
多发性脑膜瘤是什么病?多发性脑膜瘤如何治疗?脑膜瘤是常见的脑肿瘤,约占成人原发性脑瘤的三分之一...

在脑实质内脑膜瘤中,我们报告一个位于右侧基底神经节的较其少见的脑实质内脑膜瘤...

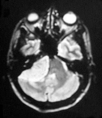
脑膜瘤是仅次于前庭神经鞘瘤(80%)的二常见肿瘤,占脑桥小脑角(CPA)的10-15%。脑膜瘤是一种生长缓慢的良性肿瘤,起源于蛛网膜绒毛周围簇生的帽状细胞...

什么是非典型脑膜瘤?首先来认识一下脑膜瘤。作为颅内常见肿瘤之一,脑膜瘤多发于成人,且好发于65岁及以上人群,女性居多,发病率约为10万分之7.86。...

脑膜瘤是较常见的颅内肿瘤。女性约占全部颅内肿瘤的38%,男性约占20%。[一]脑膜瘤也是大脑中较常见的轴外肿瘤,也是较常见的中胚层或脑膜来源的肿瘤。女性比男性更常见,通常在...

什么是大脑凸面脑膜瘤?生长在大脑半球外侧面上的脑膜瘤被称为大脑凸面脑膜瘤,主要包括大脑半球额、顶、枕、颞各叶的脑膜瘤和外侧裂部位脑膜瘤,在肿瘤和矢状窦之间有正常脑...

脑膜瘤是脑内比较常见的良性肿瘤,其生长缓慢,是脑外肿瘤,起源于蛛网膜,可发生于全部具有蛛网膜细胞的位置。蝶骨嵴位于前颅窝和中颅窝交界处,由蝶骨大翼和蝶骨小翼构成,...

脑膜瘤是什么?脑膜瘤源自脑膜及脑膜间隙的衍生物,多数源自蛛网膜细胞,可以出现在全部含有蛛网膜成份的位置。脑膜瘤的人群发病率为2/10万。占同期原发性脑肿瘤的19.2%,仅...

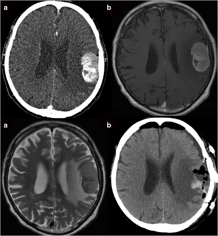
囊性脑膜瘤是什么?囊性脑膜瘤是一种不常见的脑膜瘤,肿块的囊性/实性成分的影像学表现和位置可能造成诊断上的两难。我们报告了一例80岁的左手男性患者,其表现为反复发作的局...

什么是多发脑膜瘤?是恶性的么?诊断多发性脑膜瘤需符合以下几点:患者存在一个以上的脑膜瘤;虽然对于脑膜瘤来说,其处理原则是手术完全切除肿瘤,但对于多发性脑膜瘤,不可...