与肺癌等其他癌症相比,恶性脑瘤虽然发生率相对较低,但因其肿瘤生长的位置及侵入式生长模式,其具有频繁复发、现代疗法效果有限、预后较差的特点。其中以发生在中枢神经系统内的胶质母细胞瘤(GBM)较为典型,其预后较差,中位生存期为12-15个月(尽管有各种形式的诊断后存活率)。
定义
胶质母细胞瘤也可以称为Ⅳ级星形细胞瘤,该肿瘤生长迅速,恶性度高,主要位于大脑半球,也可发生在脑干、小脑半球或脊髓等。该肿瘤可通过大脑半球间的白质纤维素(胼胝体)直接蔓延至对侧大脑半球。胶质母细胞瘤是较常见的原发颅内肿瘤,也是恶性程度较高的胶质瘤之一。主要发病年龄为45-60岁,男性较女性发病率略高,儿童也可以发病,儿童多见于脑干。手术切除肿瘤后复发较快。其预后是脑胶质瘤中较差的一种。

胶质母细胞瘤
好发部位
胶质母细胞瘤体积常较大,多起源于脑白质中,侵犯较大范围。大脑的前半部是好发部位,特别常见于额叶,颞叶次之,枕叶少见。肿瘤常侵犯几个脑叶。深部结构(特别是胼胝体)常被侵犯并成为肿瘤跨越中线的桥梁。当额、顶、枕叶的胶母细胞瘤经胼胝体侵犯及对侧大脑半球时,在冠状切面内肿瘤具有蝴蝶形的分布范围,这是这种肿瘤的特征。颞叶胶母细胞瘤常侵犯基底节。基底节和丘脑的胶母细胞瘤常经中间块侵入对侧丘脑,或经底丘脑和大脑脚侵入中脑。小脑的胶母细胞瘤少见。
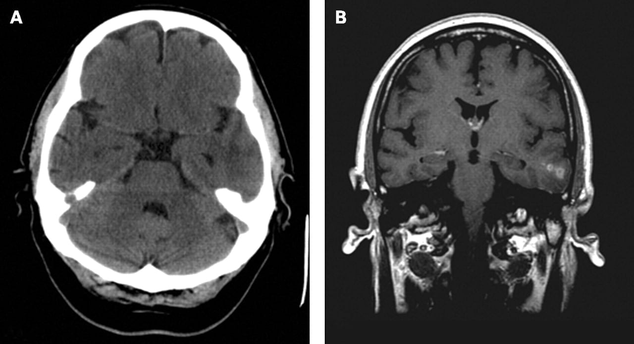
影像表现

2、MRI征象:平扫时,表现为信号不均匀、形态不规整、边缘欠清楚的长T1、长T2异常信号影。瘤旁水肿一般比较重,邻近脑室可见明显的受压变形及移位。肿瘤内灶性坏死和出血比较常见,增强扫描肿瘤多呈不规则花环样强化。

主要预后因素
大群体研究分析显示胶母中位生存期12-14个月,5年生存期患者约10%,但是个体因素还是差异性比较大(1个月至30年临床上都可见),因病因人因治疗而异。主要预后因素如下:
6、Ki-67增生指数高,预后不好
规范治疗方法
目前胶质母细胞瘤首先治疗手段是手术治疗,辅助以放化疗,手术切除程度是影响放化疗效果及生存期的较重要因素。如果是脑干胶母,手术难度较大,只有较丰富经验的医师才会建议病人手术。如果是多发胶母,肿瘤难以通过手术切除,只能做减压手术和放化疗为主。总之,具体的制定需要取决于肿瘤的情况和神经外科、神经肿瘤等学科专家的咨询计划。

胶质母细胞瘤七大前沿治疗技术
1、靶向治疗:新型的靶向控制剂,可以选择性地阻断从细胞膜乃至下游细胞信号转导通路上关键的效应分子,从理论上讲,各条细胞信号转导通路都能被特异性控制。目前,针对恶性胶质母细胞瘤的分子靶向药物还处在临床前研究中。但是,多年的研究已证实,原癌基因(EGF和PDGF及其受体)和肿瘤抑癌基因与恶性胶质母细胞瘤发生、发展密切相关,另外,常见的1p、10p、10q、19q和22q杂合性缺失也影响恶性胶质母细胞瘤的基因表现型。这些已有的研究成功为恶性胶质母细胞瘤的分子靶向治疗提供了研究的靶点。

2、分子免疫治疗:胶质母细胞瘤被称为免疫性“冷”肿瘤,这是因为脑肿瘤含有很少的免疫细胞,大脑中存在着一种叫做血脑屏障的系统,会阻碍T细胞进入大脑组织。想要这些免疫细胞需要产生针对肿瘤的免疫反应困难。目前有几种有前景的溶瘤病毒和疫苗正在临床实验中。

3、电场疗法:电场治疗是利用电场环境阻断细胞有丝分裂的过程,从而达到干预癌细胞增殖的作用。自从2015年FDA批准TTF疗法用于新诊断的胶母细胞瘤之后,电场疗法就一直为人所关注。在美国巴罗神经学研究所的一项大型临床试验中显示,电场治疗被证明可以延长肿瘤患者的生存期并保持生活质量。一项大型临床研究结果表明,将电场加入化疗的人比单独使用化疗的人有更长的生存机会。

4. 激光间质热疗LITT技术:2018年7月发表在Journal of Oncology(IF: 26)上的一篇LITT治疗胶质母细胞瘤的论文,验证了MRI引导的激光间质热疗法(LITT)对于某些患者的胶质母细胞瘤是顺利合适的,与目前的标准治疗相比,平均寿命可延长2个月,对于像这样中位生存期只有12月左右的恶性肿瘤患者来说,这确是个不小的进步。

激光间质热疗(Laser Interstitial Thermal Therapy,LITT)是现代准确神经外科的产物,它是MRI磁共振下的一种经皮微创手术,依靠光纤传导近红外激光产生热能作用于靶点,从而选择性地消融病变组织。该技术较大优势在于,不用开颅即可在磁共振的实时引导和监测下,实现对脑深部病变和癫痫病灶的准确消融治疗。INC加拿大James T. Rutka教授曾多次在神外大会上交流了LITT技术的前沿进展和临床成功案例。教授在临床上的研究方向以儿童颅内肿瘤和癫痫为主,他精于清醒开颅术、显微手术,也是新兴的微创技术——激光间质热疗(LITT)的国际开拓者。值得一提的是,教授对于前沿科技的研究和运用一直走在国际,他所在的SickKids医院是较早一批拥有完整LITT技术设备的儿童医院。
5. 纳米外科技术切除:过去三十年来,新技术新材料在手术室的应用已经带来了外科手术的进步和患者预后的好转。是新技术的引入较大好转了癌症患者肿瘤切除率。INC国际神经外科顾问团成员教授、加拿大SickKids儿童医院脑瘤研究中心主任、国际神经外科杂志《Journal of Neurosurgery》主编James T. Rutka教授在其作为一作者的《Nanosurgical Resection of Malignant Brain Tumors: Beyond the Cutting Edge》论文中解析了其手术团队在基因工程小鼠模型中使用手持式拉曼扫描仪探测多形性胶质母细胞瘤(GBM)(恶性程度较高的脑瘤)切除的完整性。他们表明手持式拉曼扫描仪可以精确检测嵌入GBM中的金-硅表面增强的拉曼散射纳米颗粒,进而达到肿瘤的完整切除。在这个视角中,我们回顾了纳米技术在神经外科手术中可能的应用,并描述如何将新系统,例如纳米技术,通过改变纳米粒的大小,更进一步地应用于手术室。克服血脑屏障造成的障碍,并使纳米颗粒轭合物功能化,以尽可能高的浓度达到目标。较后,通过对实际手持拉曼光谱仪设备本身的调整,人们可以设想有一天,“纳米外科”手术将成为外科医生设备的一部分。
实验数据表明,SERS 图像引导切除GBM 比使用手术显微镜和使用5-ALA技术衍生的肿瘤荧光切除术更有优势。相对于静态拉曼显微镜,手持拉曼扫描仪的优势在于其可操作性和克服突出的脑组织阻碍静态显微镜视野的的问题。手持拉曼扫描仪可以用更好的速度进行数据采集,且可以提供实时操作指导,并且可用于查询手术床的任何角度。相比基于荧光图像引导的切除,例如使用 5-ALA,独特的金二氧化硅SERS 纳米粒子可以产生寿命更长的光信号,因为有机染料分子可以荧光漂白。事实上,有些手持式拉曼扫描仪已经在临床实践中使用,这有利于迅速推动纳米技术进入神经外科手术室。

6. 使用顺铂-金-纳米颗粒偶联物和磁共振引导聚焦超声靶向递送加强胶质母细胞瘤治疗:INC加拿大James T. Rutka教授在其另一篇关于GBM的研究论文《Enhancing glioblastoma treatment using cisplatin-gold-nanoparticle conjugates and targeted delivery with magnetic resonance-guided focused ultrasound》中指出,胶质母细胞瘤 (GBM) 是较常见和较具侵袭性的原发性脑肿瘤,且具高发病率和死亡率。迫切需要一种能够提高现有药物疗效并增强化疗药物通过血脑屏障 (BBB) 递送的策略。作者团队研究了顺铂结合金纳米颗粒 (GNP-UP-Cis) 与 MR 引导聚焦超声 (MRgFUS) 结合以强化 GBM 治疗的可能性。活力测定表明,与游离顺铂相比,GNP-UP-Cis 较大地控制了 GBM 细胞的生长,并显示出与放射治疗的显着协同作用。此外,在 GNP-UP-Cis 处理的细胞中观察到通过 γH2AX 磷酸化增加的 DNA 损伤,以及增加的铂浓度。在体内,GNP-UP-Cis 大大减少了 GBM 肿瘤的生长,MRgFUS 导致脑组织中 BBB 通透性和 GNP 药物递送增加。我们的研究表明,GNP-Cis 偶联物和 MRgFUS 可用于局部增强靶向化疗药物对脑肿瘤的递送。

7. 分子生物学基因治疗研究:自人类基因组计划完成以来,非编码 RNA (ncRNA)已成为一类重要的遗传调节剂。几类ncRNA,包括microRNA (miRNA)、长链非编码 RNA (lncRNA)、环状 RNA (circRNA) 和 piwi 相互作用 RNA (piRNA) 已被证明在控制发育和疾病过程中发挥重要作用。INC加拿大Rutka教授在《Noncoding RNAs in Glioblastoma: Emerging Biological Concepts and Potential Therapeutic Implications 》中讨论了ncRNA 在调节胶质母细胞瘤 (GBM) 形成和进展中的潜在作用,以及开发ncRNA在诊断和治疗GBM中潜能的策略。教授指出,在分子生物学时代,随着前沿基因测序技术的发展,已经发现了几种不同类别的 ncRNA,包括 microRNA (miRNA)、非编码 RNA (lncRNA)、环状 RNA (circRNA) 和 piwi 相互作用的 RNA (piRNA),这些已被联系到许多重要的发育和疾病过程,并正在被作为临床和治疗靶点。

结语
近几年,科学研究和临床试验获得了给恶性脑瘤患者带来希望的研究结果,发现了更多可行性新技术,神经外科医生在临床咨询时有了更多的治疗手段可供选择,患者也很大水平上缓解了病痛,拥有了更高的生存质量。得了胶质母细胞瘤并不代表“无药可救”,尝试各种前沿治疗方式,将使患者较大水平受益。
- 文章标题:盘点胶质母细胞瘤七大前沿治疗,INC加拿大Rutka教授解读较新进展
- 更新时间:2021-06-10 14:01:58
400-029-0925




