
通常,脊索瘤的治疗方式取决于脊索瘤肿块的大小、位置以及是否侵入神经或其他组织。目前医生常用的治疗方式包括手术,放射治疗(包括质子治疗,立体定向放射外科)、化疗和靶...

脊索瘤是一种少见的原发性骨和软组织肿瘤(一种肉瘤),由胚胎中的一小块脊索组织残留形成。脊索组织则是一种存在于发育中的胚胎中的结构,对于脊柱的发育很重要,通常脊索组织...

脊索瘤手术后能活多久?脊索瘤是一种少见的肿瘤,起源于脊索的残余部分,脊索是胚胎发育过程中诱导和协调脊柱形成的结构。然而,在子宫内10周时,脊索正常退化,只存在于软...

脊索瘤 是由胚胎脊索残留沿着神经轴的长度在发育活跃的部位产生的一种肿瘤。脊索瘤可能发生在脊柱的任何地方。它较常出现在尾骨附近(称为骶骨肿瘤)或脊柱与头骨(称为斜坡肿瘤...

脊索瘤 是一种少见的肿瘤,占原发性骨恶性肿瘤的1%至4%。Virchow在1857年一次描述了脊索瘤。他在显微镜下观察到液泡化的细胞,并创造了物理多孔(physaliph)一词,这个词来源于希腊语,...

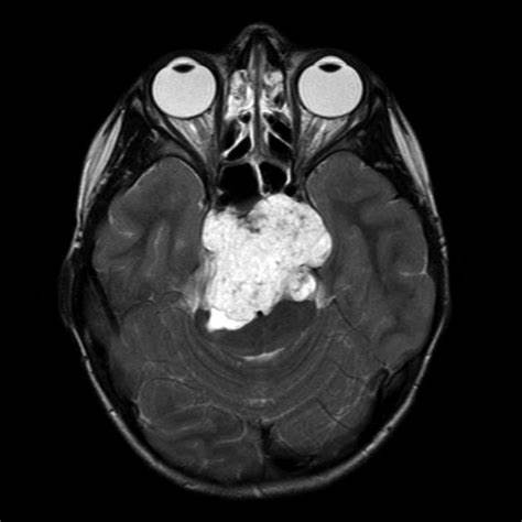
脊索瘤 是一种少见的肿瘤,起源于脊索的残留--一种在胚胎发育过程中诱导和协调脊椎形成的结构。然而,在子宫的10周,脊索通常会退化,并且只在软骨盘的髓核中持续存在。 斜坡...

发病率只有百万分之一的 脊索瘤 一般在颅底中心线前方生长,具有分化低级别、生长缓慢、局部浸润和局部侵袭性的特点。由于解剖结构复杂,诊断和手术往往都很困难,而且手术后...