10岁的小智突然握不住笔、走不稳路——双侧肢体莫名无力的症状,让家长慌了神。检查结果出来,医生说他得了烟雾病——这是一种听起来温和、实则凶险的儿童脑血管病。
经过第一次手术,小智恢复了正常生活,可两年后,头痛、眼前发黑、右侧肢体突然瘫软的情况再次出现,医生面临着一场更棘手的“血管救援”。
01儿童烟雾病,到底是什么?
别被“烟雾”两个字误导,它不是呼吸道疾病,而是大脑血管的“堵塞危机”。
我们大脑的主要供血血管是颈内动脉,而烟雾病患者的颈内动脉末端会慢慢变窄、甚至堵死。为了“自救”,大脑会生出许多纤细如烟雾的侧支血管——这也是“烟雾病”名字的由来。但这些“临时血管”脆弱易破,既容易供血不足引发缺血,也可能破裂导致出血。
儿童是烟雾病的高发人群,常见症状就是短暂性脑缺血发作(TIA):比如突然肢体无力、说话不清楚、视力模糊,像小智最初的双侧偏瘫,就是典型的缺血信号;严重时还会引发中风,影响脑发育。

烟雾病血管造影影像
02为什么都做过手术了还会“复发”
小智第一次就诊时,磁共振血管造影(MRA)显示他双侧颈内动脉、大脑后动脉都有狭窄,属于烟雾病的中晚期(Suzuki 4期)。

MRA和DSA图像显示双侧末端ICA和PCA狭窄(图A)
医生给小智做了“颞浅动脉-大脑中动脉搭桥术”(STA-MCA搭桥)——这是儿童烟雾病的常规手术,相当于从头皮上找一条健康的血管(颞浅动脉),直接“接”到大脑缺血的血管(大脑中动脉)上,给大脑开辟新的“供血通道”。
第一次手术术后6个月复查,新血管通畅,小智的偏瘫症状完全消失,又能正常上学、玩耍了。

在6个月的随访中,DSA显示旁路通畅,左大脑中动脉区域的血流完全改善。(图B和C)
平静的两年后,小智突然出现新症状:频繁头痛、看东西时眼前发黑,偶尔右侧肢体还会突然瘫软。
复查发现,他的大脑后动脉(负责给枕叶、顶叶供血,这两个区域管视力和肢体感觉)狭窄加重了——原来,第一次手术解决了前循环的供血问题,但烟雾病是进展性疾病,后循环的血管还在慢慢变窄,之前的搭桥血管已经“供不上”了,大脑再次陷入缺血。

2年后的MRA和DSA显示进行性PCA狭窄(图E)
此时,医生决定用“枕动脉-大脑中动脉搭桥术”(OA-MCA搭桥)补救——但这场手术的风险,比第一次高了不少。
03为什么第二次手术更难?
1.血管“选材”更刁钻
第一次手术用的颞浅动脉位置表浅,容易分离;而这次要用到的枕动脉藏在头皮深层,还得精准分离出6-7厘米长的血管,稍不注意就会损伤周围组织,甚至让血管变细、堵塞。
2.吻合像“缝头发丝”,容错率极低
手术的核心是把枕动脉和大脑中动脉的分支“接”起来,用的是比头发丝还细的10-0缝线(直径不到0.1毫米),要在显微镜下一针一针缝,稍有偏差就会导致血管漏血或堵塞,风险极高。
3.儿童大脑+既往手术,双重考验
小智才10岁,大脑还在发育,对手术中的缺血、牵拉更敏感,必须严格控制手术时间,避免损伤脑功能;另外,他之前做过一次手术,头皮的血供已经减少,再分离枕动脉可能导致伤口愈合困难,甚至出现头皮坏死。
好在手术很成功。术后复查显示,新的“枕动脉-大脑中动脉”通路通畅,小智的头痛、视力模糊、肢体无力症状全没了;单光子发射计算机断层扫描(SPECT)还发现,他大脑中动脉、大脑后动脉供血区的“血管调节能力”(脑血管反应性)显著提升——这意味着大脑应对血流变化的能力变强了,未来缺血的风险大大降低。

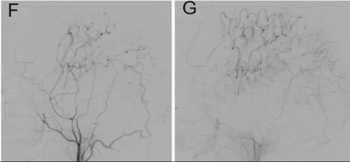
在6个月的随访中,DSA显示先前旁路的通畅性(图F和G)

术前:SPECT成像显示左MCA和PCA区域的CVR降低(图D)
术后:SPECT成像显示MCA和PCA区域的CVR显著改善(图H)
关键提醒:家长别忽视这些“报警信号”
儿童烟雾病早期症状容易被误认为“疲劳”“挑食没力气”,但如果孩子出现这些情况,一定要及时就医:
+突然肢体无力、走路摔跤;
+短暂视力模糊、看东西重影;
+反复头痛,尤其伴随恶心、呕吐;
+说话突然不清楚、咬字不准。
虽然烟雾病凶险,但早发现、选对手术方案(比如初次的STA-MCA搭桥,或复发后的OA-MCA补救搭桥),大部分孩子都能恢复正常生活——就像小智一样,闯过两次手术关后,又能回到校园里奔跑了。
参考资料:
Kawashima A et.al.Occipital artery to middle cerebral artery bypass in pediatric moyamoya disease:rescue therapy after failed
revascularization doi号>10.3171/2020.8.PEDS20424
INC国际神经外科专家团-川岛明次教授

INC国际神经外科医生集团旗下世界神经外科专家团(WNEG)成员、世界脑血管搭桥手术大咖、日本东京女子医科大学神经外科主任川岛明次(Akitsugu Kawashima)教授,擅长脑卒中、烟雾病、颅底肿瘤、面部痉挛/三叉神经痛、颅内血肿、巨大脑动脉瘤、脑动静脉畸形等疾病的治疗,尤其擅长脑血管搭桥、颈内动脉内膜切除术。
神经外科经验:
烟雾病脑血管搭桥手术:1300例
脑动脉瘤夹闭手术:1000例
脑血管畸形切除术:500例
颈内动脉内膜切除术:450例
开颅脑瘤切除术:280例
颅后窝搭桥术、High-flow Bypass技术等
- 文章标题:10 岁男孩两次脑部手术背后:这种 “烟雾” 病,家长别忽视!
- 更新时间:2025-10-17 17:28:24
400-029-0925


