
小孩患脊索瘤常见吗?只有5%的脊索瘤发生在20岁以下的患者中,10万个孩子中能有1-2个确诊脊索瘤,这不是常见的小儿颅内肿瘤。...

脊索瘤是什么意思?脊索瘤是具有良性组织病理学但表现出具有侵袭和转移潜能的侵袭性临床行为的肿瘤。社区卫生服务是具有挑战性的肿瘤治疗,仍然有许多问题,特别是关于他们的...
![[手术纪实篇]看WFNS颅底手术委员会主席切除斜坡、鞍旁脊索瘤](http://www.incsg.cn/uploads/allimg/191216/1-1912161FQ40-L.png)
INC国际神经外科顾问团之 国际神经外科联合会WFNS颅底手术委员会主席 法国Sebastien Froelich教授手术纪实 噫吁嚱!危乎难哉!脊索瘤手术之难,难在何处?一是肿瘤高度恶性,二是所在位...

头部 脊索瘤手术 痛苦吗?脊索瘤起源于脊索组织内的脊索细胞,约 30% 的脊索瘤发生于头部的中心,即颅底区域,也被称为颅内脊索瘤、脑脊索瘤。而头部脊索瘤的治疗一般都是优选手...

颅内脊索瘤如何治疗?颅内脊索瘤就是指发生在脑内的颅内脊索瘤,是颅内少见的的一种损害性肿瘤,深在于颅底部位,也是难以治疗的脑肿瘤之一。1857年由Virchow首先记载脊索瘤,1...

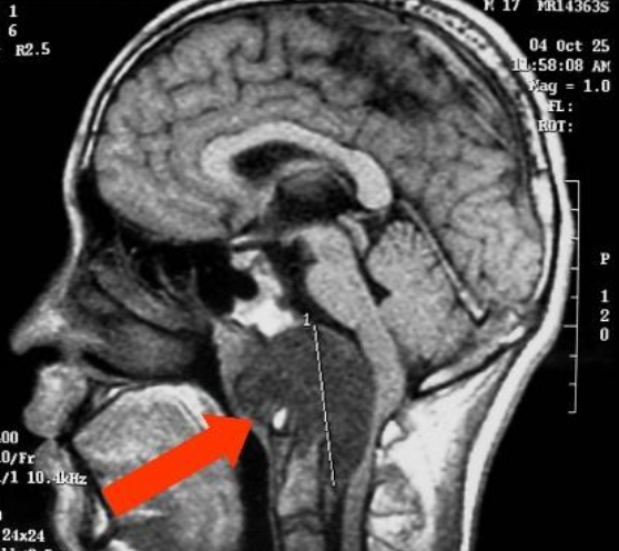
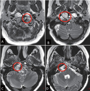
一名37岁的妇女因颈部疼痛和下颅神经功能障碍(声音嘶哑和吞咽困难)被咨询至我科。她先前被诊断出患有(CCJ) 颅颈交界处脊索瘤 ,并且先前在另一家医院进行了两次手术切除尝试...

脊索瘤是恶性肿瘤 ,其缓慢增长并转移到身体的其他器官。肿瘤起源于胎儿发育早期的脊索。在55岁以上的人群中,这种现象更为明显,尽管年轻人可能会受到影响。脊索瘤严重威胁生...

法国一位37岁的女士因头痛、视力下降严重,到医院检查,被诊断出颅颈交界处(CCJ) 脊索瘤 。随后在一家比较医院治疗,该院采取了乙状窦后入路手术切除,但不久后,便再次复...

脊索瘤的治疗选择包括手术和或放射治疗(RT)、平衡发病率、生活质量和预期疾病控制,复发后是否接受手术应视患者情况而定...

脊索瘤是一种具有挑战性的病变和致命的肿瘤。我们可以通过手术治疗令病例延迟复发,但10年或20年后复发是不可避免的...