
问:脑桥胶质瘤症状表现有哪些?答:症状持续时间变化很大(诊断前几周到几年),并取决于肿瘤的类型。...

弥漫性脑桥胶质瘤通常表现为多脑神经麻痹、长束征和共济失调。通常,这些肿瘤会导致脑桥扩大50%以上,并可能渗透到髓质或中脑。诊断基于磁共振成像上弥漫性、T2加权、高强度脑...

胶质瘤是儿童和青少年中常见的中枢神经系统肿瘤,它们有着较其广泛的临床表现。大多数小儿胶质瘤表现为良性、生长缓慢的病变,被WHO 中枢神经系统肿瘤分类分为 I级或 II 级。...

少突胶质细胞瘤的个别病程可能是高度可变的,治疗方面的考虑应基于细致的诊断和预后特征。少突胶质细胞瘤是恶性肿瘤吗?...

胶质肉瘤(GS)是一种少见的恶性肿瘤,占全部原发性胶质母细胞瘤的2-8%。它基本上是GBM的一种亚型,显示出分化成胶质和肉瘤成分的独自、发散性分化。胶质肉瘤能活多久?...

原发性胶质瘤是恶性还是良性?原发性脑和中枢神经系统(brain/CNS)肿瘤包括一系列肿瘤(胶质瘤、脑膜瘤、神经鞘瘤等),它们因恶性程度的不同而有很大差异。原发性脑肿瘤中有6...

低级别胶质瘤分为二级,通常生长缓慢,渗透性的肿瘤呈现通常在二人生的四个十年。这些可以确定顺便成像或无症状的患者可能会出现广泛的症状取决于肿瘤的位置。症状包括癫痫...

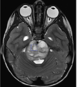
丘脑肿瘤的发病率很难估计,因为经常包括来自邻近组织的肿瘤,如基底节、下丘脑、脑室旁和中脑。什么人容易患丘脑肿瘤?...

丘脑星形细胞瘤和下丘脑星形细胞瘤都是神经胶质瘤(这是脑瘤),这意味着它们出现在大脑的神经胶质或支持组织中。...

什么是基底节胶质瘤?胶质瘤作为较常见的恶性脑肿瘤,发病率约占颅内肿瘤的45%左右,具有发病率高、侵袭性强、较易复发以及死亡率高、治愈率低的特点。而基底节区胶质瘤,是指...