塞,确诊为烟雾病。

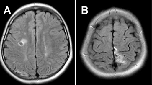
患者初次就诊时进行的 FLAIR MRI,显示 MMD 引起的双侧脑梗死

患者初次就诊时进行的MRA
初次治疗:联合血运重建术的实施
INC国际脑血管手术大咖川岛明次教授考虑到患儿双侧病变且已出现缺血症状,因此制定联合血运重建术方案。
对于烟雾病的治疗来说,普遍的做法是通过手术增加 CBF 来改善缺血区域的血液供应。血运重建术被认为有助于缓解烟雾病的缺血性症状。
但在太一初次左侧手术后,另一例又发生了脑梗死,且远离搭桥的区域,这一不寻常的病程引起川岛教授的警惕。

图E:左侧联合搭桥手术后进行的弥散加权 MRI 显示远离搭桥的区域发生意外脑梗死。
图F:DNA序列分析,鉴定了杂合子c.12185G>A (p.R4062Q)变体(在色谱图中由 R 表示 G>A 替换)。
基因检测结果,二次手术与长期管理
在对太一进行相关遗传学检查后发现,他竟然携带 c.12185G>A (p.R4062Q) 的杂合子变异体,这是 RNF213 变异中较为明确的 MMD 易感变异之一。
RNF213变异可能导致血管内皮细胞功能障碍,加速Willis环周围血管进行性狭窄闭塞,需更积极控制血流动力学风险。
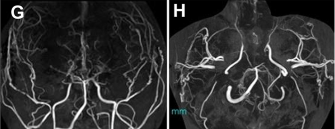
搭桥术后患者康复,没有明显的残疾。然而,在手术复查和基因诊断后5年,他出现了短暂性脑缺血发作,伴有反复的左偏瘫。MRA 显示大脑中前动脉的缺损和大脑后动脉的进行性狭窄(图G 、H)。
第二次手术在右大脑中动脉处另设旁路,以右枕动脉为供体动脉,术后太一状态良好。

图G&H:发病5年后进行的MRA显示主要颅内动脉狭窄的显着进展。
儿童烟雾病手术策略如何选择?
众多研究表明,遗传因素在烟雾病的发生发展中起着重要作用,因为该病在特定地区和种族中的发病率很高,数据表明 10% 的烟雾病患者具有家族聚集性。而烟雾病作为一种慢性进行性的血管闭塞性疾病,如果不积极进行外科干预,极有可能导致脑梗塞或脑出血的发生。
手术是目前主要的烟雾病治疗方式,可分为直接血运重建术、间接血运重建术以及联合血运重建术。一项发表于《Child's Nervous System》的研究为了比较间接(IB)、直接(DB)和联合(CB)血运重建术对烟雾病患儿所产生的效果与围手术期不良事件,共纳入了2460名患儿,总体平均年龄为 8.6 岁。研究结果表明,IB、DB/CB 是针对烟雾病患儿相对有效和安全的血运重建选择。与IB相比,DB/CB 与更好的预后相关。

儿童烟雾病诊疗的关键要点
1. 早期识别:儿童MMD以缺血症状(运动/感觉障碍)首发多见,需警惕无明确诱因的卒中样表现;
2. 影像学评估:DSA是确诊金标准,MRA需注意“分层状血管网”及Willis环代偿特征;
3. 多学科协作:对非典型病程(如术后非搭桥区域梗死)需结合遗传学检测,明确是否存在致病性基因变异;
4. 个体化治疗:RNF213变异相关MMD可能具有更活跃的血管病变进程,需积极干预血流动力学异常,降低二次卒中风险。
INC国际神经外科专家团 川岛明次教授

INC国际神经外科医生集团旗下世界神经外科专家团(WNEG)成员、世界脑血管搭桥手术大咖、日本东京女子医科大学神经外科主任川岛明次(Akitsugu Kawashima)教授,擅长脑卒中、烟雾病、颅底肿瘤、面部痉挛/三叉神经痛、颅内血肿、巨大脑动脉瘤、脑动静脉畸形等疾病的治疗,尤其擅长脑血管搭桥、颈内动脉内膜切除术。
神经外科经验:
- 烟雾病脑血管搭桥手术:1300例
- 脑动脉瘤夹闭手术:1000例
- 脑血管畸形切除术:500例
- 颈内动脉内膜切除术:450例
- 开颅脑瘤切除术:280例
- 颅后窝搭桥术、High-flow Bypass技术等
- 文章标题:从“装病”到偏瘫:8岁男童反复跌倒,竟是家族基因惹的祸
- 更新时间:2025-08-04 17:06:58
400-029-0925


