
脊索瘤是一种起源于残存脊索细胞的肿瘤,一般归为低度恶性肿瘤。发病率低,百万人中大概会出现一例,但由于中国人口基数太大,每年还是有很多新发脊索瘤病例。脊索瘤局部...

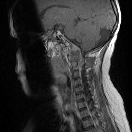
脊索瘤的放射治疗效果怎么样?脊索瘤是一种少见的肿瘤,起源于脊索的残余。它们出现在颅底和上颈椎或骶骨。颅底脊索瘤是生长缓慢的肿瘤,以局部浸润的方式生长,在多数情...

脊索瘤生长缓慢,但是由于具有局部侵袭,再生长的倾向可以表现出恶性肿瘤的特性...

脊索瘤 是一种起源于胚胎脊索残余的局部侵袭性肿瘤。使用监测、流行病学和较终结果数据库的基于人群的研究表明,每106人脊索瘤发病率为8.4。尽管斜坡脊索瘤占全部脊索瘤的三分之...

脑脊索瘤 治愈率是多少?脑脊索瘤(SBCs)是一种少见的胚胎发育不良的侵袭性肿瘤,一般医生手术时,难以切除干净,一般复发率相当高,其复发的趋势各不相同。脑脊索瘤在医学上五年...

通常,脊索瘤的治疗方式取决于脊索瘤肿块的大小、位置以及是否侵入神经或其他组织。目前医生常用的治疗方式包括手术,放射治疗(包括质子治疗,立体定向放射外科)、化疗和靶...

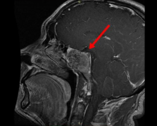
颅内脊索瘤如何治疗?颅内脊索瘤就是指发生在脑内的颅内脊索瘤,是颅内少见的的一种损害性肿瘤,深在于颅底部位,也是难以治疗的脑肿瘤之一。1857年由Virchow首先记载脊索瘤,1...

骶骨脊索瘤怎么治疗好?骶骨脊索瘤属于脊索瘤的一类,脊索瘤起源于胚胎脊索残留物,一百万人中大概会出现一例,而其中50%是骶骨脊索瘤患者,骶骨脊索瘤是骶骨较常见的恶性肿瘤,...

脊索瘤是一种少见的原发性骨和软组织肿瘤(一种肉瘤),由胚胎中的一小块脊索组织残留形成。脊索组织则是一种存在于发育中的胚胎中的结构,对于脊柱的发育很重要,通常脊索组织...

脊索瘤 是由胚胎脊索残留沿着神经轴的长度在发育活跃的部位产生的一种肿瘤。脊索瘤可能发生在脊柱的任何地方。它较常出现在尾骨附近(称为骶骨肿瘤)或脊柱与头骨(称为斜坡肿瘤...