
胶质瘤,包括室管膜瘤、少突胶质细胞瘤和星形细胞瘤,是成人较常见的恶性脑肿瘤。胶质母细胞瘤化疗效果怎么样?...

胶母的预后因素有哪些?有哪些新疗法?...

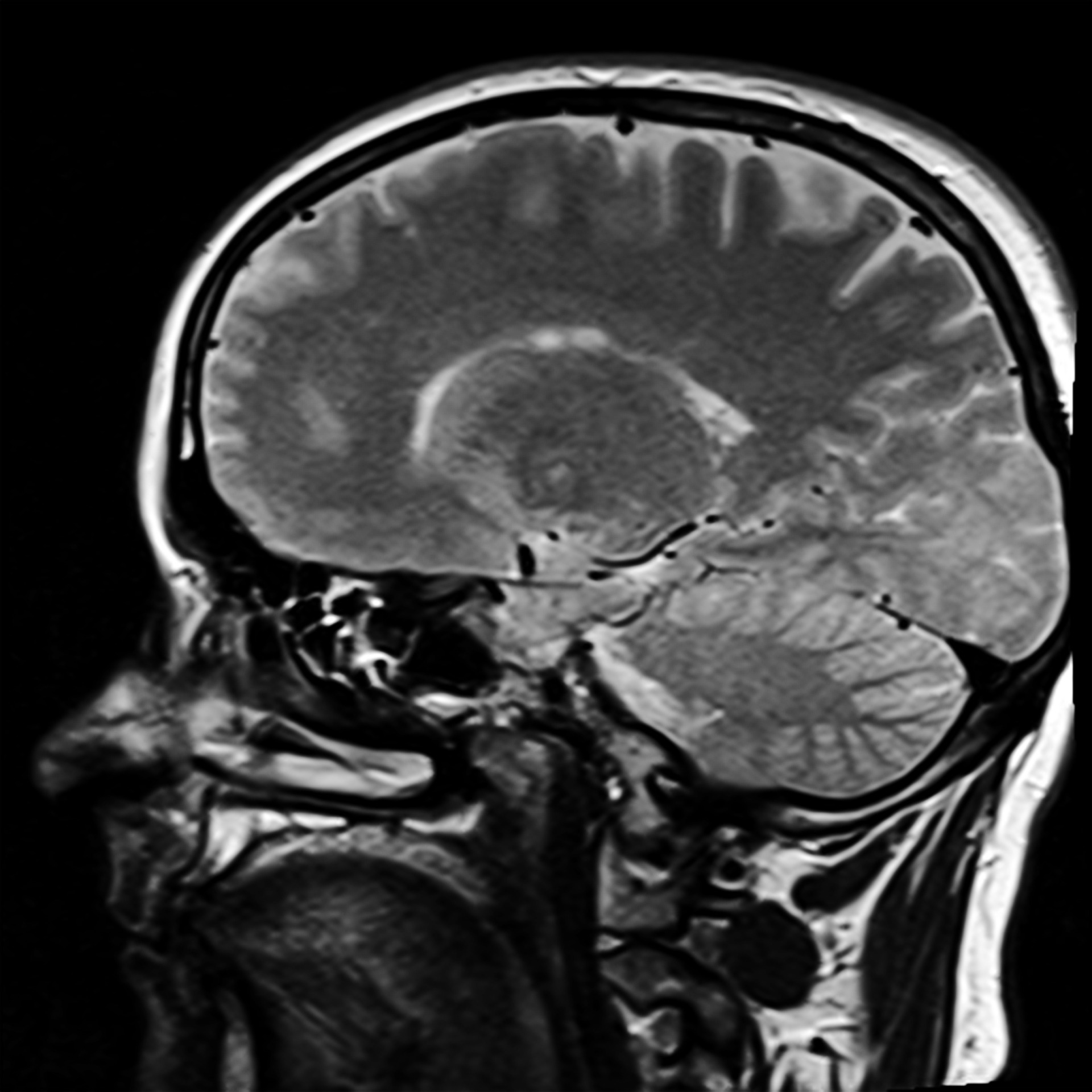
胶质母细胞瘤(GBM)是成人较常见、较恶性的原发性脑肿瘤。尽管采用了积较的标准治疗,包括手术、放疗和同时使用的辅助替莫唑胺,但预后较差,中位总生存期(OS)小于15个月...

国外如何 治疗胶质母细胞瘤 ? 胶质母细胞瘤(glioblaummultiforme,GBM)是较常见、较致命的原发性脑肿瘤,几乎是肿瘤之中夺命较快的杀手之一,胶质母细胞瘤生长速度快,70%~80%患者病...

胶质母细胞瘤 (GBM)是常见的原发性恶性颅内肿瘤,占原发性脑肿瘤的16%。这是一种快速生长的侵袭性神经胶质瘤,由大脑中的神经胶质细胞发展而来。总体预后较差,即使采用...

胶质母细胞瘤为什么较易复发?手术切除后会怎样?这跟胶质母细胞瘤的性质相关...

不同分级的胶质瘤,⼿术方法有什么不同...

与现代的细致化手术相比,60年前胶质母细胞瘤的神经外科手术与对良性脑肿瘤的细致解剖相比是粗糙的,因为它被认为是一种缓解颅内压、延长几个月寿命的姑息性手术,而病人却要死...

在术中,神经外科医生使用各种技术来区分肿瘤组织和功能性脑组织,例如利用神经导航、磁共振成像(MRI)、超声波或荧光的图像引导,和术中刺激绘图。Schneider等人在他们对31名GBM患者...

我们将看看胶质母细胞瘤复发的统计数据,以及为什么这种疾病相对于许多其他癌症来说如此难以治疗以及复发之后的一些治疗选择。相比之下,胶质母细胞瘤的生长通常是由几个异常...