
据我们所知,迄今为止只有一例舞蹈病合并脑膜瘤的病例被报道在此,我们报告这一临床过程,并讨论这一现象背后的机制...

脑膜瘤约占全部脑肿瘤的13%-20%,占全部原发性脑肿瘤的34%-36.4%,使脑膜瘤成为较常见的原发性脑肿瘤。脑膜瘤仅占全部眼眶肿瘤的4%。在幕上隔区的病变中,蝶骨翼脑膜瘤约占全部脑膜...

然而随着显微技术领域取得的较大进展,同Cushing和其他先前外科医生的探索性努力相比,显微外科技术能在较低的病残率和死亡率的基础上全切那些肿瘤。因为根治性切除蝶骨嵴内侧脑膜...

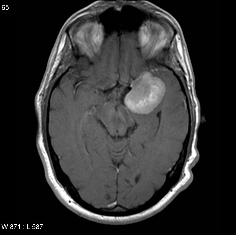
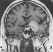
脑膜瘤是脑内比较常见的良性肿瘤,其生长缓慢,是脑外肿瘤,起源于蛛网膜,可发生于全部具有蛛网膜细胞的位置。蝶骨嵴位于前颅窝和中颅窝交界处,由蝶骨大翼和蝶骨小翼构成,...

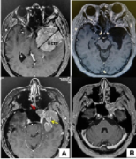
蝶骨嵴脑膜瘤严重吗?下文报告了一例患者,其中蝶窦蝶骨嵴脑膜瘤是通过分期手术切除的,包括颅内部分的开颅手术和蝶窦颅外部分经蝶和经蝶入路的内窥镜鼻内切除术。接下来,打开左侧鼻...