鞍结节和蝶骨嵴内侧膜瘤对神经外科医生提出了的具有技术难度性的挑战,因为它们靠近前视路、前循环的动脉和下丘脑。尽管关于这些肿瘤的文章已经写了很多,但是相对于 Cushing和 Eisenhardt的关于它们的解剖行为和分类研究的经典作品却并未增添什么新信息。然而随着显微技术领域取得的较大进展,同 Cushing和其他先前外科医生的探索性努力相比,显微外科技术能在较低的病残率和死亡率的基础上全切那些肿瘤。在这一章里,我们讨论鞍结节和堞骨嵴内侧脑膜瘤的外科处理。这些肿瘤要分别予以讨论,因为它们在与周围重要结构的解剖关系方面和外科处理技术方面有区别。

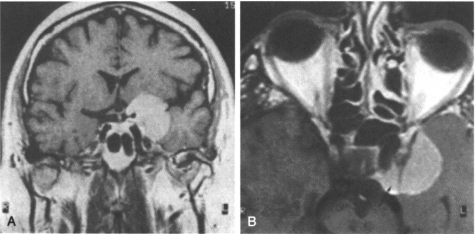
蝶骨嵴脑膜瘤约占幕上脑膜瘤的20%,其中不到一半起源于蝶骨嵴内侧。在各种病例组中,中年女性均有好发倾向。症状的出现具有隐蔽性,通常要经过2年时间才就医。在我们的20例病例组中和其他的病例组中,视力下降是较常见的主诉。视野异常是多种多样的,依赖于视交叉和视朿受累情况而定。视乳头检査通常显示视神经萎缩,和较少见的对侧视乳头水肿( Foster-kennedy综合征)。当肿瘤累及海绵窦和眶上裂时,出现眼球运动障碍和面部感觉减退。突眼是因为肿瘤延仲至眼眶内和海绵窦所致。头痛和眶区疼痛可能在视力症状出现之前数年即出现。经常见到智能减退和认知改变,待别是在肿瘤位于优势半球的老年患者。轻偏瘫、失语和癲痫不常见。
病人选择和处理决策
因为根治性切除蝶骨嵴内侧脑膜瘤的死亡率高病残率高,所以很多外科医生变得小心而满足于部分切除肿瘤。这些肿瘤经常复发而反复行手术治疗和放疗。因为肿瘤与重要结构粘连,再手术有相当高的死亡率和病残率。尽管给予放疗肿瘤仍然会复发。根据我们的经验,当有大块肿瘤残留时,放疗不太合适。 Almefty和其他人提倡切开海绵窦行扩大的外科切除。从远期结果看,还不清楚到底病人是从死亡风险高的扩大切除中受益多,抑或是根治性切除肿瘤,海绵窦内部分肿瘤残留,术后辅以放疗这一方法更佳。
我们努力行肿瘤全切除。较初始的过程是获得治愈的较佳时机。对于三对颅神经功能完好而又顾虑会长期性损害此神经者,我们相信从海绵窦内切除肿瘤是没有理由的。在这种情况下针对残留的小块肿我们努力行肿瘤全切除。较初始的过程是获得治愈的较佳时机。对于三对颅神经功能完好而又顾虑会长期性损害此神经者,我们相信从海绵窦内切除肿瘤是没有理由的。在这种情况下针对残留的小块肿瘤,患者应接受辅助性的立体定向放射治疗。残留小块经放射治疗过的良性肿瘤的患者,可以带瘤存活多年而没有复发迹像。对于老年患者和身体状况差的患者,次全切除是可以接受的。
蝶骨嵴脑膜瘤预后怎么样?
据报道蝶骨嵴内侧脑膜瘤外科治疗组有很高的病残率和死亡率。在 Cushing较初的13例病例组中,有2例在围手术期内死亡,只有3例有全切的可能,多数存活病人有的神经功能障碍,其中5例最终死于肿瘤复发。 Cushing和 Eisenhardt记录切除肿瘤较困难的地方在于分离颈内动脉分叉处与血管相缠绕的肿瘤。他们提醒手术医生进入颈内动脉区域的风险。在其后全部的手术病例组屮,前循环主要血管的损伤是手术死亡和病残的主要原因,即使是在有手术显微镜和常规使用手术显微镜后也是如此。1953年 Uihlein和 Weyand报告的52例中,手术死亡率为33%。1970年 Konovalov和同伴一组70例病人组中,手术死亡率为19%,手术全部是用手术显微镜来进行的。蝶骨嵴内侧脑膜瘤手术病残包括偏瘫、下丘脑梗死、失语、植物神经功能紊乱、视力下降和复视。在个研究中,23%的存活者有严重的病残。更近期的报告显示了手术死亡率、病残率及治愈率的好转。在颅内脑膜瘤中,蝶骨嵴内侧脑膜瘤是复发率较高的脑膜瘤之一。复发与初始手术留下的残留肿瘤相关。在 Mirirmano和同伴所作的研究中,蝶骨嵴内侧脑膜瘤的5年、10年复发或进展率分别为34%和54%,与之相比,凸面脑膜瘤的5年、10年复发率分别是3%和25%。
术中并发症及其处理
鞍结节脑膜瘤和蝶骨嵴内侧脑膜瘤术中主要的外科并发症是视神经和血管的损伤。过分的手术操作或视结构的血管损伤可能导致失明和视力恶化。应该在高倍放大条件下识别和保留包裹的蛛网膜和供应视器的血管。在手术过程中,通过向反方向牵拉包围视交叉的蛛网膜而不是牵拉视神经,可以使操作损伤较小化。主要血管的损伤发生于锐性解剖、血管袢损害、或过分的电凝。部分损伤的血管可引起术后出血。大出血用临时阻断夹来控制。 Sundt夹或10-0线可用在损伤处。如果必要的话,可以考虑夹闭血管并行血管旁路吻合。鉴于此,在开颅过程中要识别和保护颞浅动脉。
- 文章标题:蝶骨嵴脑膜瘤能活多久?手术难度大吗?
- 更新时间:2021-04-13 10:51:23
400-029-0925




