29岁的小玉从未想过,一次“握不住杯子”的小事,竟是两种罕见病的“联手攻击”——她不仅被确诊为烟雾病(MMD),还同时患上了格雷夫斯病(GD)。
这两种疾病单独出现已足够棘手,叠加后更是让治疗陷入两难:烟雾病需要尽快手术重建脑血管,格雷夫斯病却因甲状腺激素紊乱,让手术风险飙升至“高危级别”。
小玉28岁烟雾病合并格雷夫斯病
病情阶段:
从肢体无力到甲状腺风暴
罕见病中的"双重暴击"
小玉最初因左肢无力前去就医,本以为只是普通不适,检查结果却令人心惊:右侧额顶叶已出现脑梗死。进一步诊断确认,她同时罹患烟雾病(Moyamoya Disease,MMD)和格雷夫斯病(Graves’Disease,GD)。
格雷夫斯病属于自身免疫性甲状腺疾病,导致她的甲状腺激素水平剧烈升高:fT4、fT3、TSH及TRAb数值全线飘红。
而烟雾病则令她大脑中主要血管不断狭窄甚至闭塞,为代偿供血,形成脆弱易破的“烟雾状血管”。

术前血管造影(双侧颈总动脉正位图)显示双侧颈内动脉末端有“烟雾血管狭窄征象”,双侧大脑中动脉(MCA)狭窄(左)。术前Xe-CT显示双侧MCA区域脑血流减少(右)

术前T2、DWI序列显示入院前1个月显示,既往右侧额顶叶脑梗死。
病情急转:
一个月内,三次脑梗接连爆发
确诊后一个月,小玉因构音障碍和右腿无力再次入院。MRI检查结果令人揪心:她左额叶出现了新的脑梗死灶。
更危急的是,她的格雷夫斯病急剧恶化,迅速进展为“甲状腺风暴”——高热、心跳过速、高血压一同袭来,fT4高达3.91 ng/ml,fT3升至10.09 pg/ml,生命悬于一线。
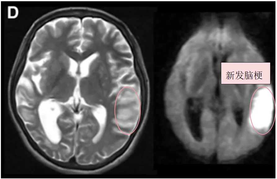
然而灾难并未停止。入院三天后,影像检查显示她左侧颞叶再次出现新发脑梗死。一次又一次的打击,让小玉的神经功能迅速衰退,MRS评分达到4分——重度残疾。


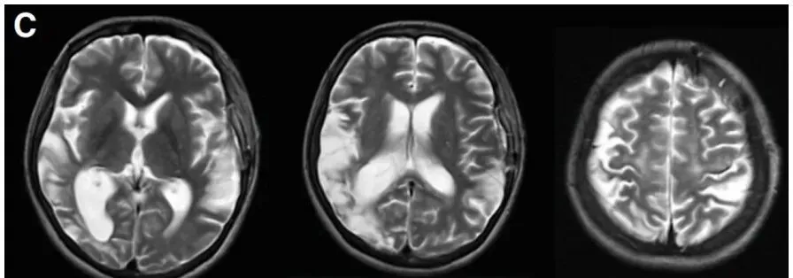
图C:术前T2、DWI序列显示左额叶新发展的脑梗死

图D:入院3天后术前T2、DWI序列显示左侧颞叶进一步新发脑梗死
治疗挑战:
两只“怪物”联手
手术门槛陡升
一方面,烟雾病引发的反复脑梗死,必须通过脑血管重建手术(STA-MCA搭桥术)才能阻止病情恶化;
另一方面,格雷夫斯病导致的甲状腺毒症,却让手术风险陡增——甲状腺激素过多会引发心跳过速、代谢亢进,术中可能出现严重心律失常,术后还可能因血流再灌注异常导致脑出血或脑梗死。
最终川岛教授团队决定:必须先稳住甲状腺风暴,再进行搭桥手术。
手术过程:
必须先稳住甲状腺风暴
再进行搭桥手术
先进行强化甲状腺激素治疗:川岛明次教授的团队为小玉制定了强化甲状腺激素治疗方案,通过药物逐步降低过高的甲状腺激素水平。
经过70天的治疗,小玉的甲状腺功能终于达到“手术安全线”——激素水平接近正常,甲状腺风暴症状完全缓解,为手术扫清了最大障碍
(川岛教授研究显示,此类患者平均需142天调控激素,幸子的恢复速度已属较快)。

甲状腺激素和TRAb随时间的变化
先进行强化甲状腺激素治疗:川岛明次教授团队为幸子施行了左侧颞浅动脉-大脑中动脉(STA-MCA)双搭桥术。
这类手术被誉为神经外科领域难度最高的操作之一。医生需要在细如发丝的血管上进行吻合,一旦成功,将成为新的生命通道;但若失败,则可能引发脑出血、高灌注综合征等严重并发症。
小玉的手术成功了,术后影像显示,左MCA区域的高血流灌注现象(图A),但未发生额外的缺血性和出血性并发症(图B,C)。无任何新发缺血或出血病灶。


术后情况:
从重度残疾到可生活自理
大脑“重获供血”
术后,小玉的恢复令人欣慰。她的神经功能显着改善,MRS评分从术前的4分(重度残疾)恢复到2分(轻度残疾),重新获得了独立生活的能力。
术后20天血管造影显示,桥血管通畅,血流通畅;23天后的MR复查确认,未出现新的脑梗死或出血灶。
INC国际神经外科专家团川岛明次教授

INC国际神经外科医生集团旗下世界神经外科专家团(WNEG)成员、世界脑血管搭桥手术大咖、日本东京女子医科大学神经外科主任川岛明次(Akitsugu Kawashima)教授,擅长脑卒中、烟雾病、颅底肿瘤、面部痉挛/三叉神经痛、颅内血肿、巨大脑动脉瘤、脑动静脉畸形等疾病的治疗,尤其擅长脑血管搭桥、颈内动脉内膜切除术。
神经外科经验:
烟雾病脑血管搭桥手术:1300例
脑动脉瘤夹闭手术:1000例
脑血管畸形切除术:500例
颈内动脉内膜切除术:450例
开颅脑瘤切除术:280例
颅后窝搭桥术、High-flow Bypass技术等
- 文章标题:突然握不住杯子,就医后竟查出患有两种罕见病!
- 更新时间:2025-09-06 13:28:06
400-029-0925


